dr.Dre Опубликовано 23 июня, 2017 Поделиться Опубликовано 23 июня, 2017 Добрый день коллеги ,16 зуб долго мучался так и не нашел вход в канал, работал под микроскопом поделитесь опытом как выйти из ситуации ? Ссылка на комментарий
Fibez Опубликовано 23 июня, 2017 Поделиться Опубликовано 23 июня, 2017 красить пробовали? Ссылка на комментарий
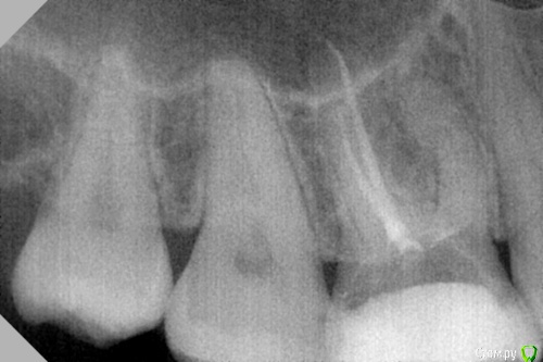
vse32 Опубликовано 23 июня, 2017 Поделиться Опубликовано 23 июня, 2017 Если верить контурам на снимке, то, возможно, не там ищите. Сместитесь чуть центральнее. А может и чуть глубже копнуть нужно. Ссылка на комментарий
parallax Опубликовано 23 июня, 2017 Поделиться Опубликовано 23 июня, 2017 Мне кажется, нужно сместиться чуть медиальнее. И да, чуть глубже. Ссылка на комментарий
dr.Dre Опубликовано 24 июня, 2017 Автор Поделиться Опубликовано 24 июня, 2017 красить пробовали?нет Ссылка на комментарий
dr.Dre Опубликовано 24 июня, 2017 Автор Поделиться Опубликовано 24 июня, 2017 Если верить контурам на снимке, то, возможно, не там ищите. Сместитесь чуть центральнее. А может и чуть глубже копнуть нужно.попробую Ссылка на комментарий
dr.Dre Опубликовано 24 июня, 2017 Автор Поделиться Опубликовано 24 июня, 2017 Если верить контурам на снимке, то, возможно, не там ищите. Сместитесь чуть центральнее. А может и чуть глубже копнуть нужно.А вы какой насадкой скейлера вскрываете устья? Ссылка на комментарий
vse32 Опубликовано 24 июня, 2017 Поделиться Опубликовано 24 июня, 2017 Я Р1, но есть кто любит Р3. Ссылка на комментарий
Паращук Роман Опубликовано 24 июня, 2017 Поделиться Опубликовано 24 июня, 2017 протравить,смыть,искать разницу цветов,красить маркером,залить хлорку-искать бульбашки.ПиСи: очень много вопросов по энло у Вас.В Виннице суперский центр по обучению. По эндо отличный состав лекторов и главное все на маникенах/людях и в скоп. Вам стоит туда поехать. Ссылка на комментарий
dr.Dre Опубликовано 24 июня, 2017 Автор Поделиться Опубликовано 24 июня, 2017 протравить,смыть,искать разницу цветов,красить маркером,залить хлорку-искать бульбашки.ПиСи: очень много вопросов по энло у Вас.В Виннице суперский центр по обучению. По эндо отличный состав лекторов и главное все на маникенах/людях и в скоп. Вам стоит туда поехать спасибо по возможности поеду Ссылка на комментарий
St. Опубликовано 24 июня, 2017 Поделиться Опубликовано 24 июня, 2017 А что за такой хороший центр в Виннице? И они базовые курсы читают или не только? Ссылка на комментарий
Паращук Роман Опубликовано 25 июня, 2017 Поделиться Опубликовано 25 июня, 2017 А что за такой хороший центр в Виннице? И они базовые курсы читают или не только?И базовые,и не только. Нагуглите дентл эдюкейшн клиник г.Винница. 2 Ссылка на комментарий
St. Опубликовано 25 июня, 2017 Поделиться Опубликовано 25 июня, 2017 спасибо. Буду иметь ввиду Ссылка на комментарий
Рекомендуемые сообщения
Для публикации сообщений создайте учётную запись или авторизуйтесь
Вы должны быть пользователем, чтобы оставить комментарий
Создать аккаунт
Зарегистрируйте новый аккаунт в нашем сообществе. Это очень просто!
Регистрация нового пользователяВойти
Уже есть аккаунт? Войти в систему.
Войти