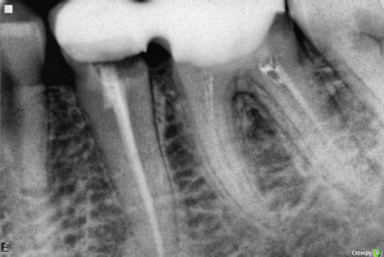
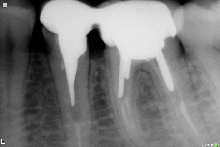
Girl Опубликовано 13 июля, 2017 Поделиться Опубликовано 13 июля, 2017 Доброе утро.6 месяцев назад в клинику обратился пациент с жалобами на боль между 36и 37. 36 резорциненный.Перелечка в 4 посещения. На сколько возможно. Сейчас снова жалобы на боль в 36, невозможно дотронуться даже языком. На сниме изменений в периапикальных тканях вроде нет. Все как и было 6 месяцев назад.Снимки до и после 6 месяцвВозможно наличии трещины? Ссылка на комментарий
vse32 Опубликовано 13 июля, 2017 Поделиться Опубликовано 13 июля, 2017 Снимок после - периапикальная область обрезана.Но можно заподозрить трещину в бифуркации. Хотя, только заподозрить.Причина болей 6 месяцев назад и сейчас - это точно не одна и та же трещина. Трещины не успокаиваются. Да и если бы трещина существовала бы полгода - это бы отразилось на состоянии костной ткани.Так что, это либо свежая трещина, либо еще что-то. Ссылка на комментарий
Girl Опубликовано 13 июля, 2017 Автор Поделиться Опубликовано 13 июля, 2017 (изменено) То есть это точно не карман? Изменено 13 июля, 2017 пользователем Girl Ссылка на комментарий
Bobon Опубликовано 13 июля, 2017 Поделиться Опубликовано 13 июля, 2017 в проекции бифуркации есть какие нибудь изменения слизистой? Ссылка на комментарий
Girl Опубликовано 13 июля, 2017 Автор Поделиться Опубликовано 13 июля, 2017 Переходная складка гиперемирована и болезненна с щечной стороны Ссылка на комментарий
Bobon Опубликовано 13 июля, 2017 Поделиться Опубликовано 13 июля, 2017 нужно апексы нормально сфотать, не видно ничего..... Ссылка на комментарий
Паращук Роман Опубликовано 14 июля, 2017 Поделиться Опубликовано 14 июля, 2017 до есть периапикалка на 6ке. Ссылка на комментарий
red_butler Опубликовано 2 августа, 2017 Поделиться Опубликовано 2 августа, 2017 Снимок после - периапикальная область обрезана. +1 покажите нормальный снимок Ссылка на комментарий
Рекомендуемые сообщения
Для публикации сообщений создайте учётную запись или авторизуйтесь
Вы должны быть пользователем, чтобы оставить комментарий
Создать аккаунт
Зарегистрируйте новый аккаунт в нашем сообществе. Это очень просто!
Регистрация нового пользователяВойти
Уже есть аккаунт? Войти в систему.
Войти