L.E.S.I.K. Опубликовано 13 июля, 2017 Поделиться Опубликовано 13 июля, 2017 Доброго времени суток, коллеги. Пациент обратился с желанием иметь несъемную конструкцию на имплантах. В анамнезе 5 мес назад операция по поводу хронического одонтогенного остеомиелита верхней челюсти. В настоящее время клинический признаков воспаления нет. Есть только значительный дефект. 3 класса по Зиберту. Какие возможны методы аугментации кости в объеме необходимом для имплантации? Мне на ум приходит только блоки из подвздошной Ссылка на комментарий
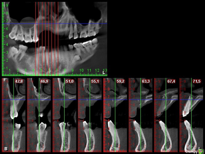
Bier Опубликовано 13 июля, 2017 Поделиться Опубликовано 13 июля, 2017 плохие очень снимки, толком ничего не понятно. Блоки с подвздошки забудьте, они резорбируются быстро. Тут нужен один из вариантов GBR Покажите нормальные срезы, чтобы был ясен уровень костных пиков на соседних зубах. Ссылка на комментарий
L.E.S.I.K. Опубликовано 13 июля, 2017 Автор Поделиться Опубликовано 13 июля, 2017 Возле 21 пик есть, а в обл 25 снижен, корень оголен на четверть. Смущает также отсутствие местами костно дна полости носа Ссылка на комментарий
Maxfac Опубликовано 13 июля, 2017 Поделиться Опубликовано 13 июля, 2017 Только реваскуляризированный лоскут. По анатомии дефекта подойдёт бедренный. Какова причина остеомиелита? Что с общей соматикой? Сколько лет? Ссылка на комментарий
L.E.S.I.K. Опубликовано 13 июля, 2017 Автор Поделиться Опубликовано 13 июля, 2017 (изменено) Возраст 40. Соматических проблем нет, не наркоман, бисфосфонаты не принимает . Остеомиелит одонтогенный Изменено 13 июля, 2017 пользователем L.E.S.I.K. Ссылка на комментарий
L.E.S.I.K. Опубликовано 13 июля, 2017 Автор Поделиться Опубликовано 13 июля, 2017 (изменено) Только реваскуляризированный лоскут. По анатомии дефекта подойдёт бедренный. А с каким сосудами в таком случае анастомозируют реваскуляризированный лоскут? (лицевая артерия и вена?) И где такое делают? Изменено 13 июля, 2017 пользователем L.E.S.I.K. Ссылка на комментарий
Maxfac Опубликовано 13 июля, 2017 Поделиться Опубликовано 13 июля, 2017 Вас понял. Можем взяться. В Москве. Ссылка на комментарий
L.E.S.I.K. Опубликовано 14 июля, 2017 Автор Поделиться Опубликовано 14 июля, 2017 А есть ли у кого опыт решения подобных ситуация при помощи GBR? Ссылка на комментарий
Рекомендуемые сообщения
Для публикации сообщений создайте учётную запись или авторизуйтесь
Вы должны быть пользователем, чтобы оставить комментарий
Создать аккаунт
Зарегистрируйте новый аккаунт в нашем сообществе. Это очень просто!
Регистрация нового пользователяВойти
Уже есть аккаунт? Войти в систему.
Войти