Sergiosse Опубликовано 10 июня, 2017 Поделиться Опубликовано 10 июня, 2017 (изменено) Первый раз делал с приглашенным коллегой, в этот раз сам.Графт церабон 1гр смешал с плазмой и нарезаным сгустком А ПРФ. Хотел делать микст, набрав джейлом ауто с бугра, не получилось, кость как пенопласт. Окно закрыл мембраной АПРФ. Дистальный имплант вкрутил с торком 10 Н\см. Скажу ортопеду чтобы соединил в блок 6 и 7 коронки.Хотелось бы комментариев от опытных коллег все ли сделал правильно? Изменено 10 июня, 2017 пользователем Sergiosse Ссылка на комментарий
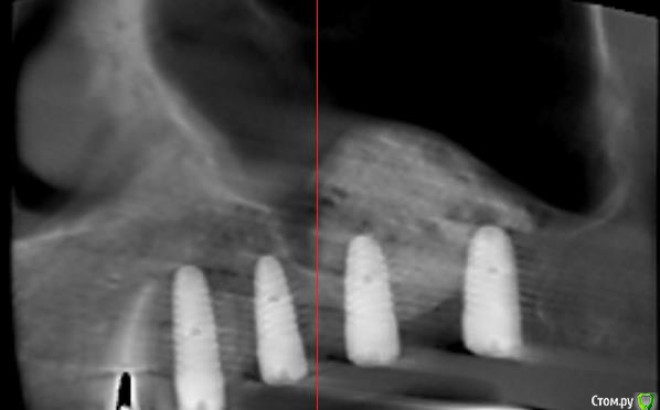
TIGER Опубликовано 10 июня, 2017 Поделиться Опубликовано 10 июня, 2017 сегодня набравшись опыта....обошёлся бы без синуса мост на 3 имплантах 11 Ссылка на комментарий
Тимур86 Опубликовано 10 июня, 2017 Поделиться Опубликовано 10 июня, 2017 сегодня набравшись опыта....обошёлся бы без синуса мост на 3 имплантах соглашусь.четвертый-лишний Ссылка на комментарий
Sergiosse Опубликовано 12 июня, 2017 Автор Поделиться Опубликовано 12 июня, 2017 Коллеги,вы бы не ставили 26 , и сделали мостовидный протез с опорой на 14 15 И 17 имплантанты? Какой долгосрочный прогноз выживаемости такой конструкции? Я отказался от этого варианта,так как Кость в обл. 27 мягкая как пенопласт,торк 10Н/см. Считаю ,что рискованно использовать его как опору в мостовидном протезе,и планирую его шинировать с 26, чтобы минимизировать риск перегрузки. К. Миш рекомендуют для Кости 4 класса перед постоянным протезированием ,в течение 4 месяцев давать прогрессивную нагрузку на временных коронках. Ссылка на комментарий
dok1 Опубликовано 12 июня, 2017 Поделиться Опубликовано 12 июня, 2017 После имплантации кость становится плотнее. Травма провоцирует уплотнение Ссылка на комментарий
Bier Опубликовано 12 июня, 2017 Поделиться Опубликовано 12 июня, 2017 Джейл предназначен для забора кортикальной кости. С бугра вы им ничего не возьмете. Там надо было трепаном работать. Ссылка на комментарий
Iv_serg Опубликовано 14 июня, 2017 Поделиться Опубликовано 14 июня, 2017 (изменено) Джейл предназначен для забора кортикальной кости. С бугра вы им ничего не возьмете. Там надо было трепаном работать.Трепан агрессивненько работает! При ОСЛ в пазуху бы не влететь, а там перфа со всеми вытекающими?! Старший коллега долотцом аккуратненько сбивает бугор, через мельницу либо целиком в пазуху. Изменено 14 июня, 2017 пользователем Iv_serg Ссылка на комментарий
Рекомендуемые сообщения
Для публикации сообщений создайте учётную запись или авторизуйтесь
Вы должны быть пользователем, чтобы оставить комментарий
Создать аккаунт
Зарегистрируйте новый аккаунт в нашем сообществе. Это очень просто!
Регистрация нового пользователяВойти
Уже есть аккаунт? Войти в систему.
Войти