KaLiNa Опубликовано 18 июня, 2017 Поделиться Опубликовано 18 июня, 2017 Уважаемые доктора! Заранее прошу прощения, пишу на эмоциях.Девочка, 8 лет, во время катания на велосипеде, неудачно упала, потеряла 2 резца. Один нашли в траве,целый был, прям с корнем, второй нетПривезли в ЧЛХ на скорой, сказали что зуб уже не нужен, т к прошло много времени(примерно 40 минут), зуб грязный был, сломана надкостница и он все равно не прижевется.Подскажите какие варианты протезирования для нас возможны? Очень хочется дать ребенку возможность полноценно жевать, кусать и улыбаться, она очень общительная, любит петь,,,,как вернуть эту возможность?!! Ссылка на комментарий
St. Опубликовано 18 июня, 2017 Поделиться Опубликовано 18 июня, 2017 Немного странно.. Обычно если в течении первых часов обратились и зуб на месте, то должны "вставить" его на место и временно зашинировать. И дальше уже наблюдать.Я конечно не совсем детский стоматолог, но если зуб не выбросили, то его сейчас в физ раствор( хотя может уже и поздно) и утром в хорошую детскую стоматологию, пусть смотрят на месте какие остались варианты. Рентген снимок обязателен Ссылка на комментарий
KaLiNa Опубликовано 18 июня, 2017 Автор Поделиться Опубликовано 18 июня, 2017 Это произошло 18.06. , около 15 30, с учетом того, что всю ночь зуб был на улице, даже если найдем второй, наверное поздно уже будет утром? Ссылка на комментарий
Doc Опубликовано 18 июня, 2017 Поделиться Опубликовано 18 июня, 2017 Это произошло 18.06. , около 15 30, с учетом того, что всю ночь зуб был на улице, даже если найдем второй, наверное поздно уже будет утром?Да, поздно уже. Идеально первые пару часов, дальше вероятность успешной реплантации уменьшается в геометрической процессии с каждым часом. Обратитесь к ортодонту, они сделают временное протезирование для сохранения места и прикуса, а в более зрелом возрасте будете решать вопросы постоянного протезирования.Зубы точно постоянные? Иногда центральные и в 9 лет прорезываются. Ссылка на комментарий
KaLiNa Опубликовано 18 июня, 2017 Автор Поделиться Опубликовано 18 июня, 2017 Да, это точно...Получается, в данном случае возможна только съемная конструкция? Зубки были само по себе очень крупные, заметные в улыбке, и как мать переживаю что у ребенка в более взрослом возрасте разовьется комплекс по этому поводу Можете что то посоветовать по материалам? Понимаю, что на форуме обычно не дают советы без снимка, но насколько я понимаю, это протез в форме #бабочки# и материал, максимально приближенный к естественному цвету десны? Ссылка на комментарий
Doc Опубликовано 19 июня, 2017 Поделиться Опубликовано 19 июня, 2017 Да, это точно...Получается, в данном случае возможна только съемная конструкция? Зубки были само по себе очень крупные, заметные в улыбке, и как мать переживаю что у ребенка в более взрослом возрасте разовьется комплекс по этому поводу Можете что то посоветовать по материалам? Понимаю, что на форуме обычно не дают советы без снимка, но насколько я понимаю, это протез в форме #бабочки# и материал, максимально приближенный к естественному цвету десны?Размер зубов в течение жизни не меняется, а голова растет, поэтому всегда сначала кажется, что зубы слишком крупные для такого лица. Потом пропорции восстановятся. Дети быстро ко всему привыкают, а к моменту замужества уже все будет постоянное и красивое, если найдете хорошего специалиста. Времени много, успеете. Ортодонт посмотрит и все расскажет. У нас нет никаких данных, чтобы давать советы по работе. Ссылка на комментарий
Kazankov.Egor Опубликовано 20 июня, 2017 Поделиться Опубликовано 20 июня, 2017 Протезирование переднего отдела и беззубая "передняя" часть под съёмным протезом плохая идея:1) ускорите атрофию(уменьшение)костной ткани 2)постоянное протезирование возможно несъемными конструкциями 2-х типов:а) с опорой на собственные зубы (мост); б) с опорой на имплантаты. Оба метода имеют возможность отдаленных проблем. Ссылка на комментарий
KaLiNa Опубликовано 20 июня, 2017 Автор Поделиться Опубликовано 20 июня, 2017 Протезирование переднего отдела и беззубая "передняя" часть под съёмным протезом плохая идея:1) ускорите атрофию(уменьшение)костной ткани 2)постоянное протезирование возможно несъемными конструкциями 2-х типов:а) с опорой на собственные зубы (мост); б) с опорой на имплантаты. Оба метода имеют возможность отдаленных проблем.Добрый день!проблемы у ребенке, о каком мосте идет речь? Уважаемые доктора, внесите ясность пожалуйста Ссылка на комментарий
KaLiNa Опубликовано 21 июня, 2017 Автор Поделиться Опубликовано 21 июня, 2017 Добрый день!проблемы у ребенке, о каком мосте идет речь? Уважаемые доктора, внесите ясность пожалуйстаНеужели никто не ответит??? Ссылка на комментарий
red_butler Опубликовано 21 июня, 2017 Поделиться Опубликовано 21 июня, 2017 Неужели никто не ответит???http://forum.stom.ru/topic/20613-sovety-patcientam-obiazatelno-k-prochteniiu/ Ссылка на комментарий
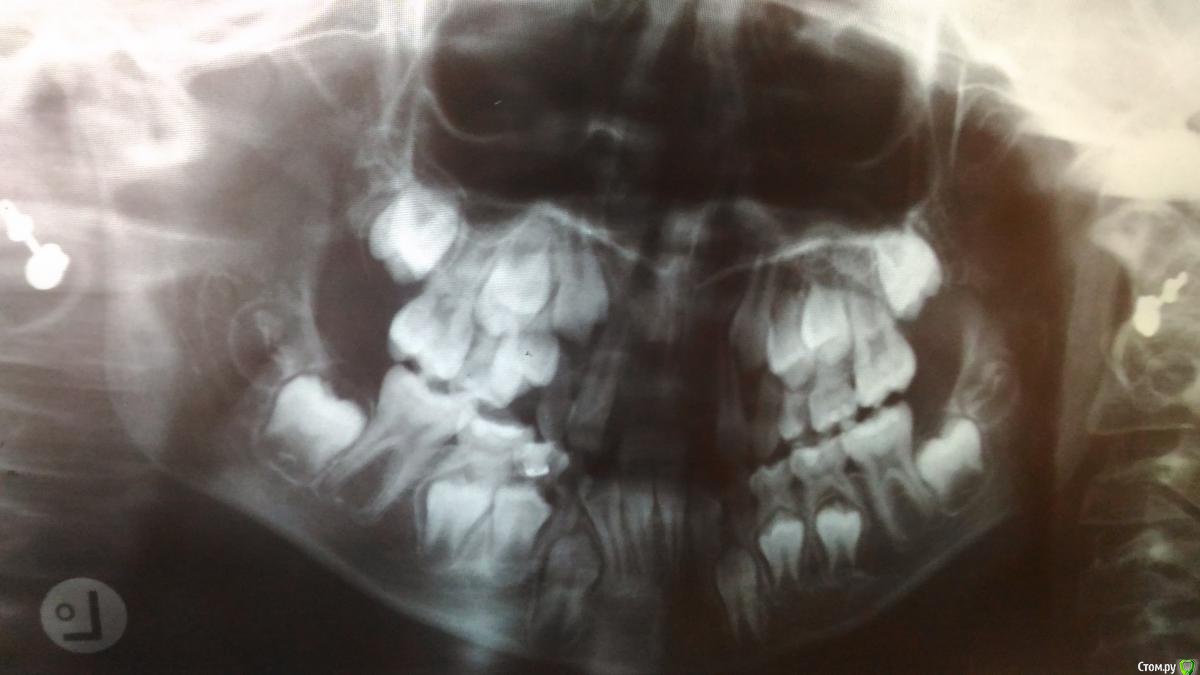
KaLiNa Опубликовано 22 июля, 2017 Автор Поделиться Опубликовано 22 июля, 2017 Уважаемые доктора, добрый вечер! Спустя месяц после травмы ребенку изготовлен ЧСП, выкладываю панорамный снимок и фото, а также фото зубов до травмы(крупные), а в протезе изготовлены гораздо меньше...все ли сделано правильно? Ссылка на комментарий
Bier Опубликовано 24 июля, 2017 Поделиться Опубликовано 24 июля, 2017 еще бы фото девочки с протезом, но вообще все верно. С таким протезом пусть живет до прорезывания всех зубов, потом брекеты ( к брекетам тоже можно имитацию зубов приклеить). Ну и потом уже имплантация. Ссылка на комментарий
KaLiNa Опубликовано 24 июля, 2017 Автор Поделиться Опубликовано 24 июля, 2017 Bier, добрый вечер! Спасибо за ответ., фото с протезом постараюсь выложить позже, пока нет возможности Ссылка на комментарий
Рекомендуемые сообщения
Для публикации сообщений создайте учётную запись или авторизуйтесь
Вы должны быть пользователем, чтобы оставить комментарий
Создать аккаунт
Зарегистрируйте новый аккаунт в нашем сообществе. Это очень просто!
Регистрация нового пользователяВойти
Уже есть аккаунт? Войти в систему.
Войти