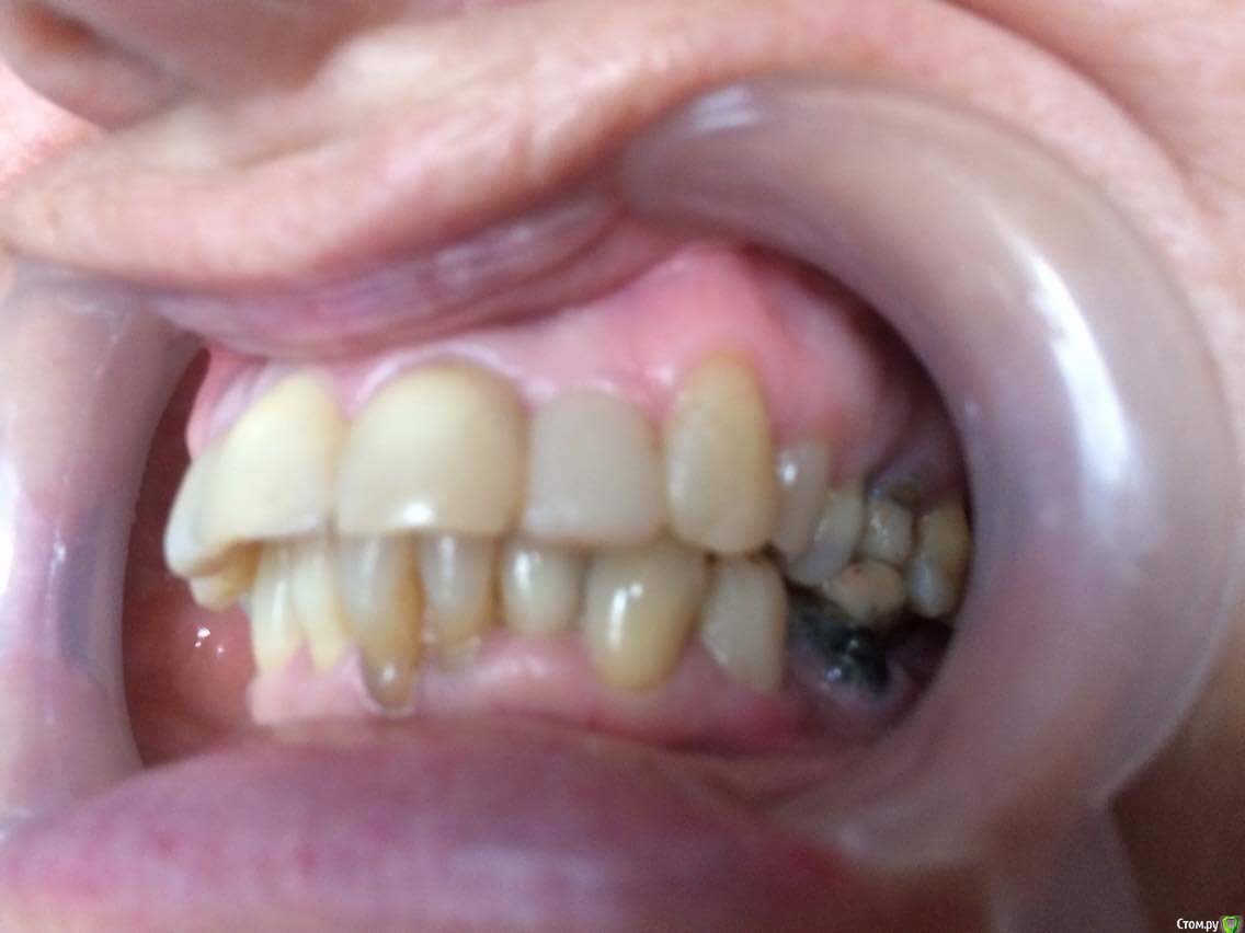
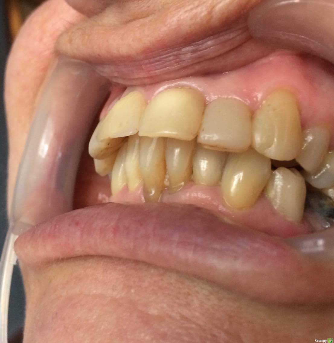
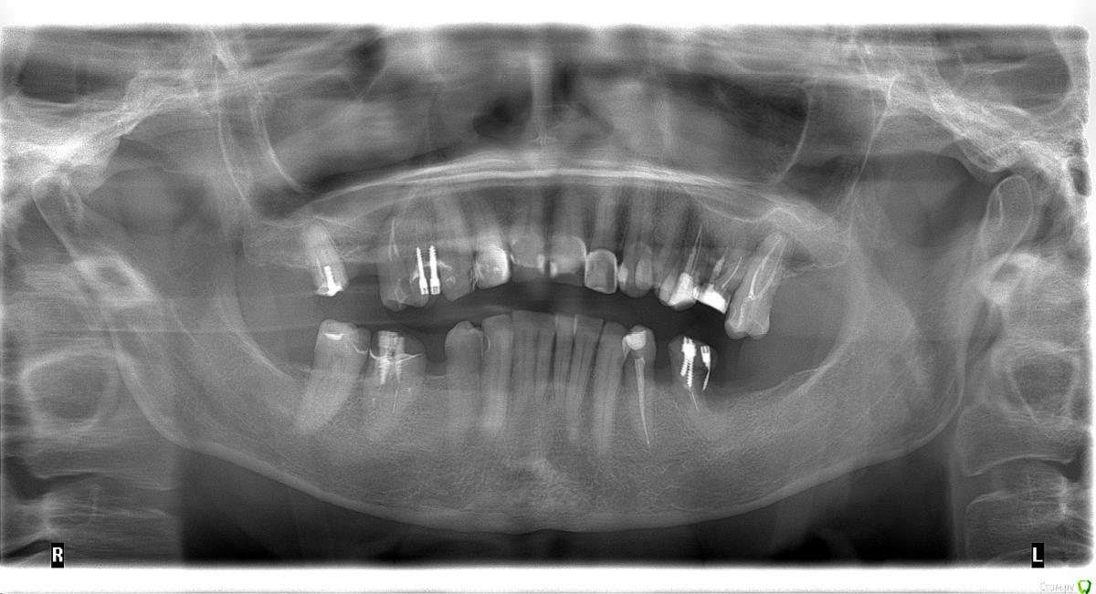
dr.Dre Опубликовано 27 июня, 2017 Поделиться Опубликовано 27 июня, 2017 Добрый день коллеги тему уже создавал но дал мало информации ,пациентка 58 лет .Помогите составить план лечения,имплантацию не потянет .Нужно ли здесь поднимать прикус? Ссылка на комментарий
chervoncevdaniil Опубликовано 27 июня, 2017 Поделиться Опубликовано 27 июня, 2017 (изменено) Док,фотопротокол вам мягко говоря подтянуть надо, боковые вообще не видно.Про имплантацию мы поняли,а остальное?Устраивает ли ее эстетика фронта,или просто хочет чтобы было чем жевать в боковом отделе?Как к съемному протезированию относится,потому что иначе вы 3 сегмент не закроете.Плюс вы же понимаете,что если вы прикус поднимете,то автоматически под коронки/виниры/накладки пойдут все зубы,включая интактный нижний фронт и витальные верх это вы с пациенткой обсудили? Может после этого уже и на имплантацию мотивация появится? Изменено 27 июня, 2017 пользователем chervoncevdaniil Ссылка на комментарий
Aquarius Опубликовано 27 июня, 2017 Поделиться Опубликовано 27 июня, 2017 ТРГ анализ по Риккетсу и Сассуни подскажут , можно и нужно ли поднимать прикус Ссылка на комментарий
chervoncevdaniil Опубликовано 27 июня, 2017 Поделиться Опубликовано 27 июня, 2017 ТРГ анализ по Риккетсу и Сассуни подскажут , можно и нужно ли поднимать прикусЛибо анализ Бродерика без ТРГ,но для этого модели должны быть загипсованы в артикулятор как минимум Ссылка на комментарий
art700 Опубликовано 27 июня, 2017 Поделиться Опубликовано 27 июня, 2017 Либо анализ Бродерика без ТРГ,но для этого модели должны быть загипсованы в артикулятор как минимумЧто за анализ Бродерика? Что-то я не слышал) где почитать?) Ссылка на комментарий
chervoncevdaniil Опубликовано 27 июня, 2017 Поделиться Опубликовано 27 июня, 2017 (изменено) На курсе у Рыбалка рассказывал и показывал,на пальцах сложно объяснить.Нужен артикулятор по камперу либо по эстетической плоскости(Каво или Гирбах,франкфуртская плоскость не подойдет),и модели загипсованные по лицевой дуге.Там с помощью нехитрых расчетов можно идеальную плоскость для пациента провести и при этом увидеть какие зубы выше,а какие ниже ее,чтобы понять как корректировать.Это показать 5 минут,но объяснить доходчиво без артикулятора нереально Изменено 27 июня, 2017 пользователем chervoncevdaniil 1 Ссылка на комментарий
dr.Dre Опубликовано 27 июня, 2017 Автор Поделиться Опубликовано 27 июня, 2017 Док,фотопротокол вам мягко говоря подтянуть надо, боковые вообще не видно.Про имплантацию мы поняли,а остальное?Устраивает ли ее эстетика фронта,или просто хочет чтобы было чем жевать в боковом отделе?Как к съемному протезированию относится,потому что иначе вы 3 сегмент не закроете.Плюс вы же понимаете,что если вы прикус поднимете,то автоматически под коронки/виниры/накладки пойдут все зубы,включая интактный нижний фронт и витальные верх это вы с пациенткой обсудили? Может после этого уже и на имплантацию мотивация появится?Эстетика не устраивает,пациент хочет все делать полностью ,к сьемному относиться отрицательно.Хочет ровные красивые зубы Ссылка на комментарий
chervoncevdaniil Опубликовано 27 июня, 2017 Поделиться Опубликовано 27 июня, 2017 (изменено) Ну в таком случае я не знаю как вы будете низ боковые сегменты протезировать,но 36 однозначно под удаление,26 и 27 в связи с деформацией плоскости видимо тоже придется,47 и 17 под вопросом и у нее получаются концевые дефекты.Опять же повторюсь,очень плохо видно что в боковом отделе,но настолько прикус вы навряд ли поднимете,чтобы и боковые зубы остались и при этом фронт не получился как у лошади,потому что по размерам резцы и клыки абсолютно нормальные Изменено 27 июня, 2017 пользователем chervoncevdaniil Ссылка на комментарий
ivan26 Опубликовано 28 сентября, 2018 Поделиться Опубликовано 28 сентября, 2018 На курсе у Рыбалка рассказывал и показывал,на пальцах сложно объяснить.Нужен артикулятор по камперу либо по эстетической плоскости(Каво или Гирбах,франкфуртская плоскость не подойдет),и модели загипсованные по лицевой дуге.Там с помощью нехитрых расчетов можно идеальную плоскость для пациента провести и при этом увидеть какие зубы выше,а какие ниже ее,чтобы понять как корректировать.Это показать 5 минут,но объяснить доходчиво без артикулятора нереальноДаниил, эстетическая она же физиоджикал или горизонт? Ссылка на комментарий
chervoncevdaniil Опубликовано 28 сентября, 2018 Поделиться Опубликовано 28 сентября, 2018 Даниил, эстетическая она же физиоджикал или горизонт?Что для вас будет являться горизонтом в боковом отделе? Ссылка на комментарий
ivan26 Опубликовано 8 октября, 2018 Поделиться Опубликовано 8 октября, 2018 Зубы в боковых отделах ставятся по кемперовской горизонтали, поправьте меня, если я не прав. Ссылка на комментарий
Рекомендуемые сообщения
Для публикации сообщений создайте учётную запись или авторизуйтесь
Вы должны быть пользователем, чтобы оставить комментарий
Создать аккаунт
Зарегистрируйте новый аккаунт в нашем сообществе. Это очень просто!
Регистрация нового пользователяВойти
Уже есть аккаунт? Войти в систему.
Войти