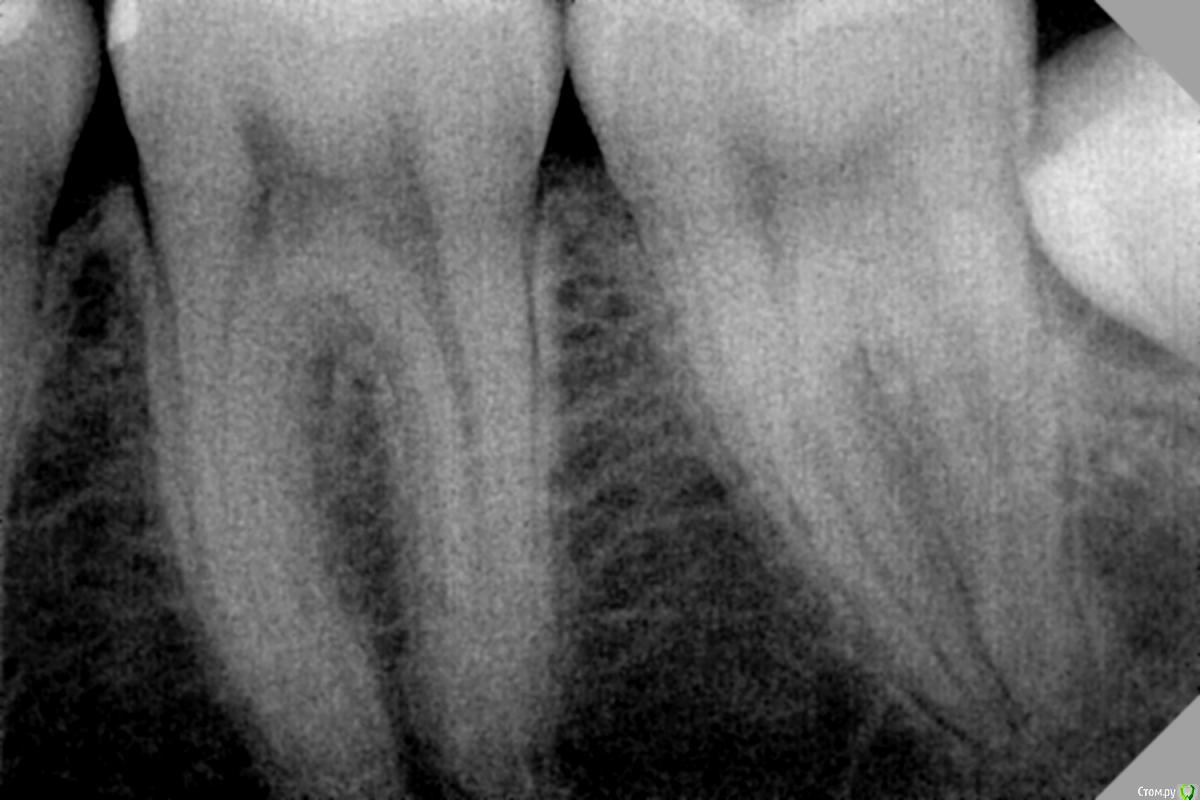
dr.Dre Опубликовано 19 июня, 2017 Поделиться Опубликовано 19 июня, 2017 Добрый день ,пациентка 21 год жалобы на легкую боль на 7 зуб при перкусии на медиальные бугорки может быть причини в 8? Ссылка на комментарий
vse32 Опубликовано 19 июня, 2017 Поделиться Опубликовано 19 июня, 2017 Запросто. Удаляйте 38. 2 Ссылка на комментарий
red_butler Опубликовано 20 июня, 2017 Поделиться Опубликовано 20 июня, 2017 +1, отправляйте мудрость в зубной ад Ссылка на комментарий
Kolchanov Опубликовано 20 июня, 2017 Поделиться Опубликовано 20 июня, 2017 (изменено) А я бы не суетился. Оценил бы состояние в области этого 8го зуба, если есть признаки воспаления, попромывать там хлоргексидинчиком, метрогильчик, и, когда, все успокоится, удалить.Прикиньте ситуацию. Пациент пришел с легкой болью (а у девушек часто бывает, что что-то ноет. Спрашиваешь, по 10и бальной шкале сколько бы дали? - Ну, 1-2....), а вы ему устроите боль уже не лёгкую. Изменено 20 июня, 2017 пользователем Kolchanov 1 Ссылка на комментарий
dr.Dre Опубликовано 20 июня, 2017 Автор Поделиться Опубликовано 20 июня, 2017 Всем спасибо за советы Ссылка на комментарий
AndyAndy Опубликовано 20 июня, 2017 Поделиться Опубликовано 20 июня, 2017 Я б не ждал. Ведь удалять придётся все равно, так что сейчас поболит или потом... а после промываний боль уйдёт и пациент вообще потеряется, "до следующих болей" Ссылка на комментарий
Kolchanov Опубликовано 20 июня, 2017 Поделиться Опубликовано 20 июня, 2017 Потеряется - не ваша проблема. Зато потом, когда появится, вы будете весь в белом, ведь вы же предупреждали. А вот если сразу начать махать шашкой, то у вас уже будет роль инквизитора, ведь болеть будет. Либо вы гипнотизер и доверие пациентов к вам безгранично. Здесь первичный пациент, жалуется на что непонятно, а тут ей раз, щас, удалю и все супер, а может и не супер, а может совсем не супер, но удалять надо. Тараписа не надо Ссылка на комментарий
vse32 Опубликовано 20 июня, 2017 Поделиться Опубликовано 20 июня, 2017 Хорошо. Такая ситуация. Пациентка жалуется на боли. Доктор сообщает, что причина в восьмом зубе. Пациентка предлагает "драть" его "не дожидаясь перитонита", т. е. прямо сейчас. Как здесь будете белым и пушистым оставаться? Ссылка на комментарий
Kolchanov Опубликовано 20 июня, 2017 Поделиться Опубликовано 20 июня, 2017 Тут все ОК. Надо смотреть только на интенсивность болей и выраженность воспалительного процесса. Есть мнение, что лучше все же не удалять при активном течении процесса. Все до меня проголосовали за удаление восьмерки основываясь на чём? На том, что видать ее уголок? Ссылка на комментарий
vse32 Опубликовано 20 июня, 2017 Поделиться Опубликовано 20 июня, 2017 Есть мнение, что лучше все же не удалять при активном течении процесса. Абсолютно согласна, особенно на счет восьмерок. Все до меня проголосовали за удаление восьмерки основываясь на чём? На том, что видать ее уголок? А разве и так не видно, что есть дистопия 38, карман, и риск возникновения резорбции давления у 37?38 зуб представляет угрозу для 37 и будет постоянно доставлять дискомфорт или боли хозяину. Ссылка на комментарий
Kolchanov Опубликовано 20 июня, 2017 Поделиться Опубликовано 20 июня, 2017 А я не против, даже за. Но вы уверены, что тут виновата именно она? И если она, то надо ее сразу чик-чирик? Ссылка на комментарий
vse32 Опубликовано 20 июня, 2017 Поделиться Опубликовано 20 июня, 2017 Сразу и не обязательно, лучше убедиться, что нет воспалительных явлений в активной фазе.Но если удалить 38, то еще пару недель можно списывать все боли на удаление. А там, глядишь и пройдет/забудется все. Хотя другой причины боли я особо не вижу. Если только не кусок "мсяо" между 36 и 37 периодонт травмировал. Но и это за пару недель пройдет. Ссылка на комментарий
Saechka09 Опубликовано 21 июня, 2017 Поделиться Опубликовано 21 июня, 2017 Согласна. А еще прибавить карман у коронки 38, да нечто, напоминающее поражение твердых тканей на 37 в месте, где его восьмой ковыряет.... я бы удаляла Ссылка на комментарий
TessGlory Опубликовано 26 июня, 2017 Поделиться Опубликовано 26 июня, 2017 Но если удалить 38, то еще пару недель можно списывать все боли на удаление. Пару неделек активных болей, а потом еще пару-тройку месяцев - боли от холодного/сладкого и т.д. Потому что удаление травматичное у таких восьмых и корень седьмого оголиться - будет реагировать. Раньше не верила, пока не попробовала на себе. Ссылка на комментарий
vse32 Опубликовано 26 июня, 2017 Поделиться Опубликовано 26 июня, 2017 Нет. Ну однозначно лучше потом удалить сразу оба зуба. Один с резорбцией, и лежачую восьмерку. Зато на сладкое никто не будет реагировать. ((( Ссылка на комментарий
Kolchanov Опубликовано 26 июня, 2017 Поделиться Опубликовано 26 июня, 2017 Кариес - да, а резорбции.... Ну покажите хоть десяток личных наблюдений, хоть пяток. А то с ваших слов начинает казаться, что они сплошь и рядом резорбции эти. Ссылка на комментарий
vse32 Опубликовано 26 июня, 2017 Поделиться Опубликовано 26 июня, 2017 С сегодняшнего дня начну собирать. Единственное, что хочу сказать - случаев резорбции давления пяток точно видела и сама удаляла. Но не документировала и не подшивала. Так что Вам придется мне поверить на слово. Или не поверить. Доказать не могу. Я в свое время большую работу по резорбциям делала. Так вот после этого, они мне через-чур часто стали встречаться. А до этого, одни кариесы были. Это то что у меня есть с лохматого 2006.http://s018.radikal.ru/i512/1706/81/71fcaf682f98.jpg http://s019.radikal.ru/i624/1706/25/6848056dd724.jpg Гемисецированный корень 37 с резорбцией. http://s02.radikal.ru/i175/1706/4e/77ffc98c0546.jpg Здесь больше идиопатическая. http://s009.radikal.ru/i310/1706/b7/34aa012f51f8.jpg А это второпях надергала из интернета. http://ortofil.ru/images/7-8.jpg http://medspravochnik911.ru/images/zub-mudrosti/chto-delat-kogda-zub-mudrosti-rezhetsja-i-bolit_7_1.jpeg http://s47.radikal.ru/i117/0903/83/b8fc72f6d932.jpg Ссылка на комментарий
Kolchanov Опубликовано 26 июня, 2017 Поделиться Опубликовано 26 июня, 2017 Я видел только одну, да и то там у пациентки были проблемы аутоиммунного характера. В то время как ретинированные и дистопированные восьмерки вижу чуть не каждый день. Думаю, что резорбция довольно экзотический вариант развития событий. Что называется надо заслужить А вот кариес сплошь и рядом. Ссылка на комментарий
vse32 Опубликовано 26 июня, 2017 Поделиться Опубликовано 26 июня, 2017 По моим наблюдениям. Если кариес - то в восьмом. Да, чаще чем резорбция, но все же. А вот если седьмой - то чаще всего резорбция. Ссылка на комментарий
Паращук Роман Опубликовано 27 июня, 2017 Поделиться Опубликовано 27 июня, 2017 Если есть карман,то это будет кариес, при сохранности кости -резорбция. Видел только раз резорбцию. Ссылка на комментарий
Рекомендуемые сообщения
Для публикации сообщений создайте учётную запись или авторизуйтесь
Вы должны быть пользователем, чтобы оставить комментарий
Создать аккаунт
Зарегистрируйте новый аккаунт в нашем сообществе. Это очень просто!
Регистрация нового пользователяВойти
Уже есть аккаунт? Войти в систему.
Войти