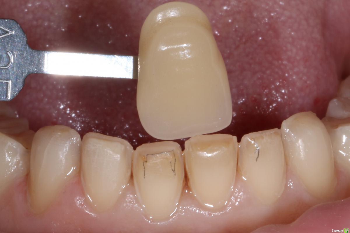
TonyVe4er Опубликовано 1 июня, 2017 Поделиться Опубликовано 1 июня, 2017 Доброго дня уважаемым коллегам!Нужна помощь в осмыслении...Уже не первый раз при фиксации виниры начинают толкаться, фиксирую от центра и дистально, пробовал зубы расклинивать не помогает (при примерке на пасту все на своих местах). В последней работе контакты полностью не раскрывал, мб ошибка в этом?Куда смотреть? Ссылка на комментарий
AndyAndy Опубликовано 1 июня, 2017 Поделиться Опубликовано 1 июня, 2017 (изменено) Тут нюансы. По одному фиксируете или попарно? На примерке на пасте может быть и не видно, на своих или они местах, паста замазывает швы хорошо. Но я думаю - ищите проблему в контактных пунктах на винирах, сам сталкиваюсь с таким иногда. Техники любят, когда все плотно... Изменено 1 июня, 2017 пользователем AndyAndy Ссылка на комментарий
bakagaidzin Опубликовано 1 июня, 2017 Поделиться Опубликовано 1 июня, 2017 это нормально,толщина цемента при фиксации накапливается,и последние виниры не лезут.фиксируйте от центра по направлению к периферии,у крайних апрокималки подгоняйте фольгой 8 микрон и резинкой для керамики Ссылка на комментарий
bakagaidzin Опубликовано 1 июня, 2017 Поделиться Опубликовано 1 июня, 2017 предварительно только на контрольной модели контакты проверьте,тут еще может играть тот фактор что кофферам стягивает зубы немного,можно немного расклинить,после фиксации и снятия все должно быть нормально Ссылка на комментарий
suballex Опубликовано 1 июня, 2017 Поделиться Опубликовано 1 июня, 2017 Доброго дня уважаемым коллегам!Нужна помощь в осмыслении...Уже не первый раз при фиксации виниры начинают толкаться, фиксирую от центра и дистально, пробовал зубы расклинивать не помогает (при примерке на пасту все на своих местах). В последней работе контакты полностью не раскрывал, мб ошибка в этом?Куда смотреть? Смотрите на апроксималки крайних виниров, которые фиксируются в последнюю очередь. Как уже сказали, погрешность накопится, к моменту их фиксации. И если удастся их впихнуть, не сломав, без коррекции - зубки поедут куда попало. Ссылка на комментарий
TonyVe4er Опубликовано 1 июня, 2017 Автор Поделиться Опубликовано 1 июня, 2017 В целом так и делаю, не зафиксировал ни одной работы виниров более 4-х штук подряд без коррекции...П.С. попарно клеить мне страшно, клею по одному, расход мульитилинка безумный.... Кто-нибудь для себя проводил влияние формирования границы препа в проксималках на точность посадки?типа раскрываем полностью и тогда проблем меньше например? Ссылка на комментарий
bakagaidzin Опубликовано 1 июня, 2017 Поделиться Опубликовано 1 июня, 2017 лучше полностью раскрыть.мультилинк не лучший выбор для виниров Ссылка на комментарий
DR.P Опубликовано 1 июня, 2017 Поделиться Опубликовано 1 июня, 2017 (изменено) По теме вопроса могу сказать тезисно основное, Может быть вас это натолкнет на то, в чем может быть причина: 1) только одномоментный оттиск, контрольная мастер модель!!!2) чаще с раскрытием апроксимальных пунктов, если нет, то сепарируем штрипсами, чтобы получить пленку коррегира и техник не распиливал культи сепарационным диском.3) примерка без коффердама (коффердам платки хард могут дать эффект стягивания) Соответственно выполнив 3 пункта верно, вы получите тоже самое, что и на контрольной мастер модели. Дальше, думаю, уже все очевидно Изменено 1 июня, 2017 пользователем DR.P Ссылка на комментарий
igorlx Опубликовано 2 июня, 2017 Поделиться Опубликовано 2 июня, 2017 Да, только по пункту два, при сепарации штрипсами (если мы это делаем тонко) получаем оторванные или как минимум деформированные межзубные пространства. Просто они треугольные (по анатомии) или как минимум имеют расширение к десневой части, а к экватору или режущему краю сходят на нет. Техник зачастую имеет неточность не только в виде полуоторванного контакта, но и полурастяннутой вестибулярной(ближе к контактной) поверхности винира. Соответственно, надо рассепарировать штрипсами достаточно широко и это только начало проблемы, поскольку при сдаче виниров оказывается,что технику надо рассеперированный контакт закрыть границами сразу двух виниров. имхо. Ссылка на комментарий
TonyVe4er Опубликовано 2 июня, 2017 Автор Поделиться Опубликовано 2 июня, 2017 По теме вопроса могу сказать тезисно основное, Может быть вас это натолкнет на то, в чем может быть причина:1) только одномоментный оттиск, контрольная мастер модель!!!2) чаще с раскрытием апроксимальных пунктов, если нет, то сепарируем штрипсами, чтобы получить пленку коррегира и техник не распиливал культи сепарационным диском.3) примерка без коффердама (коффердам платки хард могут дать эффект стягивания)Соответственно выполнив 3 пункта верно, вы получите тоже самое, что и на контрольной мастер модели. Дальше, думаю, уже все очевидно Всё три пункта учтены во всех работах, в последней раскрывал штрипсами... зауступные простанства все остались в оттиск, а не во рту... Ссылка на комментарий
TonyVe4er Опубликовано 2 июня, 2017 Автор Поделиться Опубликовано 2 июня, 2017 лучше полностью раскрыть.мультилинк не лучший выбор для винировАргументация не будет лишней (про мультилинк) ))Что используете в работе разогретый композит? Ссылка на комментарий
bakagaidzin Опубликовано 2 июня, 2017 Поделиться Опубликовано 2 июня, 2017 Аргументация не будет лишней (про мультилинк) ))Что используете в работе разогретый композитлюбой цемент двойного отверждения штука нестабильная в плане цвета.есть хорошо зарекомендовавшие себя цементы типа Variolink Veneer,NX3,Choice 2 Ссылка на комментарий
DR.P Опубликовано 2 июня, 2017 Поделиться Опубликовано 2 июня, 2017 Да, только по пункту два, при сепарации штрипсами (если мы это делаем тонко) получаем оторванные или как минимум деформированные межзубные пространства. Просто они треугольные (по анатомии) или как минимум имеют расширение к десневой части, а к экватору или режущему краю сходят на нет. Техник зачастую имеет неточность не только в виде полуоторванного контакта, но и полурастяннутой вестибулярной(ближе к контактной) поверхности винира. Соответственно, надо рассепарировать штрипсами достаточно широко и это только начало проблемы, поскольку при сдаче виниров оказывается,что технику надо рассеперированный контакт закрыть границами сразу двух виниров. имхо.Я почти всегда раскрываю контакты. Если не хотите этого делать, расскажу про еще один способ: перед оттиском отрезаете квадраты металической матрицы в рулоне. Позиционируете между зубами, уголки можно загнуть под 90 градусов. И снимаете оттиск. Они переходят в него и никаких проблем но лучше переходите на раскрытие контактов, так вы переносите границу винир-зуб палатинаоьно - это лучше для полировки и самоочищения стыка Ссылка на комментарий
DR.P Опубликовано 2 июня, 2017 Поделиться Опубликовано 2 июня, 2017 Уже не первый раз при фиксации виниры начинают толкаться, фиксирую от центра и дистально, пробовал зубы расклинивать не помогает (при примерке на пасту все на своих местах).Куда смотреть? Значит во время фиксации "пары" или 1 винира не до конца убираете излишки фиксирующего материала. Соседние зубы я всегда защищаю тефлоном. После фиксации все вычищаю скальпелем. Даже тонкая пленка бонда может стать причиной нехватки места по апроксималкам Ссылка на комментарий
TonyVe4er Опубликовано 3 июня, 2017 Автор Поделиться Опубликовано 3 июня, 2017 любой цемент двойного отверждения штука нестабильная в плане цвета.есть хорошо зарекомендовавшие себя цементы типа Variolink Veneer,NX3,Choice 2Понял спасибо) Ссылка на комментарий
TonyVe4er Опубликовано 3 июня, 2017 Автор Поделиться Опубликовано 3 июня, 2017 Я почти всегда раскрываю контакты. Если не хотите этого делать, расскажу про еще один способ: перед оттиском отрезаете квадраты металической матрицы в рулоне. Позиционируете между зубами, уголки можно загнуть под 90 градусов. И снимаете оттиск. Они переходят в него и никаких проблем но лучше переходите на раскрытие контактов, так вы переносите границу винир-зуб палатинаоьно - это лучше для полировки и самоочищения стыкаСпасибо за подсказку! Правильно ли я понимаю что путь введения остаётся с вестибулярной стороны? Ссылка на комментарий
DR.P Опубликовано 3 июня, 2017 Поделиться Опубликовано 3 июня, 2017 Спасибо за подсказку! Правильно ли я понимаю что путь введения остаётся с вестибулярной стороны?Путь ведения будет вестибулярно окклюзионный ( смотря как контакты раскроете: у центральных резцов форма же треугольная если смотреть окклюзионно) Все зависит скорее от наличия и локализации пломб, которые нужно всегда перекрывать керамику. У меня скоро будет кейс, где 3 винира 360, а 3 класические с крыльями...все индивидуально Ссылка на комментарий
art700 Опубликовано 21 июня, 2017 Поделиться Опубликовано 21 июня, 2017 Коллеги, спрошу здесь)))Если при препаровке под винир на контакте видите кариес, убираете а день фиксации или сразу?) разговор про небольшой очаг естественно. Ссылка на комментарий
DmitrySH Опубликовано 21 июня, 2017 Поделиться Опубликовано 21 июня, 2017 Кариес на предполагаемой границе винира? Конечно сразу Ссылка на комментарий
art700 Опубликовано 21 июня, 2017 Поделиться Опубликовано 21 июня, 2017 Нет) не на границе) про границу то понятно Ближе к вестмбулярке)У меня порой пломбы снимаются с временными винирами) виниры адгезивно клею) Ссылка на комментарий
bakagaidzin Опубликовано 21 июня, 2017 Поделиться Опубликовано 21 июня, 2017 Нет) не на границе) про границу то понятно Ближе к вестмбулярке)У меня порой пломбы снимаются с временными винирами) виниры адгезивно клею)меняйте старые пломбы во время препа Ссылка на комментарий
Рекомендуемые сообщения
Для публикации сообщений создайте учётную запись или авторизуйтесь
Вы должны быть пользователем, чтобы оставить комментарий
Создать аккаунт
Зарегистрируйте новый аккаунт в нашем сообществе. Это очень просто!
Регистрация нового пользователяВойти
Уже есть аккаунт? Войти в систему.
Войти