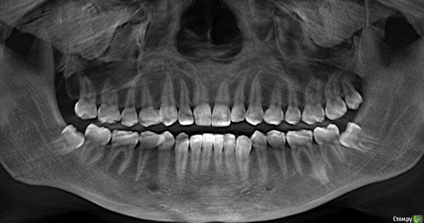
juliavesna Опубликовано 11 июля, 2017 Поделиться Опубликовано 11 июля, 2017 Добрый день! Буду благодарна, если кто-либо поможет мне разобраться с проблемой. Планировала начать ортодонтическое лечение. Сделала снимок 3D, где было выявлены 3 восьмерки (так как на прикрепленном снимке). Сейчас нахожусь на этапе удаления 2-й нижней восьмерки. Но также были выявлены пробемы с суставами (тяжело закрыть рот после максимального открытия, ощущение перескакивания, при чем в большей степени в 1 суставе). При том эти проблемы как бы непостоянны: иногда практически ничего не беспокоит, иногда периоды обострения. Также есть признаки стираемости. Большинство врачей настаивают на бруксизме. Была на консультации у нескольких врачей. Ортодонт направила на специалиста, который занимается заболеваниями внчс, которая на первой же консультации активно советовала сделать твердую шину. Меня, во-первых, смущает то, что врач не назначила никаких дополнительных обследований, снимков и т.д., только посмотрела мануально. Меня интересует возможность ортодонтического лечение в данной ситуации. Какие дополнительные обследования, снимки необходимо сделать? Нижний ряд довольно сильно скручен, зубы мудрости это еще больше ситуацию усугубили, верхние передние тоже повернуты в разные стороны, поэтому в ближайшем будущем очень хотелось бы исправить. Заранее спасибо. Ссылка на комментарий
juliavesna Опубликовано 11 июля, 2017 Автор Поделиться Опубликовано 11 июля, 2017 Вообще все ортодонты, к которым я обращалась, говорят о том, что с прикусом значинельных отклонений нет и сам по себе прикус и не может являться причиной проблем с внчс и т.д. Но при самостоятельном рассмотрении снимка я обратила внимание на то, что у меня зубы верхней челюсти не соответствуют одноименным зубам на нижней. Является ли это нормой? Ссылка на комментарий
red_butler Опубликовано 12 июля, 2017 Поделиться Опубликовано 12 июля, 2017 http://forum.stom.ru/topic/4655-patcientam/ Ссылка на комментарий
juliavesna Опубликовано 23 сентября, 2017 Автор Поделиться Опубликовано 23 сентября, 2017 Дорогие доктора!Снова пишу вам крик о помощи! Прикрепляю все, что есть и смогла сделать! Если нужно что-то еще - сделаю! Снимок после удаления нижних зубов мудрости. Консультации у врачей привели к следующим итогам. 1 вариант лечения - ношение мягкой капы около 3 месяцев, затем ношение жесткой капы до полугода, затем ортодонтическое лечение.2 вариант - сразу ортодонтическое лечение. (Только 1 врач из всех посещенных предложил такое лечение). Врач считает, что все мои проблемы с суставами вызваны неправильным суженным прикусом и положением зубов. Остальные ортодонты не брались за меня. По первому варианту я решила не тянуть и уже мне сделали мягкую капу, но проблема в том, что я не могу ее долго носить, на ночь не рискнула пока, так как она давит на мои кривые передние зубы и они начинают болеть. Еще раз пишу, что состояние суставов стало таким в течение последних полутора лет. Раньше таких конкретных проблем не было. Буду благодарна любым советам и комментариям. Ссылка на комментарий
juliavesna Опубликовано 23 сентября, 2017 Автор Поделиться Опубликовано 23 сентября, 2017 (изменено) Прикрепляю фото каппы, которую мне сделали. Изменено 23 сентября, 2017 пользователем juliavesna Ссылка на комментарий
Kazankov.Egor Опубликовано 25 сентября, 2017 Поделиться Опубликовано 25 сентября, 2017 Какова функция этой капы? Ссылка на комментарий
Kazankov.Egor Опубликовано 25 сентября, 2017 Поделиться Опубликовано 25 сентября, 2017 Первопричина обращения? Не помешали бы фото гипсовых моделей. Ссылка на комментарий
juliavesna Опубликовано 26 сентября, 2017 Автор Поделиться Опубликовано 26 сентября, 2017 Первопричина обращения? Не помешали бы фото гипсовых моделей.Спасибо за ответ. Гипсовые модели мне пока никто не делал и не предлагал сделать. Первопричина обращения - необходимоть ортодонтического лечения. Ссылка на комментарий
juliavesna Опубликовано 26 сентября, 2017 Автор Поделиться Опубликовано 26 сентября, 2017 Какова функция этой капы?Мягкая, релаксирующая капа. Мне сложно наверное определить какое она имеет функциональное значение и влияние. Как писала выше, мне ее назначили на месяца 3, потом жесткую, потом брекеты. Ссылка на комментарий
Kazankov.Egor Опубликовано 30 сентября, 2017 Поделиться Опубликовано 30 сентября, 2017 Мягкая, релаксирующая капа. Мне сложно наверное определить какое она имеет функциональное значение и влияние. Как писала выше, мне ее назначили на месяца 3, потом жесткую, потом брекеты. эта капа мало подходит для миорелаксации, стандартными универсальными капами такого типа являются аквалайзер, аквасплинт и подобные. Для подобных жалоб нужно пройти более серьезный спектр обследования. Ссылка на комментарий
Рекомендуемые сообщения
Для публикации сообщений создайте учётную запись или авторизуйтесь
Вы должны быть пользователем, чтобы оставить комментарий
Создать аккаунт
Зарегистрируйте новый аккаунт в нашем сообществе. Это очень просто!
Регистрация нового пользователяВойти
Уже есть аккаунт? Войти в систему.
Войти