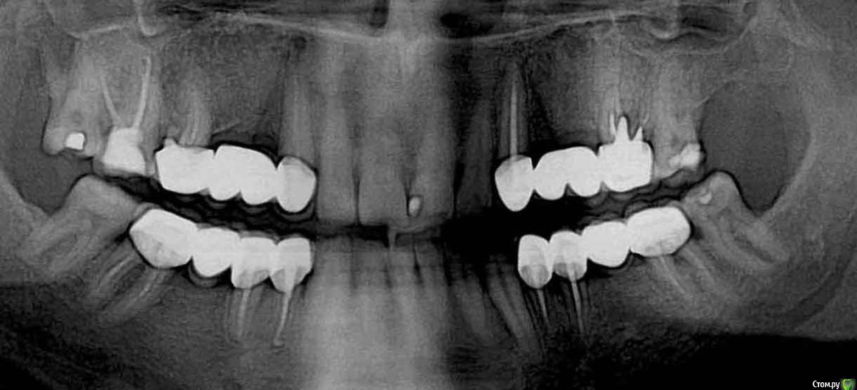
Анестезиолог Опубликовано 27 августа, 2017 Поделиться Опубликовано 27 августа, 2017 Пришло время менять мост на имплантаты (как видите, шестёрка справа сверху никуда, кажется это №16, есть симптоматика периодонтита уже неделю, еле-еле успокоил а/б и Нурофеном).Хирург посмотрел снимок и обратил внимание на стоящие уже. Прокомментировал следующим образом: "Надо было ставить не три импланта, а два, так как из-за того, что они стоят близко - средний и дистальный - нарушено питание костной ткани и она уходит. Кроме того, на названных имплантах слитные коронки, смысла в этом нет, только ухудшает гиг. мероприятия. Я поставлю два ипланта и мост на 3 единицы на них. Коронка на клыке останется временно, потом переставим".Вопросы:1. Правда ли, что есть ошибка в первой имплантации?2. Возможно ли не менять коронку на клыке? Жалоб писать ни на кого не собираюсь, судиться тоже, ответы не выйдут за рамки темы, просто мне для информации и планирования дальнейшей жизни части жевательного аппарата. Панорамные снимки моей улыбки в динамике прилагаю. Ссылка на комментарий
kriokov Опубликовано 27 августа, 2017 Поделиться Опубликовано 27 августа, 2017 только по пункту 1.близковато друг к другу имплантаты вкручены, кость соответственно уходит. Т.е переводя на русский, средний имплантат можно было не вкручивать. Убыль кости у Вас не от того, что не сделаны одиночные коронки на имплантатах. При адекватном расстоянии между имплантатами мосты с опорой на каждый имплантат хорошо работают, и долго. 5 Ссылка на комментарий
brg Опубликовано 27 августа, 2017 Поделиться Опубликовано 27 августа, 2017 (изменено) под промывным сверху с другой стороны тоже кость ушла. посмотрите первый и последний снимки. Изменено 27 августа, 2017 пользователем brg 1 Ссылка на комментарий
Kovalov Igor Опубликовано 29 августа, 2017 Поделиться Опубликовано 29 августа, 2017 по оптг искажение обычно сильное, сделать бы клкт и посмотреть какое расстояние от 23 до 27 зуба, от пики до пики костной. На мой взгляд тут проблема в ортопедии больше ... Отсутствуют же три зуба Ссылка на комментарий
Анестезиолог Опубликовано 29 августа, 2017 Автор Поделиться Опубликовано 29 августа, 2017 Спасибо, но я не стоматолог и не очень понял ваш ответ. Что это: " посмотреть какое расстояние от 23 до 27 зуба, от пики до пики костной. На мой взгляд тут проблема в ортопедии больше ? Про какие пики идёт речь? Ссылка на комментарий
Kovalov Igor Опубликовано 29 августа, 2017 Поделиться Опубликовано 29 августа, 2017 Спасибо, но я не стоматолог и не очень понял ваш ответ. Что это: "? Про какие пики идёт речь?Это кость между зубами , ее расстояние нужно замерить и диаметр имплантата можно так же замерить если бумаг после операции нет. Я про расстояние от клыка до последнего зуба Ссылка на комментарий
Анестезиолог Опубликовано 29 августа, 2017 Автор Поделиться Опубликовано 29 августа, 2017 Спасибо за уточнение. Какие бумаги! "Своим" без бумаг делают Ссылка на комментарий
Bier Опубликовано 30 августа, 2017 Поделиться Опубликовано 30 августа, 2017 показаний к удалению 16го не увидел. Скорее всего его можно перелечить, если грамотный врач с микроскопом. А может он и через коронку все вылечит, через микродоступ. Если надо врача посоветую. по имплантатам слева уже все сказали. Если будете имплантаты ставить, и удалять 16й, то лучше 2 имплантата 16,14 и мост. Коронку на клыке можно и не менять, если получится аккуратно отпилить без сколов керамики. Но на боковой поверхности будет металл видел. Ссылка на комментарий
Анестезиолог Опубликовано 30 августа, 2017 Автор Поделиться Опубликовано 30 августа, 2017 Спасибо. Перелечивали уже, и с микроскопом тоже. И мост меняли. Так и планируется 16-14 и мост на них. Ссылка на комментарий
Анестезиолог Опубликовано 30 августа, 2017 Автор Поделиться Опубликовано 30 августа, 2017 Если кому интересно, один из корней удалённого зуба был такимhttp://s019.radikal.ru/i641/1708/6d/ae0a878d883b.jpghttp://s016.radikal.ru/i336/1708/12/3ec430ab3b64.jpg Ссылка на комментарий
Bier Опубликовано 31 августа, 2017 Поделиться Опубликовано 31 августа, 2017 хорошие фото получились. Да, удаление оправдано ) 2 Ссылка на комментарий
Анестезиолог Опубликовано 31 августа, 2017 Автор Поделиться Опубликовано 31 августа, 2017 хорошие фото получились. Да, удаление оправдано )Спасибо, я старался. Но откуда эта полость? Кариес корня? Хирург так и не понял сам, сказал, что видит такое впервые. Там был ещё фрагмент, заполнявший полость, но он его выбросил. Как я понял мягкотканный, его доставали отдельно от корня,. Ссылка на комментарий
Dman Опубликовано 4 сентября, 2017 Поделиться Опубликовано 4 сентября, 2017 Спасибо, я старался. Но откуда эта полость? Кариес корня? Хирург так и не понял сам, сказал, что видит такое впервые. Там был ещё фрагмент, заполнявший полость, но он его выбросил. Как я понял мягкотканный, его доставали отдельно от корня,.очень похоже на перфорацию 2 Ссылка на комментарий
Анестезиолог Опубликовано 4 сентября, 2017 Автор Поделиться Опубликовано 4 сентября, 2017 очень похоже на перфорациюСпасибо Ссылка на комментарий
Bier Опубликовано 4 сентября, 2017 Поделиться Опубликовано 4 сентября, 2017 скорее всего была перфорация, которая потом увеличилась за счет активности микроорганизмов Ссылка на комментарий
Анестезиолог Опубликовано 4 сентября, 2017 Автор Поделиться Опубликовано 4 сентября, 2017 Спасибо. Ссылка на комментарий
Рекомендуемые сообщения
Для публикации сообщений создайте учётную запись или авторизуйтесь
Вы должны быть пользователем, чтобы оставить комментарий
Создать аккаунт
Зарегистрируйте новый аккаунт в нашем сообществе. Это очень просто!
Регистрация нового пользователяВойти
Уже есть аккаунт? Войти в систему.
Войти