Novichok78 Опубликовано 30 июля, 2017 Поделиться Опубликовано 30 июля, 2017 Добрый день.Срочно нужна ваша помощь.Неделю назад поставила на передние 4зуба (имплант,2коронки и винир) из е.мах.Все вроде ничего ,но прошла неделя и я заметила,что внутри на коронках появляется налет!!Как говорил мне врач, что коронки не темнеют и не покрываются налетом, а они покрылись Я просто в шоке.И на ощупь с внутренней стороны они шершавые по сравнению с передней- гладкой.Помогите разобраться , что мне поставили, может меня обманули и вовсе поставили не е.мах или они как то объединили два материала из за экономии?Так если такие перемены произошли через неделю, я боюсь представить чего ждать дальше....Еще заметила какую то белую полосу на коронке.На примерки я видела, что с внутр.стороны коронок какие то пятна, я попросила из убрать, тк удовольствие это не дешевое и ставить с пятнами мне не хочется, но на второй примерки пятна так и убрали..вообще меня насторожило,что врач сразу стал устанавливать их в рот не дав посмотреть со стороны, говоря что смотреть надо во рту. Ссылка на комментарий
Evikrol Опубликовано 30 июля, 2017 Поделиться Опубликовано 30 июля, 2017 Сфотографируйте и выкладывайте фото на форум Ссылка на комментарий
red_butler Опубликовано 30 июля, 2017 Поделиться Опубликовано 30 июля, 2017 http://forum.stom.ru/topic/20613-sovety-patcientam-obiazatelno-k-prochteniiu/ Ссылка на комментарий
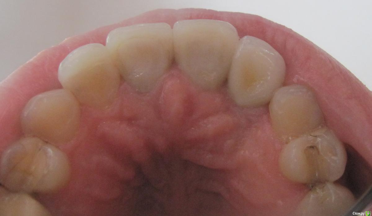
Novichok78 Опубликовано 30 июля, 2017 Автор Поделиться Опубликовано 30 июля, 2017 Выкладываю мои фотографии,фото с внутрен.стороны не очень видно , но там пятна... Ссылка на комментарий
red_butler Опубликовано 30 июля, 2017 Поделиться Опубликовано 30 июля, 2017 налета не увидел, а работа очень даже ничего... 2 Ссылка на комментарий
Novichok78 Опубликовано 30 июля, 2017 Автор Поделиться Опубликовано 30 июля, 2017 почему они шершавые внутри, если должны быть гладкими как спереди? Ссылка на комментарий
AndyAndy Опубликовано 31 июля, 2017 Поделиться Опубликовано 31 июля, 2017 Возможно требуется полировка. Обратитесь к лечащему доктору 1 Ссылка на комментарий
red_butler Опубликовано 31 июля, 2017 Поделиться Опубликовано 31 июля, 2017 почему они шершавые внутри, если должны быть гладкими как спереди?Для ответа нужен очный осмотр 1 Ссылка на комментарий
Рекомендуемые сообщения
Для публикации сообщений создайте учётную запись или авторизуйтесь
Вы должны быть пользователем, чтобы оставить комментарий
Создать аккаунт
Зарегистрируйте новый аккаунт в нашем сообществе. Это очень просто!
Регистрация нового пользователяВойти
Уже есть аккаунт? Войти в систему.
Войти