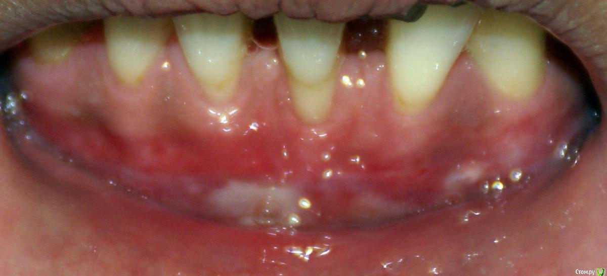
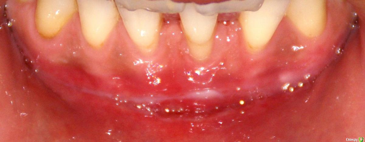
Irina_S Опубликовано 15 июня, 2017 Поделиться Опубликовано 15 июня, 2017 Здравствуйте, уважаемые специалисты! Заранее прошу прощения за не слишком качественные фото! Почти восемь месяцев назад мне была сделана вестибулопластика на нижней челюсти.За пять дней до операции ситуация во рту выглядела так: Для проведения операции были такие показания: Вот ещё описание самой операции, которая была 24 октября 2016 г.: Через шесть дней после операции: Ещё через шесть дней, 5 ноября: Прошла ещё неделя, 12 ноября: Следующий раз фото, к сожалению делалось через три с лишним недели, 4 декабря, в разных ракурсах: После этого визуальные изменения касались только уменьшения белёсых мест от разреза.Вот состояние на 10 июня этого года с разными вариантами оттягивания губы: По результатам заживления я не вижу разницы в глубине преддверия, ради чего и проводилась операция.К тому же всё время с момента операции присутствуют стягивающие ощущения и ощущение инородного тела в подбородке. Ответьте, пожалуйста, правильно ли была сделана операция вестибулопластики?Спасибо за внимание! Ссылка на комментарий
Bier Опубликовано 15 июня, 2017 Поделиться Опубликовано 15 июня, 2017 Здравствуйте! Огромное спасибо за предоставленные фотографии. Существует несколько методик для вестибуло пластики. У вас была выбрана одна из них и она проведена была верно.На мой взгляд у вас не было особых показаний для проведения подобной операции. А если и проводить, то я бы выбрал методику с пересадкой свободного трансплантата с нёба. Прошу учесть, что мое мнение не является экспертным и не может быть использовано для предъявления претензий другим врачам. Ссылка на комментарий
dok1 Опубликовано 15 июня, 2017 Поделиться Опубликовано 15 июня, 2017 (изменено) Пусть глубокого преддверия и не достигли, но тяж центальный убрали. Но и преддверие стало глубже немного. Результат, на мой взгляд, удовлетворительный вплне. Тоже без претендования на абсолютную истину. Изменено 15 июня, 2017 пользователем dok1 Ссылка на комментарий
Irina_S Опубликовано 15 июня, 2017 Автор Поделиться Опубликовано 15 июня, 2017 Спасибо за то, что так быстро ответили! Хотя бы какой-то позитив, что было сделано правильно!Совсем недавно у меня восстановилась дикция, какая была раньше, так как подбородок стал понемногу принимать свою прежнюю форму. Теперь бы ещё избавиться от постоянных неприятных тянущих ощущений. Существуют ли какие-то действенные способы? Мази, лекарства, компрессы? Всё, что угодно.Или подскажите, пожалуйста, к кому можно с этим вопросом обратиться. Какой специалист может осмотреть и индивидуально что-то назначить? Ещё раз спасибо за помощь! Ссылка на комментарий
колесников Опубликовано 15 июня, 2017 Поделиться Опубликовано 15 июня, 2017 По уровню прикреплённой десны ситуация выглядит лучше,стабильнее чем до вмешательства. После вмешательств такого рода часто случаются рецидивы и неудачи,у Вас их нет. Но случаются и побочные "осложнения",в частности у Вас образовались тяжи в области клыков,которых раньше не было. Запргнозировать их оборазование зачастую невозможно. Это мягкие ткани,их можно попробовать "растянуть" или размягчить,делая миогимнастику,(надувая пузырь под губой),если это не поможет,дополнительная пластика по устранению этих тяжей. Ссылка на комментарий
Irina_S Опубликовано 16 июня, 2017 Автор Поделиться Опубликовано 16 июня, 2017 их можно попробовать "растянуть" или размягчить,делая миогимнастику,(надувая пузырь под губой),если это не поможет,дополнительная пластика по устранению этих тяжей. Здравствуйте! Спасибо за ответ! Пузырь я и так постоянно надуваю, и результатов пока никаких. Я правильно поняла, что именно эти тяжи являются причиной моих неприятных ощущений?А пластика по устранению тяжей как или чем делается? Не приведёт ли это к появлению новых рубцов в других местах? Ссылка на комментарий
red_butler Опубликовано 16 июня, 2017 Поделиться Опубликовано 16 июня, 2017 Уважаемая Irina_S, сейчас нужно просто подождать... Ссылка на комментарий
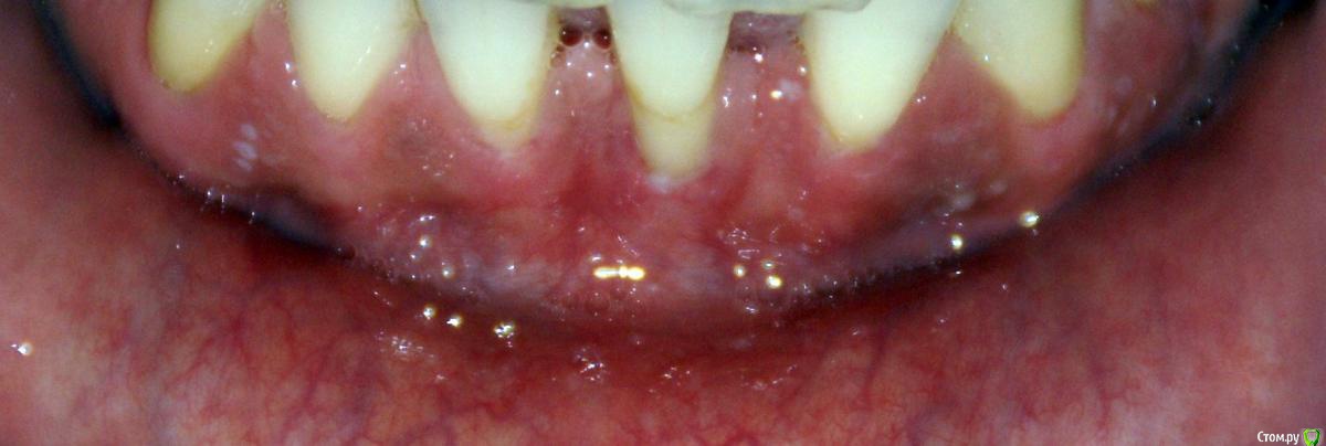
Irina_S Опубликовано 16 июня, 2017 Автор Поделиться Опубликовано 16 июня, 2017 у Вас образовались тяжи в области клыков,которых раньше не было. А можно Вас попросить уточнить, что Вы называете тяжами?Под номером 1, под номером 2 или и то и другое вместе? Ещё вот такая хронология: 24 октября была сделана вестибулопластика, 28-го сняли швы, до 13 ноября я касалась кончиком языка "кармана" в глубине линии разреза, отметила это на фото, чтобы было понятно, о чём речь. 14 ноября проводилась обработка зубов с помощью аппарата Вектор и были заложены саморассасывающиеся лечебные повязки на обе челюсти, в том числе и в этот "карман". В этот день увидела, что "карман" визуально склеился из-за заложенной повязки, и я перестала на несколько дней делать упражнения с надуванием губ и касанием кончиком языка.А потом этот "карман" исчез и в итоге получилась поверхность, обозначенная на первой картинке под номером 3. Вопрос: мне не надо было допускать срастания двух поверхностей слизистой, чтобы этот "карман" остался, или его исчезновение и должно было произойти в процессе заживления? (думаю, что это срастание и вызвало ощущение стягивания и уплотнения внутри подбородка в виде инородного тела) Ссылка на комментарий
Irina_S Опубликовано 16 июня, 2017 Автор Поделиться Опубликовано 16 июня, 2017 Уважаемая Irina_S, сейчас нужно просто подождать... Спасибо за внимание к моей "больной" теме! Подскажите, пожалуйста, есть ли какие-то теоретические сроки для ожидания? Ощущения очень напрягают и не уменьшаются. Я понимаю, что всё индивидуально, но хочется понимать и наступление того периода, когда будет нужно пытаться что-то исправлять, если все ощущения так и останутся без изменений. Ссылка на комментарий
Irina_S Опубликовано 18 июня, 2017 Автор Поделиться Опубликовано 18 июня, 2017 Я, наверно, задаю слишком много вопросов. Но это всё потому, что много непонятного. А врач, которая делала операцию, только две недели контролировала заживление и показала, как внутри массировать пальцами. Больше ничего. Видимо, сочла, что на этом её обязанности заканчиваются. Поэтому и приходится выяснять подробности, задавая вопросы там, где есть специалисты, готовые помочь и поделиться знаниями.Хочу ещё уточнить, в моём случае образовавшиеся тяжи - это то же самое, что келоидные рубцы? Просто в районе клыков они больше похожи именно на рубцы. Можно ли их попытаться убрать лазерным шлифованием? Ссылка на комментарий
Bier Опубликовано 19 июня, 2017 Поделиться Опубликовано 19 июня, 2017 келоидных рубцов на слизистой не бывает, успокойтесь. Ссылка на комментарий
red_butler Опубликовано 19 июня, 2017 Поделиться Опубликовано 19 июня, 2017 Можно ли их попытаться убрать лазерным шлифованием? не стоит Ссылка на комментарий
Irina_S Опубликовано 19 июня, 2017 Автор Поделиться Опубликовано 19 июня, 2017 келоидных рубцов на слизистой не бывает, успокойтесь. Хорошо, пусть будут просто какие-то рубцы. Я хочу понять, фрагменты под номерами 1 и 2 - это части одного длинного тяжа, которые выглядят по-разному, потому что находятся в разных местах, или это вообще разные образования, и тяж - это только номер 2? Ссылка на комментарий
Irina_S Опубликовано 19 июня, 2017 Автор Поделиться Опубликовано 19 июня, 2017 не стоит А что тогда будет эффективно? Переделывать подобной операцией? Я не могу просто ждать и ничего не делать. Вы тоже не можете дать конкретного ответа по сроку ожидания, а такая неизвестность для психики хуже всего. Ссылка на комментарий
red_butler Опубликовано 19 июня, 2017 Поделиться Опубликовано 19 июня, 2017 А что тогда будет эффективно? Переделывать подобной операцией? Я не могу просто ждать и ничего не делать. Вы тоже не можете дать конкретного ответа по сроку ожидания, а такая неизвестность для психики хуже всего.ждать около года Ссылка на комментарий
Irina_S Опубликовано 19 июня, 2017 Автор Поделиться Опубликовано 19 июня, 2017 ждать около года Спасибо за ответ!А если ничего так и не изменится - тогда снова аналогичная операция для коррекции? Какие-то токи, ультразвуки, мази или что там ещё бывает могут ускорить исчезновение тянущих ощущений? Ссылка на комментарий
Irina_S Опубликовано 21 июня, 2017 Автор Поделиться Опубликовано 21 июня, 2017 Уважаемые специалисты! Подскажите, пожалуйста, какой метод был использован при проведении моей операции? А то в моей карточке ничего не написано. Ссылка на комментарий
dok1 Опубликовано 21 июня, 2017 Поделиться Опубликовано 21 июня, 2017 Вопросы подобного плана нужно задавать своему доктору. 1 Ссылка на комментарий
Irina_S Опубликовано 21 июня, 2017 Автор Поделиться Опубликовано 21 июня, 2017 Вопросы подобного плана нужно задавать своему доктору. А что делать, если доктор более не доступен? По фото определить нельзя? Ссылка на комментарий
dok1 Опубликовано 21 июня, 2017 Поделиться Опубликовано 21 июня, 2017 Непонятно что вы хотите. Вестибуло пламтика - есть вестибуло рластика. Вам в тонкостях зачем разбтэираться? Тем более,что иетода одна - увеличить объём пространства. Каждый хирург вносит что-то своё. И авторству нет предела. Ссылка на комментарий
Irina_S Опубликовано 21 июня, 2017 Автор Поделиться Опубликовано 21 июня, 2017 Непонятно что вы хотите. Вестибуло пламтика - есть вестибуло рластика. Вам в тонкостях зачем разбтэираться? Тем более,что иетода одна - увеличить объём пространства. Каждый хирург вносит что-то своё. И авторству нет предела. Мне хочется понять, была бы другая картина с осложнениями в виде появившихся тяжей и непрекращающихся неприятных ощущений, если бы был выбран другой метод? Просто по фото до и после я разницы в углублении не вижу вообще, за исключением отсутствия уздечки, а ведь операция делалась якобы именно для избавления от "мелкого" преддверия, если оно действительно было такое. А уздечку ведь можно было удалить гораздо менее травматично. разве нет? Ссылка на комментарий
dok1 Опубликовано 22 июня, 2017 Поделиться Опубликовано 22 июня, 2017 Преддверие увеличилось достаточно. Обширное вмешательство редко проходит бесследно. Время всё лечит. Ссылка на комментарий
red_butler Опубликовано 22 июня, 2017 Поделиться Опубликовано 22 июня, 2017 Irina_S, какая цель Вашей темы???Вам уже ответили, что в рамках проведенного вмешательства все сделано правильно, результат есть, то что вас беспокоит не является осложнением, а сопутствует данное вмешательство. Ссылка на комментарий
Irina_S Опубликовано 22 июня, 2017 Автор Поделиться Опубликовано 22 июня, 2017 Irina_S, какая цель Вашей темы???Вам уже ответили, что в рамках проведенного вмешательства все сделано правильно, результат есть, то что вас беспокоит не является осложнением, а сопутствует данное вмешательство. При многих звуках, в частности "б", "п", "о", "у", у меня выраженная физическая боль. Ухудшилась дикция в целом. Что-то в районе подбородка напрягается и не даёт безболезненно говорить. Никаких послеоперационных комментариев по этому поводу и по срокам дискомфорта мне не говорили. Поэтому я пытаюсь сама разобраться, понять, каким образом можно исправить ситуацию. Динамики никакой нет. Считать присутствующие ощущения нормальными не могу. Изменилась форма подбородка - об этом тоже никто не предупреждал. Вот и хочу получить информацию, должно ли вообще так быть, когда всё восстановится, и что можно делать, чтобы помочь себе в этой ситуации. Ссылка на комментарий
dok1 Опубликовано 22 июня, 2017 Поделиться Опубликовано 22 июня, 2017 Только гимнастика. Массажи. Рубци до года бывают неэластичны. Ссылка на комментарий
Рекомендуемые сообщения
Для публикации сообщений создайте учётную запись или авторизуйтесь
Вы должны быть пользователем, чтобы оставить комментарий
Создать аккаунт
Зарегистрируйте новый аккаунт в нашем сообществе. Это очень просто!
Регистрация нового пользователяВойти
Уже есть аккаунт? Войти в систему.
Войти