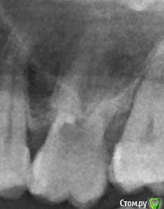
Shelly2000 Опубликовано 18 июля, 2017 Поделиться Опубликовано 18 июля, 2017 Здравствуйте! Вскрывался шестой зуб слева вверху по причине боли при кусании. Через какое-то время обработки изнутри зуба пошла кровь. Врач что-то брызгал внутрь, останавливал кровь, было неприятное ощущение в носу. Снимок сделан после этого. Было подозрение на перфорацию.Врач на снимке перфорацию не увидел. В другой клинике врач посмотрел этот же снимок, сказал, что перфорация есть.Хочется понять, кто из них прав. Видно перфорацию на снимке или нет? Спасибо за внимание! Ссылка на комментарий
dok1 Опубликовано 19 июля, 2017 Поделиться Опубликовано 19 июля, 2017 Надо смотреть в полость зуба под увеличением. Ссылка на комментарий
Shelly2000 Опубликовано 19 июля, 2017 Автор Поделиться Опубликовано 19 июля, 2017 Надо смотреть в полость зуба под увеличением.Микроскопов нет ни у одного врача, ни у второго. Если определяется только так, и по снимку ничего невозможно увидеть, то получается, что оба просто говорили наугад? Ссылка на комментарий
dok1 Опубликовано 19 июля, 2017 Поделиться Опубликовано 19 июля, 2017 Выводы я не делаю. Истина только при очном осмотре хотя бы в бинокулярах. Ссылка на комментарий
Shelly2000 Опубликовано 19 июля, 2017 Автор Поделиться Опубликовано 19 июля, 2017 Истина только при очном осмотре хотя бы в бинокулярах.Как-то странно: везде и всюду делают рентген снимки для контроля того, что творится внутри зубов. А тут получается, что данная ситуация - исключение, и рентген не является информативным вариантом. Или это зависит от того, на каком аппарате и под каким углом делается? Ссылка на комментарий
dok1 Опубликовано 19 июля, 2017 Поделиться Опубликовано 19 июля, 2017 Дефект находится внутри полости зуба, окружён стенками. На снимке будет обязательно наложение корней и других элементов, свойственных строению зубов данной групповой принадлежности. + с зубом поработали бором. Дабы исключить ложные признаки вероятной перфорации и требуется "взгляд изнутри". Если при зондировании дна сформированной полости зуба без погружения в каналы начинается кровотечение, то с высокой вероятностью можно говорить о перфорации того самого дна полости. В стоматологии есть много примеров снимков, на которых можно предположить перфорированное дно пульпарной камеры. Но при очном осмотре дефекта не выявлялось. 2 Ссылка на комментарий
Shelly2000 Опубликовано 19 июля, 2017 Автор Поделиться Опубликовано 19 июля, 2017 Но при очном осмотре дефекта не выявлялось.Спасибо за подробный ответ!Я понял, что может мешать многослойность структур из-за того, что снимок плоский. В таком случае получается, что на 3D исследовании будет всё хорошо видно также, как и при визуальном осмотре вооружённым глазом. Или там тоже что-то может мешать однозначному пониманию картины? Ссылка на комментарий
dok1 Опубликовано 20 июля, 2017 Поделиться Опубликовано 20 июля, 2017 3D не факт, что покажет. Ссылка на комментарий
Shelly2000 Опубликовано 20 июля, 2017 Автор Поделиться Опубликовано 20 июля, 2017 3D не факт, что покажет.Делаю вывод, что в данном случае любые рентгены - бесполезная трата средств, так как корректное представление реальной ситуации не гарантировано. Подскажите, пожалуйста, оптические приборы какого производителя следует искать в клиниках, чтобы случайно не столкнуться с использованием третьесортного микроскопа, который тоже не способен показывать то, что есть на самом деле? 1 Ссылка на комментарий
dok1 Опубликовано 21 июля, 2017 Поделиться Опубликовано 21 июля, 2017 Любое увеличение всегда лучше его отсутствия. Часто хватает и бинокуляров. На прицельных снимках тоже видно перфорации иной раз. Зависит от условий строения и топографии зуба. В конкретном вашем случае сомнения в обе стороны объективны. Ссылка на комментарий
dok1 Опубликовано 21 июля, 2017 Поделиться Опубликовано 21 июля, 2017 Если ваш зуб планируется под коронку,то часть стенок можно спилить, создав тем самым доступ для более безпрепятственного обзора дна полости. Может и без оптики удастся разглядеть. Ещё внутриротовая камера отличное подспорье. Мне очень помогает. Ссылка на комментарий
Shelly2000 Опубликовано 21 июля, 2017 Автор Поделиться Опубликовано 21 июля, 2017 Ещё внутриротовая камера отличное подспорье.Спасибо! Ситуация стала более понятна.Иду искать самую технически оснащённую клинику. Ссылка на комментарий
red_butler Опубликовано 21 июля, 2017 Поделиться Опубликовано 21 июля, 2017 Спасибо! Ситуация стала более понятна.Иду искать самую технически оснащённую клинику.врача ищите... Ссылка на комментарий
Рекомендуемые сообщения
Для публикации сообщений создайте учётную запись или авторизуйтесь
Вы должны быть пользователем, чтобы оставить комментарий
Создать аккаунт
Зарегистрируйте новый аккаунт в нашем сообществе. Это очень просто!
Регистрация нового пользователяВойти
Уже есть аккаунт? Войти в систему.
Войти