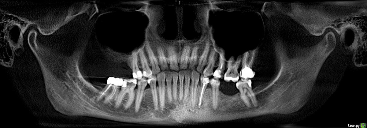
Ирина2706 Опубликовано 31 июля, 2017 Поделиться Опубликовано 31 июля, 2017 Добрый день, Ситуация такая, на верхнем правом 6 стояла коронка со штифтом, зуб начал беспокоить,на приеме оказалось ,что киста, перфорация.Зуб долго пытались спасти, но в итоге удалили 3 месяца назад, с планами поставить имплант. Лунка после удаления заживает хорошо, Но!!!! Меня постоянно беспокоят не сильные боли жжение , то в скуле, то в носу, переодически опухает небо . Была у лора, вылечили все, что было можно. Вернулась к стоматологу, сделали КТ. Стоматолог сказал, что все хорошо и может быть невралгия, назначил уколы. Направил на консультацию к терапевту по поводу верхней правой 5, сказав, что пломба большая и проблема может быть из-за нее. Терапевт сейчас в отпуске.Но смотря дома КТ, если смотреть с внутренней стороны нашла какую то точку, может ли это быть пломбировочным материалом или осколком? или еще чем то? На что еще надо обратить внимание. Получается, что врачи проблем не видят, а я постоянно мучаюсь.Что может быть? Что показывает КТ? Заранее спасибо откликнувшимся.Ссылка на КТ, разместила на нескольких.https://yadi.sk/d/sb6yYjV93LUrQA dropmefiles.com/S4Q8Y Ссылка на комментарий
red_butler Опубликовано 31 июля, 2017 Поделиться Опубликовано 31 июля, 2017 ЛОР не нужен Ссылка на комментарий
Ирина2706 Опубликовано 31 июля, 2017 Автор Поделиться Опубликовано 31 июля, 2017 ЛОР не нуженСтоматолог-хирург сказала так же, но еще, что и с ее стороны проблем нет. Ссылка на комментарий
red_butler Опубликовано 31 июля, 2017 Поделиться Опубликовано 31 июля, 2017 Нужно исключить пульпит, невралгию и дисфункцию сустава 1 Ссылка на комментарий
Ирина2706 Опубликовано 31 июля, 2017 Автор Поделиться Опубликовано 31 июля, 2017 Нужно исключить пульпит, невралгию и дисфункцию суставаНевралгию исключаем уже. колю уколы, но пока не вижу изменений. Не могли бы посмотреть КТ? оно не покажет сустав и пульпит? Ссылка на комментарий
red_butler Опубликовано 31 июля, 2017 Поделиться Опубликовано 31 июля, 2017 Невралгию исключаем уже. колю уколы, но пока не вижу изменений. Это должен сделать невропатолог Не могли бы посмотреть КТ? не могу оно не покажет сустав и пульпит? не покажет Ссылка на комментарий
Ирина2706 Опубликовано 31 июля, 2017 Автор Поделиться Опубликовано 31 июля, 2017 Это должен сделать невропатолог не могу не покажет В любом случае, большое спасибо.На завтра записана к стоматологу-терапевту, она вышла из отпуска.Буду искать причину дальше. Ссылка на комментарий
red_butler Опубликовано 31 июля, 2017 Поделиться Опубликовано 31 июля, 2017 В любом случае, большое спасибо.На завтра записана к стоматологу-терапевту, она вышла из отпуска.Буду искать причину дальше.Удачи, напишите когда будут результаты. Ссылка на комментарий
Ирина2706 Опубликовано 1 августа, 2017 Автор Поделиться Опубликовано 1 августа, 2017 Удачи, напишите когда будут результаты. Была сегодня у терапевта, она посмотрела и сказала, что по снимку не видно, а КТ показало воспаление в корнях верхней пятерке, удалили нерв, положили лекарство. Жду 2 недели и на прием. Очень надеюсь, что это было моей проблемой, потому что лечить больше нечего ))) Ссылка на комментарий
Рекомендуемые сообщения
Для публикации сообщений создайте учётную запись или авторизуйтесь
Вы должны быть пользователем, чтобы оставить комментарий
Создать аккаунт
Зарегистрируйте новый аккаунт в нашем сообществе. Это очень просто!
Регистрация нового пользователяВойти
Уже есть аккаунт? Войти в систему.
Войти