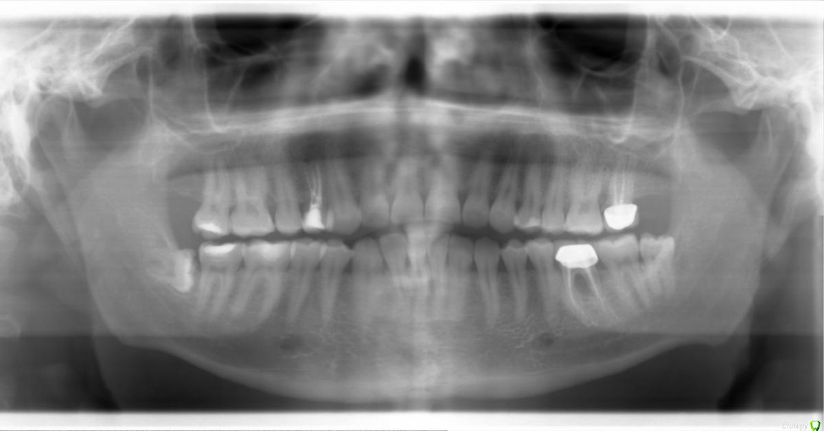
rdr Опубликовано 4 сентября, 2017 Поделиться Опубликовано 4 сентября, 2017 Добрый день! История такая... Сделали коронку на нижний 6 зуб, через некоторое непродолжительное время появился дискомфорт и даже боль в этом зубе. Пришёл к тому же врачу, если правильно помню, то даже сделали рентген, но в итоге врач сказал, что ничего страшного там нет - просто попадает еда в некую пазуху. Сделал промывание и прописал мазать мазью. В итоге боль действительно ушла, я также стал дома промывать зубы ирригатором, но всё же какой-то дискомфорт чувствовался, но я не предавал этому особого значения (видимо, зря). Так продолжалось несколько месяцев, пока на внутренней стенке десны не появился "прыщик". Если правильно понимаю, то правильно он называется свищ. В итоге в одной клинике мне сделали снимок и сказали, что это киста, что её можно попробовать почистить, но есть вероятность, что она вернётся.В ЦНИИС и ЧЛХ сказали примерно то же самое и сделали мне резекцию. Врач сказал наблюдать за зубом. Во-первых, свищ снова появился уже через две недели.. Не слишком ли это быстро после резекции?Во-вторых, собственно, основной вопрос: имеет ли смысл ещё пробовать как-то лечить этот случай, или смириться, удалить зуб и ставить имплант? Снимок прикрепляю. Заранее спасибо за советы! Ссылка на комментарий
red_butler Опубликовано 4 сентября, 2017 Поделиться Опубликовано 4 сентября, 2017 к сожалению качество снимка не позволяет дать однозначный ответ. Ссылка на комментарий
St. Опубликовано 4 сентября, 2017 Поделиться Опубликовано 4 сентября, 2017 (изменено) Снимок действительно не очень хороший. Но по нему необходимости в резекции как таковой я не увидела, поскольку зона "воспаления" находится не на верхушке какого-то из корней, а между ними. Соответственно результата от такой манипуляции не получилось.Вариантов собственно 3 - или перелечивать каналы и чистить корень вокруг, или не трогать или удалять.Лично я за удаление. Перелечивание зубов с такой локализацией воспаления да ещё после резекции дело очень сомнительное.и даже по финансам перелечивание и новая коронка сравнимо с ценой имплантиции, но с большими шансами на успех.А если оставить как есть процесс будет продолжаться и разрушать кость, соответственно когда через время Вы все равно придёте к удалению и имплантации, то условия для ее проведения будут уже гораздо сложнее. Изменено 4 сентября, 2017 пользователем St. Ссылка на комментарий
rdr Опубликовано 4 сентября, 2017 Автор Поделиться Опубликовано 4 сентября, 2017 Понял, спасибо за мнения. Но по нему необходимости в резекции как таковой я не увидела, поскольку зона "воспаления" находится не на верхушке какого-то из корней, а между ними. Я сейчас уточнил по документам - там написано "операция цистэктомия". До этого неправильно написал, ошибся. Не знаю, меняет ли это что либо. Вы хотите сказать, что эту промежуточную процедуру можно было не делать, и сразу перейти к трём предложенным вами вариантам? Хотя, по сути, вариант один) Не лечить - это опасно и некомфортно, да и потом ещё дороже выйдет. А на счёт цены лечения и новой коронки сравнимой с имплантом я вам верю. Но имплант предпочтительнее, я правильно понял? Ссылка на комментарий
St. Опубликовано 4 сентября, 2017 Поделиться Опубликовано 4 сентября, 2017 (изменено) Вы хотите сказать, что эту промежуточную процедуру можно было не делать, и сразу перейти к трём предложенным вами вариантам?Если бы речь шла о резекции (т.е. отпиливании кусочка корня), то да, лишнее. Цистотомия же значит что открыли десну и почистили. Как минимум Вы знаете что попытались что-то сделать и в Вашем случае это не сработало. Хуже не сделали. Не лечить - это опасно и некомфортно, да и потом ещё дороже выйдет. Но имплант предпочтительнее, я правильно понял? Да Изменено 4 сентября, 2017 пользователем St. Ссылка на комментарий
rdr Опубликовано 4 сентября, 2017 Автор Поделиться Опубликовано 4 сентября, 2017 Цистотомия же значит что открыли десну и почистили. Как минимум Вы знаете что попытались что-то сделать и в Вашем случае это не сработало. Хуже не сделали. А её можно как-то.. что ли.. плохо сделать? Или, даже если делать всё правильно, то всё равно есть шанс не всё удалить?Я понимаю, что 100%й результат не гарантирован, просто очень удивился, что уже через 2 недели всё вернулось. Спасибо за ответы! Ссылка на комментарий
red_butler Опубликовано 5 сентября, 2017 Поделиться Опубликовано 5 сентября, 2017 А её можно как-то.. что ли.. плохо сделать? Или, даже если делать всё правильно, то всё равно есть шанс не всё удалить?Я понимаю, что 100%й результат не гарантирован, просто очень удивился, что уже через 2 недели всё вернулось. Спасибо за ответы! Только по одному снимку, да еще и плохого качества на эти вопросы не ответить. Нужно знать что было, что делали, что стало. 1 Ссылка на комментарий
Рекомендуемые сообщения
Для публикации сообщений создайте учётную запись или авторизуйтесь
Вы должны быть пользователем, чтобы оставить комментарий
Создать аккаунт
Зарегистрируйте новый аккаунт в нашем сообществе. Это очень просто!
Регистрация нового пользователяВойти
Уже есть аккаунт? Войти в систему.
Войти