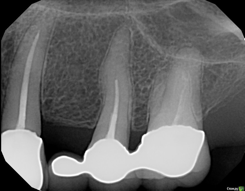
Dirina12 Опубликовано 11 июля, 2017 Поделиться Опубликовано 11 июля, 2017 Сегодня лечили зуб (номер 14), запломбировал 2 канала, а 3-й не мог найти (делал со снимками и микроскопом). Что делать? Будет ли болеть зуб? И почему не мог найти ?Ето нормально, что не может найти канал или плохой врач?На снимке самый крайний зуб. Ссылка на комментарий
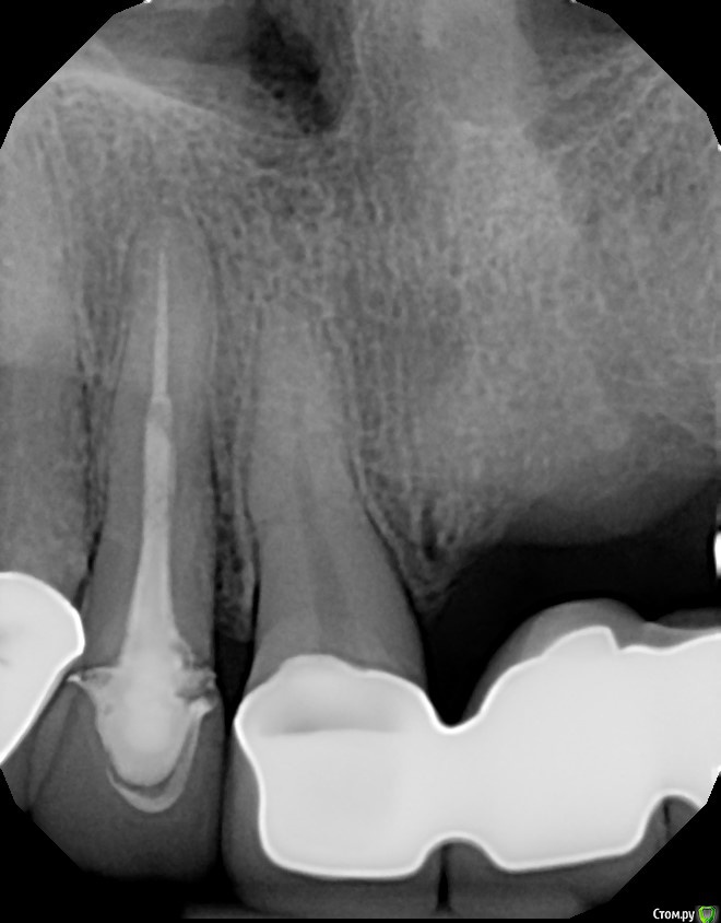
Dirina12 Опубликовано 11 июля, 2017 Автор Поделиться Опубликовано 11 июля, 2017 Здесь ( зуб номер 2) тоже видно что 2 канала запломбировано, а 3-го нет. Как так? Ссылка на комментарий
Ponchik Опубликовано 12 июля, 2017 Поделиться Опубликовано 12 июля, 2017 2 канала запломбировано, а 3-го нет. Третий есть. Внимательнее посмотрите. Вот есть ли четвертый не видно. а 3-й не мог найти (делал со снимками и микроскопом). Вот если бы не сказал и залепил, "как есть" - тогда плохой. И почему не мог найти ? Этот вопрос надо задать вашему зубу - почему каналы не в типичном месте? Почему облитерированы? Если нет доверия к врачу и Вы ищите ошибки в каждом его действии - меняйте врача. Ссылка на комментарий
Dirina12 Опубликовано 12 июля, 2017 Автор Поделиться Опубликовано 12 июля, 2017 Если нет доверия к врачу и Вы ищите ошибки в каждом его действии - меняйте врача. Врач сказал,что проблема в том что зуб был леченый много лет назад (лет 25 назад в Украине) и они использовали материал для пломбирования каналов ,что во-первых его не видно на снимке, а во-вторых его очень трудно извлечь из канала. Сейчас я лечусь в США и ето амер. доктор. Он намучился с другим зубом, чтобы извлечь етот материал из канала и перелечить его. Я считаю его хорошим доктором и он мне нравится. Он перелечил мне зуб номер 2 и он утих, хотя год назад тоже амер. доктор его лечил и он все еще ныл. Поетому я поменяла его на теперешнего. Спросила, потому что не хочу разочаровываться в нем, т.к. очень трудно найти хорошего дантиста даже здесь в Америке. У всех только долары в глазах, а помощи никакой. Мне еще предстоит с етим доктором резекция и пломбирование через десну зуба номер 7, поетому волнуюсь. Т.е. вы допускаете,что не всегда можно найти все каналы и ето не зависит от квалификазии доктора? Ссылка на комментарий
red_butler Опубликовано 12 июля, 2017 Поделиться Опубликовано 12 июля, 2017 Почему не сняты ортопедические конструкции? Ссылка на комментарий
Dirina12 Опубликовано 13 июля, 2017 Автор Поделиться Опубликовано 13 июля, 2017 Почему не сняты ортопедические конструкции? А что ето меняет? По-другому лечился бы? Или что? Так, здесь(в США) делают, наверное потому что новая коронка будет стоить $1,5К. Пломбирование канала $1,6К. Вот и считайте 1 зуб стоит больше $3К. 1 Ссылка на комментарий
red_butler Опубликовано 13 июля, 2017 Поделиться Опубликовано 13 июля, 2017 А что ето меняет? По-другому лечился бы? Или что?Так, здесь(в США) делают, наверное потому что новая коронка будет стоить $1,5К. Пломбирование канала $1,6К. Вот и считайте 1 зуб стоит больше $3К.Это меняет всё.Это усложняет лечение. Коронки после лечения все равно требуют замены. Нет понимания о состоянии опорных зубов, и следовательно лечение может быть напрасным.На снимке вижу как минимум один зуб с сомнительным прогнозом. Ссылка на комментарий
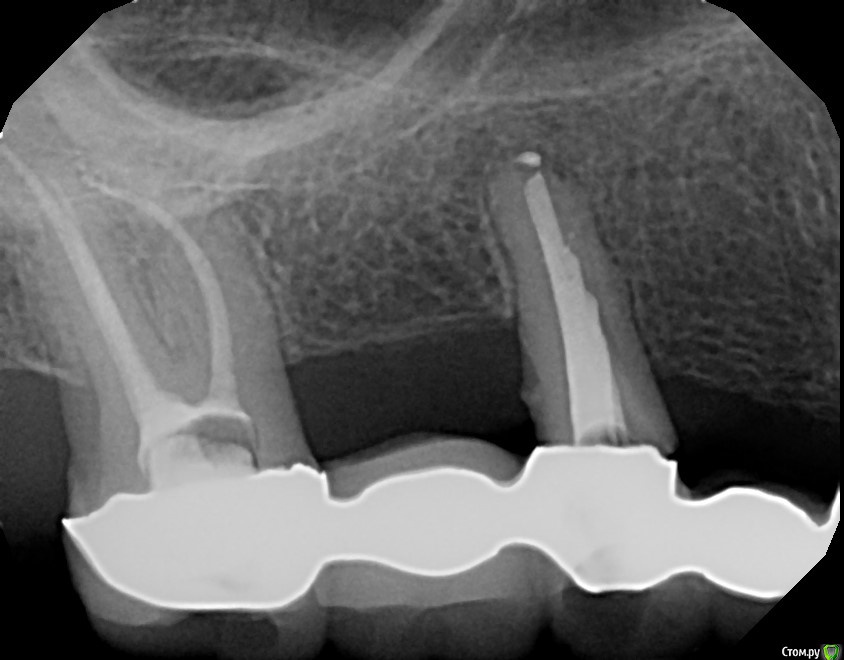
Dirina12 Опубликовано 14 июля, 2017 Автор Поделиться Опубликовано 14 июля, 2017 Спасибо за отзыв. А какой зуб с сомнительным прогнозом ?Конечно , в идеале я понимаю,что лучше все снять, пролечить и поставить новые коронки и мосты. Но здесь в Америке, ето целое состояние .А что можете сказать об етом зубе ( номер 7). Мне предстоит во вторник резекция и пломбирование сверху корня. Удастся ли спасти зуб? Стоимость $2К. Ссылка на комментарий
Рекомендуемые сообщения
Для публикации сообщений создайте учётную запись или авторизуйтесь
Вы должны быть пользователем, чтобы оставить комментарий
Создать аккаунт
Зарегистрируйте новый аккаунт в нашем сообществе. Это очень просто!
Регистрация нового пользователяВойти
Уже есть аккаунт? Войти в систему.
Войти