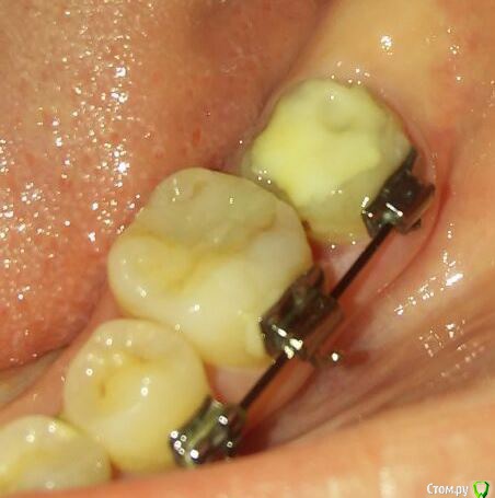
catalystka Опубликовано 19 мая, 2017 Поделиться Опубликовано 19 мая, 2017 Добрый день! У меня несколько месяцев назад образовался десневый карман между 6-м и 7-м зубом на нижней челюсти (ношу брекеты). Терапевт сделала чистку (кюретаж?). Через 2 недели после процедуры воспаление десны прошло, но она оставалась избыточной. Я обратилась к другому врачу, хирургу, который сделал коагуляцию десневого сосочка. На фото состояние через неделю после этого. Дырка в десне. Зря коагулировали? Десна могла опуститься сама? Как теперь поступить? Спасибо. Ссылка на комментарий
St. Опубликовано 19 мая, 2017 Поделиться Опубликовано 19 мая, 2017 Ещё мало времени прошло для стабилизации десны.Сказать зря или нет не возможно поскольку фото исходного состояния нет. Ссылка на комментарий
catalystka Опубликовано 19 мая, 2017 Автор Поделиться Опубликовано 19 мая, 2017 Спасибо за ответ. Исходного фото нет, к сожалению. Если объяснять на пальцах, во время приема пищи этот кусок десны отгибался вертикально в сторону дуги, и в этот треугольник забивалась еда.. А каковы возможные сценарии? Этот треугольник может зарасти? Его площадь наоборот увеличивается. В каком случае (и через какое время) идти ко врачу? Не хочется облажаться еще раз. Ссылка на комментарий
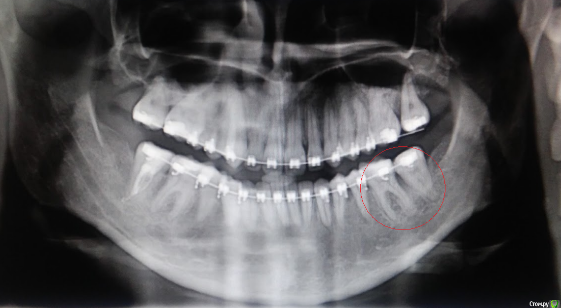
колесников Опубликовано 19 мая, 2017 Поделиться Опубликовано 19 мая, 2017 Мало данных. Приложите рентгеновский снимок этого участка. Ссылка на комментарий
catalystka Опубликовано 23 мая, 2017 Автор Поделиться Опубликовано 23 мая, 2017 Есть панорамный снимок. К сожалению, на пленке мне его не дали, есть только фото. Ссылка на комментарий
Bier Опубликовано 23 мая, 2017 Поделиться Опубликовано 23 мая, 2017 восстановится Ссылка на комментарий
DmitrySH Опубликовано 23 мая, 2017 Поделиться Опубликовано 23 мая, 2017 Все должно быть хорошо Ссылка на комментарий
catalystka Опубликовано 24 мая, 2017 Автор Поделиться Опубликовано 24 мая, 2017 Ура, спасибо за хорошую новость! Ссылка на комментарий
Рекомендуемые сообщения
Для публикации сообщений создайте учётную запись или авторизуйтесь
Вы должны быть пользователем, чтобы оставить комментарий
Создать аккаунт
Зарегистрируйте новый аккаунт в нашем сообществе. Это очень просто!
Регистрация нового пользователяВойти
Уже есть аккаунт? Войти в систему.
Войти