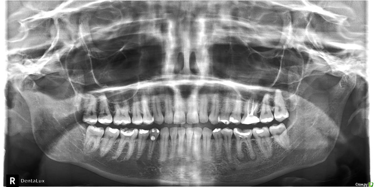
miep Опубликовано 14 августа, 2017 Поделиться Опубликовано 14 августа, 2017 Зуб был депульпирован в конце февраля 6 ка левая верхняя. Чувствительность зуба сохраняется до сих пор. при надавливание со стороны щеки чувствую неприятные ощущения.Ощущения пропадают после несколько раз надавливаний но потом возвращается...по снимку врачи не видят ничего такого. В 6 ке нижней правой было 4 канала. может и там тоже 4 но не нашли? КТ сделать пока не могу....сделала панарамный. Может вы что увидите?Что можно сделать? Ссылка на комментарий
miep Опубликовано 16 августа, 2017 Автор Поделиться Опубликовано 16 августа, 2017 неужели по снимку ничего никто сказать не может? Ссылка на комментарий
red_butler Опубликовано 16 августа, 2017 Поделиться Опубликовано 16 августа, 2017 неужели по снимку ничего никто сказать не может?так по Вашему снимку ничего конкретного сказать нельзя. Ссылка на комментарий
IvanK Опубликовано 17 августа, 2017 Поделиться Опубликовано 17 августа, 2017 надо сделать кт.. и заняться 36 Ссылка на комментарий
miep Опубликовано 17 августа, 2017 Автор Поделиться Опубликовано 17 августа, 2017 и заняться 36 это 6 ка левая нижняя?КТ нет возможности сделать пока Ссылка на комментарий
miep Опубликовано 17 августа, 2017 Автор Поделиться Опубликовано 17 августа, 2017 так по Вашему снимку ничего конкретного сказать нельзя. понимаю, но хотя бы от чего такое может быть. еще и нос переодически на этой стороне закладывает. ЛОР ничего не нашла. Ссылка на комментарий
IvanK Опубликовано 17 августа, 2017 Поделиться Опубликовано 17 августа, 2017 это 6 ка левая нижняя?КТ нет возможности сделать пока она Ссылка на комментарий
IvanK Опубликовано 17 августа, 2017 Поделиться Опубликовано 17 августа, 2017 понимаю, но хотя бы от чего такое может быть. еще и нос переодически на этой стороне закладывает. ЛОР ничего не нашла. без КТ - гадание это как ремонт авто по фотографии.. Ссылка на комментарий
miep Опубликовано 17 августа, 2017 Автор Поделиться Опубликовано 17 августа, 2017 (изменено) онауже начали. неделю назад заложили крио чего то там в каналы. гной прошел уже. завтра доктор уже будет расширять каналы и ставить кальций на месяц . хотя моя интуиция говорит что надо бы еще лекарство противомикробное. там очень долго был гной. чтобы наверяняка его убрать. и кальций бы не на месяц а почаще менять.. Каково ваше мнение? Изменено 17 августа, 2017 пользователем miep Ссылка на комментарий
IvanK Опубликовано 23 августа, 2017 Поделиться Опубликовано 23 августа, 2017 думаю, что если Вы не доверяете Вашему Врачу, то надо искать другого Ссылка на комментарий
miep Опубликовано 2 сентября, 2017 Автор Поделиться Опубликовано 2 сентября, 2017 думаю, что если Вы не доверяете Вашему Врачу, то надо искать другогопроще всего так сказать.. мне нужно понимание многих вещей что делается. спрашивать у врача на прямую-это может расценится как недоверие. а читать инет еще хуже. Надежнее спросить у знающих людей Ссылка на комментарий
red_butler Опубликовано 4 сентября, 2017 Поделиться Опубликовано 4 сентября, 2017 мне нужно понимание многих вещей что делается.для этого придется получить профильное высшее образование. хотя моя интуиция говорит что надо бы еще лекарство противомикробное.это вторично, главное механическая и медикаментозная обработка системы корневых каналов, которые врач проводит в условиях изоляции зуба коффердамом. P.s. извините за любопытство, но почему не можете сделать Кт? Ссылка на комментарий
miep Опубликовано 11 сентября, 2017 Автор Поделиться Опубликовано 11 сентября, 2017 (изменено) P.s. извините за любопытство, но почему не можете сделать Кт?во-первых не уверенна что в нашем городе есть оно. во вторых мне никто из врачей (была у нескольких) не предлагал КТ . в третьих-это ж просто чувствительность... Кофер у нас не используют.... хотя может в супер дорогих клиниках.... Изменено 11 сентября, 2017 пользователем miep Ссылка на комментарий
red_butler Опубликовано 13 сентября, 2017 Поделиться Опубликовано 13 сентября, 2017 во-первых не уверенна что в нашем городе есть он есть, и не один в третьих-это ж просто чувствительность... к чему тогда эта тема? 1 Ссылка на комментарий
Рекомендуемые сообщения
Для публикации сообщений создайте учётную запись или авторизуйтесь
Вы должны быть пользователем, чтобы оставить комментарий
Создать аккаунт
Зарегистрируйте новый аккаунт в нашем сообществе. Это очень просто!
Регистрация нового пользователяВойти
Уже есть аккаунт? Войти в систему.
Войти