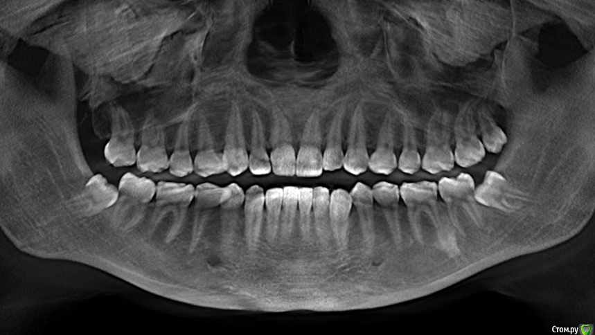
juliavesna Опубликовано 28 июня, 2017 Поделиться Опубликовано 28 июня, 2017 (изменено) Здравствуйте! В прошлом году при рассмотрении вариантов ортодонтического лечения обнаружили 2 нижних ретивированных зуба мудрости и один верхний обычный. Практически сразу удалили один нижний - с левой стороны (на снимке правый соответственно) и после этого через неделю у стоматолога при лечении одного из зубов, выявила трудности с закрыванием рта. В связи с переездом удаление второго ретинированного зуба отсрочилось. Меня он не беспокоит, точно так же как в принципе ничего на протяжении почти года после удаления не беспокоило.Недавно я записалась на удаление второго нижнего зуба через 2 недели, но по какой-то причине состояние суставов резко усугубилось буквально несколько дней назад. На протяжении нескольких дней чувствовала конкретные заклинивания при зевании например или при визите к стоматологу, движение челюсти неровное, как будто что-то смещается, иногда было даже при открывании рта до среднего уровня. Сегодня добавилась ноюще-давящая боль в области лица и ощущение слабости при жевании. Когда точно начались проблемы с суставами я не могу сказать, возможно где-то иногда и чувствовала какой-то дискомфорт, но меня это не беспокоило и внимания я не обращала. Такого как сейчас не было никогда.Вопрос заключается в том, что сейчас делать и с чего начинать. Насколько необходимо сейчас удаление зуба? Могло ли наличие зубов мудрости или наоборот удаление одного из них спровоцировать проблемы с суставами? Изменено 28 июня, 2017 пользователем juliavesna Ссылка на комментарий
Doctor Vlad Опубликовано 4 июля, 2017 Поделиться Опубликовано 4 июля, 2017 вам бы артрологу показаться. или стоматологу хирургу хотя бы с такой проблемой. Ссылка на комментарий
juliavesna Опубликовано 5 июля, 2017 Автор Поделиться Опубликовано 5 июля, 2017 Обращалась к нескольким хирургам и ортопедам. Рекоммендации по удалению зубов мудрости и ношению капы. Только вот что за чем делать - неоднозначно. Затем возможно ортодонтическое лечение. Хотелось бы услышать еще мнения. Заранее спасибо. Ссылка на комментарий
juliavesna Опубликовано 5 июля, 2017 Автор Поделиться Опубликовано 5 июля, 2017 Так как сустав сейчас беспокоит главным образом с левой стороны, возник вопрос, может ли это провоцировать верхняя восьмерка? Или нереально? (нижняя с левой стороны уже удалена). Пытаюсь разобраться, почему могли возникнуть проблемы с суставами. Ортодонты говорят, что с прикусом значительных проблем нет, которые могли бы сыграть в этом роль, да и начала чувствовать суставы сравнительно не так давно. Ссылка на комментарий
Doctor Vlad Опубликовано 6 июля, 2017 Поделиться Опубликовано 6 июля, 2017 может быть суперконтакт на восьмых зубах и разбалансировка сустава при движении челюсти.может просто после долгого нахождения в кресле стоматолога и долгом открытом рте гипертонус мышц задействованных в функции сустава...вариантов много... Ссылка на комментарий
Doctor Vlad Опубликовано 6 июля, 2017 Поделиться Опубликовано 6 июля, 2017 от восьмерок все равно придется избавиться Ссылка на комментарий
juliavesna Опубликовано 11 июля, 2017 Автор Поделиться Опубликовано 11 июля, 2017 от восьмерок все равно придется избавитьсяспасибо за ответы. Ссылка на комментарий
Рекомендуемые сообщения
Для публикации сообщений создайте учётную запись или авторизуйтесь
Вы должны быть пользователем, чтобы оставить комментарий
Создать аккаунт
Зарегистрируйте новый аккаунт в нашем сообществе. Это очень просто!
Регистрация нового пользователяВойти
Уже есть аккаунт? Войти в систему.
Войти