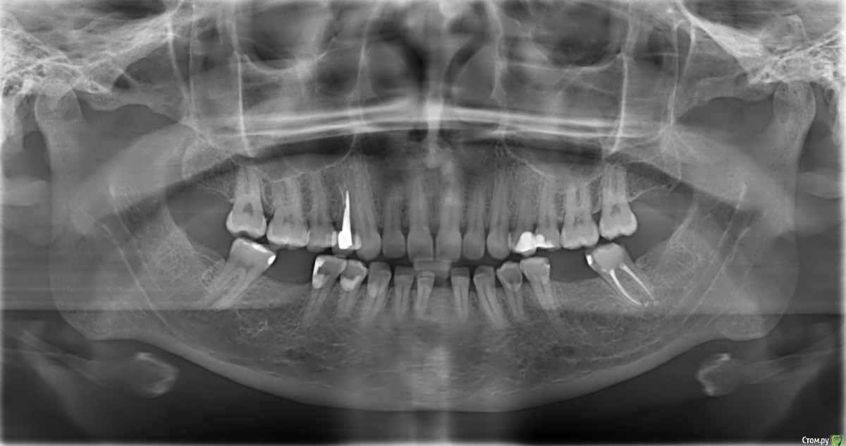
svetanik8 Опубликовано 25 мая, 2017 Поделиться Опубликовано 25 мая, 2017 Уважаемые врачи, прошу совета, чтобы определиться с тем, что делать.Году на 28м узнала, что у меня неправильный прикус (прямой), с детства отсутствует нижний передний зуб (детская травма, на тот момент врачи сказали, что зубы сойдутся, все будет ок, не сошлись, но мало кто видит, что его нет, улыбка как бы не такая низкая, чтобы открывать нижний ряд зубов).Лет в 25 удалили первую 6ку в нижнем ряду, спустя пару лет вторую симметрично, итого имею три проблемы, которые нужно решить (имплантация либо мост). Посетила пару врачей, один ортодонт предложил установить брекеты только на несколько нижних зубов с тем, чтобы сделать место для импланта на месте отсутствующего переднего, так как прикус меня 30 лет до этого не беспокоил, мне зубы кажутся ровными. Врач имплантолог в этой же клинике предложил по всем трем отсутствующим зубам сделать какое-то расщепление с подсадкой, при котором сразу же ставится имплант, причем обе шестерки предложил объединить в одну операцию, чтобы сэкономить на какой-то мембране.Второй врач сказал делать подсадку ткани по всем трем, по брекетам ничего не прокомментировал, отдельно нужно общаться с ортодонтом.И еще один врач тоже сказал, что нужно делать подсадку костной ткани, что расщепление ему не очень нравится в принципе, что может отломаться кость и тп. Подсадка костной ткани очень недешевая процедура (или я ходила в такие клиники дорогие, не знаю). Вопрос, стоит ли в моем случае делать импланты (по каждому зубу) или где-то лучше мост (например, семерка слева под коронку уже, там ползуба нет).Прилагаю снимки ОПТГ и КТ (скриншоты, если нужны другие ракурсы скажите, пока не разобралась как их делать).Отдельный вопрос по брекетам, не знаю выносить ли в отдельнуютему, проблема комплексная. На всякий случай еще фото обычные зубов.Спасибо заранее. Ссылка на комментарий
колесников Опубликовано 25 мая, 2017 Поделиться Опубликовано 25 мая, 2017 Здравствуйте! Дайте пожалуйста ссылку на кт Ссылка на комментарий
svetanik8 Опубликовано 26 мая, 2017 Автор Поделиться Опубликовано 26 мая, 2017 https://cloud.mail.ru/public/AUYc/7NjWNkGuL Ссылка на комментарий
колесников Опубликовано 26 мая, 2017 Поделиться Опубликовано 26 мая, 2017 тактика зависит от предпочтений и умений доктора. все вышеизложенные методы могут быть применимы в вашем случае. с костной пластикой или без-это детали.Я бы не проводил костных пластик ,но это мое видение.Вобласти 31 необходима предварительная ортодонитеская подготовка Ссылка на комментарий
svetanik8 Опубликовано 29 мая, 2017 Автор Поделиться Опубликовано 29 мая, 2017 Я бы не проводил костных пластик ,но это мое видение. под костной пластикой подразумевается отдельная операция или расщепление тоже считается костной пластикой? По нормам мало мм объясняли, хотя по шестеркам одна врач совсем молодая говорила может сделать без подсадки. Ссылка на комментарий
Рекомендуемые сообщения
Для публикации сообщений создайте учётную запись или авторизуйтесь
Вы должны быть пользователем, чтобы оставить комментарий
Создать аккаунт
Зарегистрируйте новый аккаунт в нашем сообществе. Это очень просто!
Регистрация нового пользователяВойти
Уже есть аккаунт? Войти в систему.
Войти