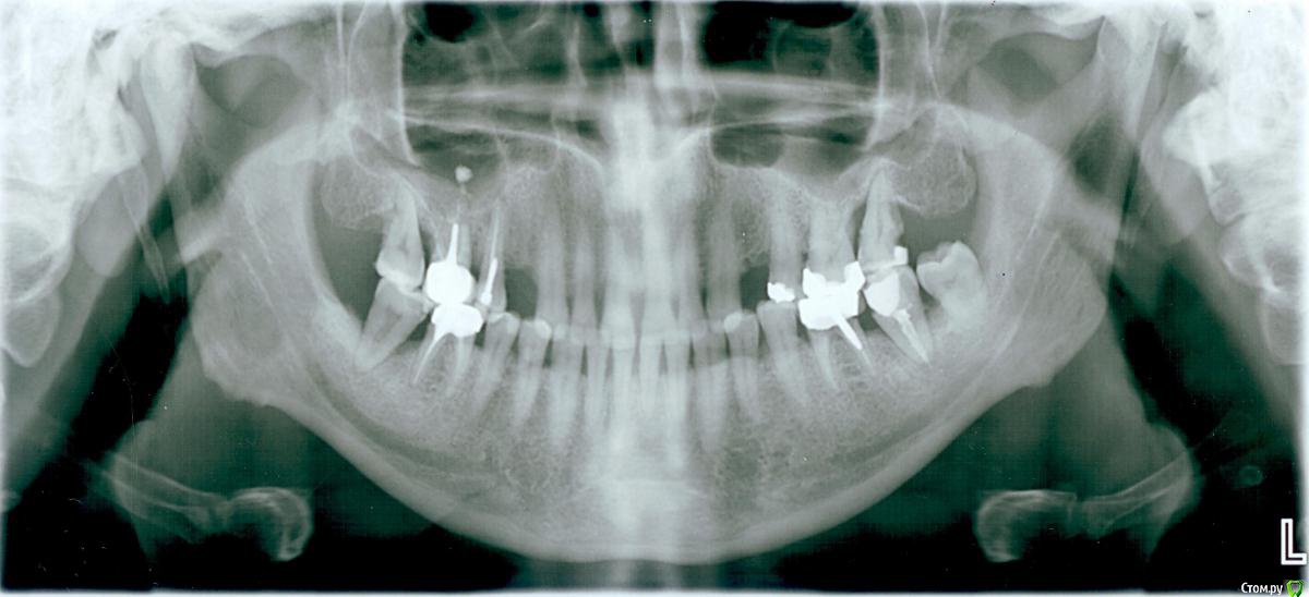
3авулон Опубликовано 31 июля, 2017 Поделиться Опубликовано 31 июля, 2017 Добрый день!Нежданно негаданно в марте месяце показал Стоматологу свою верхнюю левую семерку (стоит боком) и получил четкое указание - удалять ее (мне это не новость, гораздо интереснее было бы узнать, как на ее место поставить новый зуб) и ОБЕ нижние семерки, так как вокруг них сильное воспаление и они фактически плавают в гною. Я этого вообще не замечал ((( Шок это по нашему ((( Причем надо сказать что перед этим консультировался в нескольких клиниках (и местячковых и государственных) - на предмет установки двух имплантов верхних четверок - все готовы были установить их "хоть завтра" (и это с таким воспалением во рту?). Ну что делать, поехал удалять. Слово за слово с доктором решили таки попробовать полечить, если что потом и удалим. Парадолтолог чистила карманы, колола сыворотку из крови, я антибиотики пил... Вот теперь ждем три месяца, которые скоро заканчиваются. Параллельно бывал на осмотре у других докторов, вроде бы гноя больше не видят, но все равно говорят что эти карманы не могут не забиваться и нужно эти зубы удалять. Причин почему такое происходит никто не называет - генетика, психосоматика и т.д... А если удалять семерки - то зачем мне восьмерка и четвертая семерка? И пишут "удалить пять зубов!", оставив по шестые... упс... вот так в 45 лет... я не готов. Готов бороться, лечить, оперировать, делать что скажут, лишь бы спасти и сделать все правильно (к сожалению каких только ВЗАИМОИСКЛЮЧАЮЩИХ мнений я не наслушался) ((( Свежий снимок прилагаю. Сравнивал его с аналогичным 9 месячной давности, наложив их друг на друга - каких то изменений не вижу.... Ссылка на комментарий
dok1 Опубликовано 31 июля, 2017 Поделиться Опубликовано 31 июля, 2017 Удалять все 7. Не вкладывайтесь в сохранение. 38 тоже. Он подавно не нужен. Чем быстрее удалите, тем больше места сохраните для имплантов. Ссылка на комментарий
3авулон Опубликовано 31 июля, 2017 Автор Поделиться Опубликовано 31 июля, 2017 Для каких имплантов? Мне говорят что у меня нет кости, подсаживать ее на места семерок - не приживется и что в общем жить мне с зубами "по щестые включительно" и наблюдать за ними, не пойдут ли они следом за седьмыми.... Ссылка на комментарий
red_butler Опубликовано 31 июля, 2017 Поделиться Опубликовано 31 июля, 2017 Мне говорят что у меня нет кости, подсаживать ее на места семерок - не приживется и что в общем жить мне с зубами "по щестые включительно" и наблюдать за ними, не пойдут ли они следом за седьмыми.... Это мягко говоря не так, и поправимо 1 Ссылка на комментарий
IvanK Опубликовано 2 августа, 2017 Поделиться Опубликовано 2 августа, 2017 Это мягко говоря не так, и поправимо+1 Сходите еще на пару консультаций Ссылка на комментарий
Рекомендуемые сообщения
Для публикации сообщений создайте учётную запись или авторизуйтесь
Вы должны быть пользователем, чтобы оставить комментарий
Создать аккаунт
Зарегистрируйте новый аккаунт в нашем сообществе. Это очень просто!
Регистрация нового пользователяВойти
Уже есть аккаунт? Войти в систему.
Войти