AVS_1970 Опубликовано 10 июля, 2017 Поделиться Опубликовано 10 июля, 2017 Здравствуйте Прошу специалистов высказать мнение с целью помочь сделать мне выборСсылка на Гугл Диске ОПТГОбраз диска с КТ (Daemon Disk Lite) Обошёл 4 клиники в городе: А, Б, В, ГПолучил осмотр и планы лечения.Оплачивал снимки и консультации ( в некоторых и консультации и снимки были бесплатными)Во многом планы похожи, но есть индивидуальные отличия, некоторые из которых встречаются только в одной клиники.Квалификация врачей примерно одного уровня (высокая, судя по отзывам) В клиниках Б и Г имплант устанавливает и делает коронки один человекВ клиниках А и В имплантолог и ортопед разные врачи.Предложения врачей по лечению (количество клиник предложивших вариант и буквенный код)Зубы 38, 48 удалить - 4/4Зубы 28 и 18удалить сразу - 2/4 (А и Б)не трогать пока не беспокоят 1/4 (Г)удалить в течении года-двух не дожидаясь ухудшения 1/4 (В)Зубы 36, 37, 46, 47 - имплантацияс пластикой мягких тканей - 1/4 (А)с пластикой мягких тканей и наращиванием кости слева 1/4 (Б)без дополнительных манипуляций - 2/4 (В и Г)21 зубпопробовать спасти 1/4 (В)имплантация 4/4 (если не сработает вариант спасти)одномоментная 3/4 (А, Б, Г)удаление зуба, лечение кисты и через месяц имплантация - 1/4 (В)с пластикой мягких тканей - 1/4 (А)с пластикой мягких тканей и формированием круглой лунки при необходимости - 1/4 (Б)с пластикой мягких тканей в случае необходимости после приживления - 2/4 (В и Г)Коронки решил ставить безметалловыепо системам клиники предлагаютА- Osstem, NobelБ - Dentium, Impro, StraumannВ - Astra, Dentium/SuperlineГ - AnyOne, Impro, StraumannМне близка и понятна схема:а) 38 и 48 -удалятьб) 18 и 28 не трогать пока не станут беспокоитьв) 21 удалятьг) лечить кистуд) ставить импланте) пластику мягких тканей делать при необходимости В чем я не прав?Стоит ли доверять врачу который планирует уникальные манипуляции (типа наращивания кости или обязательной пластики мягких тканей)?Врач имплантолог и ортопед в одном лице это явный плюс или я ошибаюсь? Так же прошу высказаться по нижеследующим вопросам:Из систем выбрал в порядке убывания приоритета1.Astra и Straumann (дорого, опыт наблюдений и статистика, гарантия того, что запчасти не исчезнут с рынка мгновенно и навсегда (кроме катаклизма), на пределе фин. возможностей с учетом стоимости коронок)2. Dentium/Superline и Impro как я понял это копии с Астры, значит у Астры хорошая система раз копируют. Более щадящий в финансовом плане вариант.3.Есть ли смысл экономить ставя на передний зуб систему из пункта 2?4.Стоит ли обращать внимание на гарнтию на имплант (кусок титана сломать можно, я понимаю) или искать гарантию в виде бесплатной замены импланта в случае отторжения в сроки более года.5.Или просто чистить зубы и раз в год проходить проф чистку в клинике?6.Ваше мнение по срокам службы системы имлант+коронка в нормальных условиях Прошу прощения за большое количество вопросов. Ссылка на комментарий
Bier Опубликовано 11 июля, 2017 Поделиться Опубликовано 11 июля, 2017 все 8ки удалять.пластику десны делать.21й зуб спасать. Ссылка на комментарий
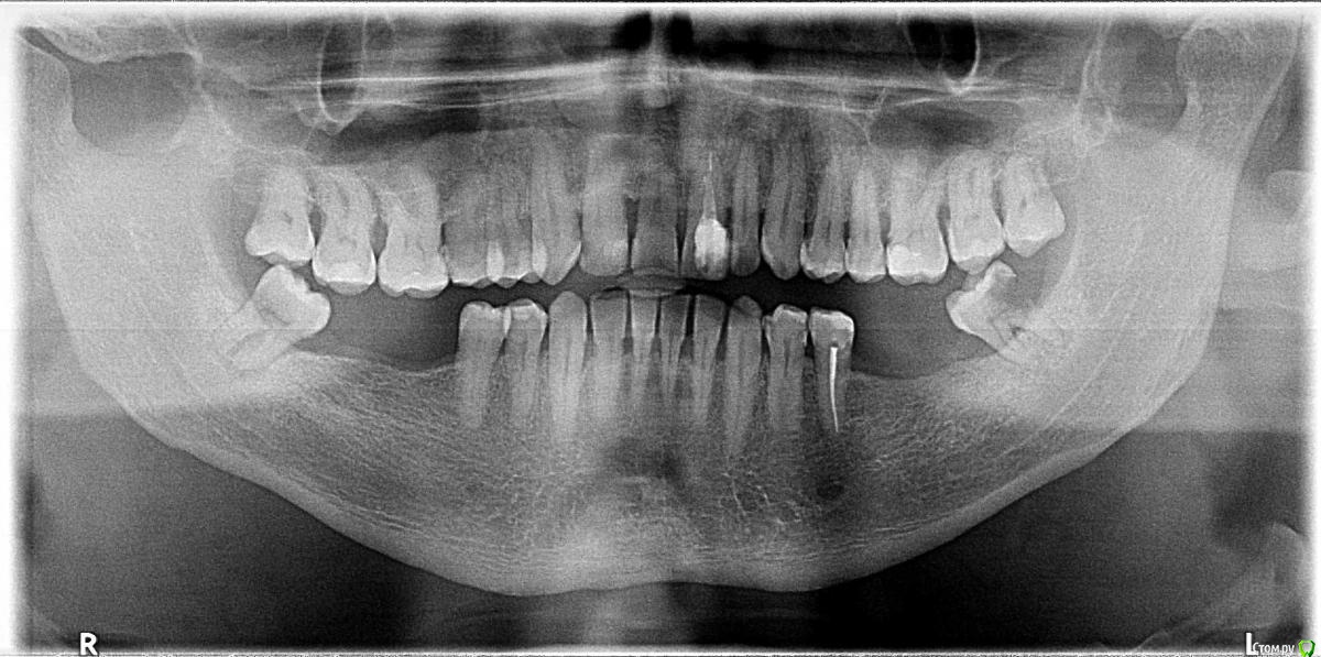
St. Опубликовано 11 июля, 2017 Поделиться Опубликовано 11 июля, 2017 За что решили удалять 21? у него достаточно высокие шансы на перелечивание. Ссылка на комментарий
AVS_1970 Опубликовано 11 июля, 2017 Автор Поделиться Опубликовано 11 июля, 2017 (изменено) Спасибо за отклики 21й зуб спасать. За что решили удалять 21? у него достаточно высокие шансы на перелечивание. Причина: фронтальный перелом, за десной, некачественное предыдущее лечение.Вот что мне врач сказал.Вероятно удалить и сделать имплант для некоторых проще.В конце недели будут смотреть в единственной клинике где предложили "разобрать зуб" и по результатам осмотра вынести вердикт.Даже план лечения выдали . Очень надеюсь на сохранение. пластику десны делать.сразу или после приживления импланта?8-ки удалять все 4 и сразу? Изменено 11 июля, 2017 пользователем AVS_1970 Ссылка на комментарий
red_butler Опубликовано 11 июля, 2017 Поделиться Опубликовано 11 июля, 2017 Такие объемные посты, многие не читают Ссылка на комментарий
St. Опубликовано 11 июля, 2017 Поделиться Опубликовано 11 июля, 2017 некачественное предыдущее лечение. это решаемо фронтальный перелом, за десной тут нужно в жизни смотреть что осталось от зуба, по снимкам этого не видно 1 Ссылка на комментарий
Bier Опубликовано 12 июля, 2017 Поделиться Опубликовано 12 июля, 2017 по пластике нужно фотки ваши смотреть. что касается восьмерок - как вам будет угодно. можно и все сразу, проще по сторонам, лево/право 1 Ссылка на комментарий
AVS_1970 Опубликовано 13 июля, 2017 Автор Поделиться Опубликовано 13 июля, 2017 Был сегодня на консультации в клинике по 21 зубу - даже не стали "разбирать".Сказали, что перелом глубоко и спасать зуб не возможно. Ссылка на комментарий
Bier Опубликовано 13 июля, 2017 Поделиться Опубликовано 13 июля, 2017 Перелом мы на снимке не видим. Если это так, то врачи правы. 1 Ссылка на комментарий
Рекомендуемые сообщения
Для публикации сообщений создайте учётную запись или авторизуйтесь
Вы должны быть пользователем, чтобы оставить комментарий
Создать аккаунт
Зарегистрируйте новый аккаунт в нашем сообществе. Это очень просто!
Регистрация нового пользователяВойти
Уже есть аккаунт? Войти в систему.
Войти