lalafa Опубликовано 16 августа, 2017 Поделиться Опубликовано 16 августа, 2017 (изменено) Здравствуйте, помогите, пожалуйста, советами.Мне 29 лет. Хронические заболевания - гранулезный фарингит, гастрит, ГЭРБ, сколиоз. У меня генерализованная рецессия десны, катаральный гингивит, пародонтальных карманов нет. Рекомендовано ортодонтическое лечение. НО ортодонты предупредили, что велика вероятность продолжения рецессии десны во время лечения и ухудшения ситуации. Посетила 2 пародонтологов, мнения противоположные. Один рекомендует операцию по закрытию рецессии методом пересадки трансплантата с неба. Хочет оперировать до ортодонт лечения самые проблемные зубы - клыки на нижней челюсти и 4ку. Мотив - утолщить десну, чтобы она выдержала брекеты и не рецессировала еще больше.Другой пародонтолог говорит, что так как именно эти зубы "не стоят в зубной дуге" (цитата врача) трансплантат с неба не приживется и результата не будет. Советует делать операцию после снятия брекетов на прямые зубы.Вопросы:1) Насколько в принципе опасно при такой рецессии проводить ортодонтическое лечение? зубы могут расшатываться и выпасть в процессе лечения?2) Закрывать рецессию до брекетов или после? Действительно, на таких вывернутых зубах не приживается трансплантат?3) Постоянно мучаюсь с катаральным гингивитом. Прохожу Проф чистку раз в 6 месяцев, но без толку. за чистотой слежу и самостоятельно, но скученные зубные ряды все равно провоцируют гингивит. Можно надеяться, что после брекетов гингивит вылечится? Изменено 16 августа, 2017 пользователем lalafa Ссылка на комментарий
Art 7 Опубликовано 17 августа, 2017 Поделиться Опубликовано 17 августа, 2017 в вашей ситуации нужно уделять больше времени гигиене, пока процесс не стабилизируется, проведение пластики мягкими тканями может быть очень рискованным. после стабилизации уже проводить закрытие рецессий. в каких объёмах её проводить надо смотреть по кт совсестно с ортодонтом, когда у ортрдонта есть понимание куда будут двигаться зубы 2 Ссылка на комментарий
IvanK Опубликовано 17 августа, 2017 Поделиться Опубликовано 17 августа, 2017 в вашей ситуации нужно уделять больше времени гигиене, пока процесс не стабилизируется, проведение пластики мягкими тканями может быть очень рискованным. после стабилизации уже проводить закрытие рецессий. в каких объёмах её проводить надо смотреть по кт совсестно с ортодонтом, когда у ортрдонта есть понимание куда будут двигаться зубыВот лучше не скажешь!!) Ссылка на комментарий
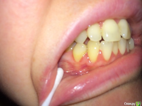
lalafa Опубликовано 17 августа, 2017 Автор Поделиться Опубликовано 17 августа, 2017 Про гигиену чищу зубы как показал стоматолог, по схеме.Нитью больно пользоваться, потому что сильная скученность.После проф чистки гингивит все равно есть, просто десны не кровоточат, но они красные и припухшие. фото сделаны после недели применения ополаскивателя, от которого сильно желтеют зубы, поэтому такой вид, как будто проблемы с гигиеной.Скажите. пожалуйста, на снимке есть признаки пародонтоза? Ссылка на комментарий
lalafa Опубликовано 17 августа, 2017 Автор Поделиться Опубликовано 17 августа, 2017 Art 7, в любом случае пластику надо проводить до установки брекетов? Ссылка на комментарий
Art 7 Опубликовано 17 августа, 2017 Поделиться Опубликовано 17 августа, 2017 ополоскиватель не окрашивает зубы, он окрашивает налёт. пластику до брекетов, вы не первая со скученностью, есть и сложнее ситуации когда пациенты справляются. породонтоза у вас нет Ссылка на комментарий
lalafa Опубликовано 17 августа, 2017 Автор Поделиться Опубликовано 17 августа, 2017 (изменено) Спасибо за ответы!Еще один вопрос - второй пародонтолог рекомендовал scaling and root planning.Агрессивная процедура с глубокой чисткой и накладыванием под десну специального лекарства. Обычно применяется, если есть пародонтальные карманы.Целессобразно ли делать ее при моем гингивите? Изменено 17 августа, 2017 пользователем lalafa Ссылка на комментарий
Art 7 Опубликовано 17 августа, 2017 Поделиться Опубликовано 17 августа, 2017 я не знаю 1 Ссылка на комментарий
drusmanov Опубликовано 11 октября, 2017 Поделиться Опубликовано 11 октября, 2017 в вашей ситуации нужно уделять больше времени гигиене, пока процесс не стабилизируется, проведение пластики мягкими тканями может быть очень рискованным. после стабилизации уже проводить закрытие рецессий. в каких объёмах её проводить надо смотреть по кт совсестно с ортодонтом, когда у ортрдонта есть понимание куда будут двигаться зубы пациентка тут уже не сможет самостоятельно чистить Ссылка на комментарий
Рекомендуемые сообщения
Для публикации сообщений создайте учётную запись или авторизуйтесь
Вы должны быть пользователем, чтобы оставить комментарий
Создать аккаунт
Зарегистрируйте новый аккаунт в нашем сообществе. Это очень просто!
Регистрация нового пользователяВойти
Уже есть аккаунт? Войти в систему.
Войти