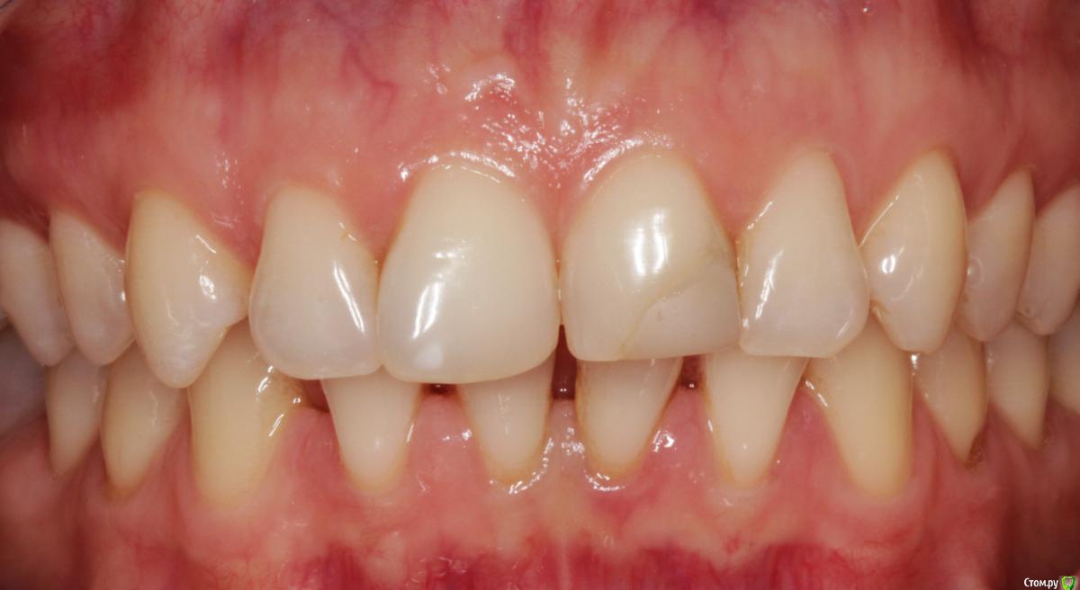
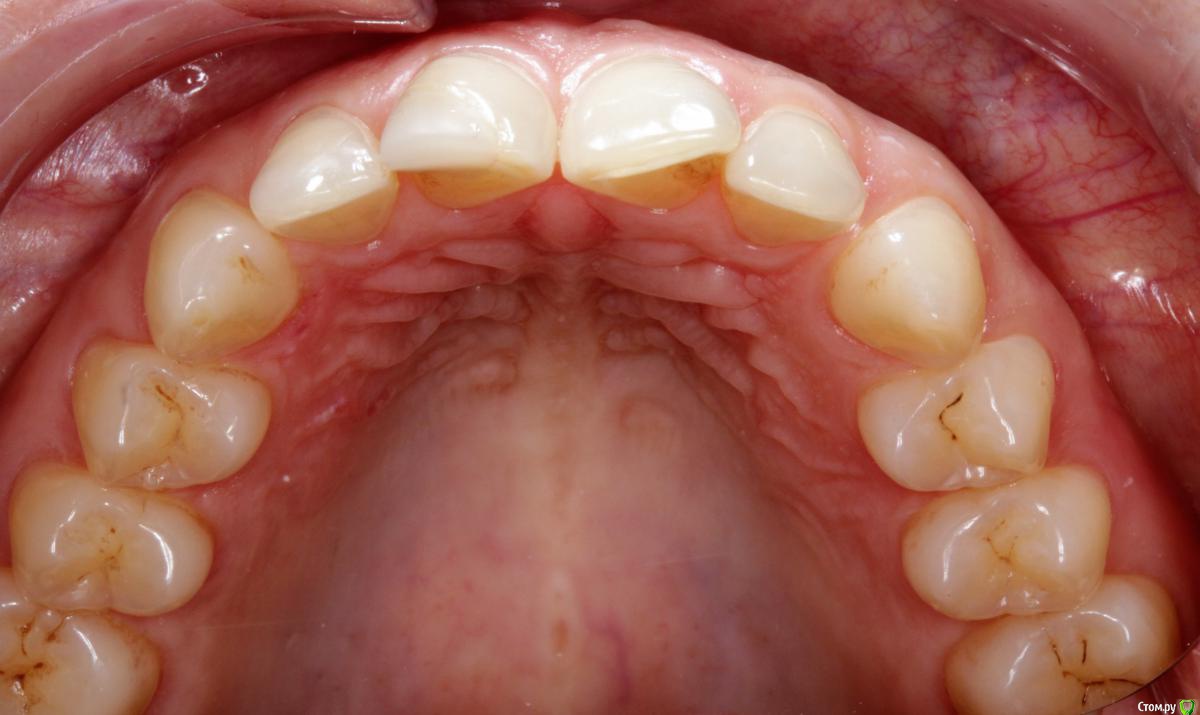
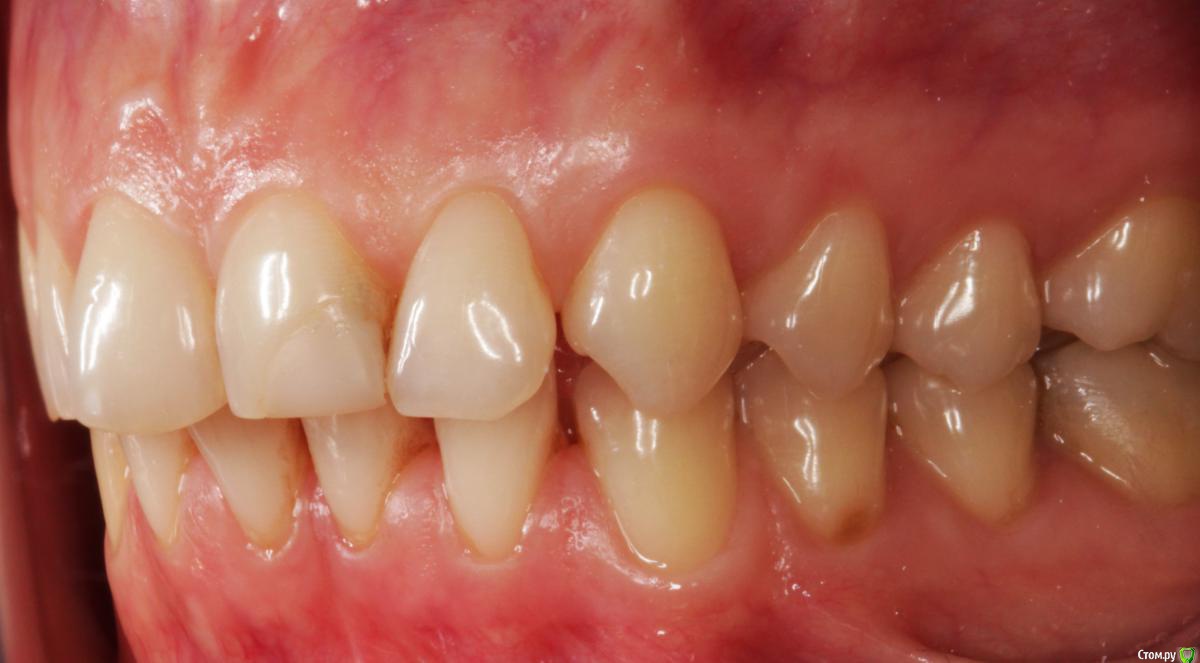
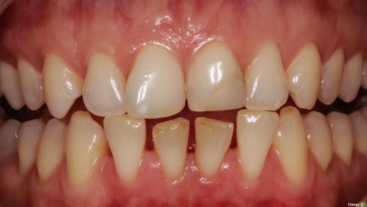
Витторио Орлионе Опубликовано 12 мая, 2017 Поделиться Опубликовано 12 мая, 2017 (изменено) Уважаемые коллеги подскажите пожалуйста как быть в такой ситуации.Обратилась пациентка с желанием закрыть промежутки между зубами и придать гармоничность своей улыбке. После консультации с ортодонтами пришла к выводу, что закрыть промежутки не выйдет и всё равно придётся протезироваться. В связи с эти встал вопрос о материале и виде конструкции, которыми можно исправить такую тремную ситуацию. По сути стоит выбор между винирами на рефракторе и коронками на диоксиде циркония, техник склоняет ко второму варианту, я же по неопытности надеюсь всё исправить менее инвазивно. Преображения планируются в зубах 1.2-2.2 и 3.2-4.2 Изменено 12 мая, 2017 пользователем Витторио Орлионе Ссылка на комментарий
StomV Опубликовано 12 мая, 2017 Поделиться Опубликовано 12 мая, 2017 Честно говоря не пойму почему ортодонт отказался, но если ортопедия,то думаю винирами возможно обойтись,сделайте воск и мок ап и исходя из этого пляшите. Только я бы вовлек для гармонии еще клыки,иначе двойки будут широченные. Ссылка на комментарий
Brigita Опубликовано 12 мая, 2017 Поделиться Опубликовано 12 мая, 2017 постою послушаю. Визуально кажется, что ортодонтически не получится. Моляры стоят по второму классу и просится мезиализация, но у докторов больше данных на руках для точных подсчетов, да и сложно это на нижней челюсти Ссылка на комментарий
Карен Аванесов Опубликовано 12 мая, 2017 Поделиться Опубликовано 12 мая, 2017 Цирконий плохая идея. Почему бы для начала не сделать воск? 8 Ссылка на комментарий
Dman Опубликовано 12 мая, 2017 Поделиться Опубликовано 12 мая, 2017 Чем вам с техником емах не угодил? мне кажется тут все таки препарировать под десну, и выбрал бы коронки... Ссылка на комментарий
zxc Опубликовано 12 мая, 2017 Поделиться Опубликовано 12 мая, 2017 Цирконий плохая идея. Почему бы для начала не сделать воск?Очень прикольный воск! 1 Ссылка на комментарий
алекс 100 Опубликовано 12 мая, 2017 Поделиться Опубликовано 12 мая, 2017 Если не включать в работу клыки-будет очень не красиво.По фото нужно будет выравнивать в гориз.плоск-ти,резцами не обойдетесь,обязательно воск. Ссылка на комментарий
krokomot Опубликовано 12 мая, 2017 Поделиться Опубликовано 12 мая, 2017 Ваксап и пресс, делаю даже несколько ваксапов с клыками и без. Ссылка на комментарий
Петр Бриньковский Опубликовано 13 мая, 2017 Поделиться Опубликовано 13 мая, 2017 Если красиво и менее инвазивно -рефракторы однозначно, цирконием убьете нижние резцы ! Но я бы посоветовал низ с клыками восстанавливать и верх так же, т.к. Вам придется нижние резцы пошире делать и верх соответственно..., отработайте вместе с пациентом на мокапе оба варианта Ссылка на комментарий
Витторио Орлионе Опубликовано 13 мая, 2017 Автор Поделиться Опубликовано 13 мая, 2017 у клиники свой техник и он ,к сожалению, не занимается прессованной керамикой,нет оборудования. А вакс ап пока в процессе изготовления Ссылка на комментарий
valen Опубликовано 17 мая, 2017 Поделиться Опубликовано 17 мая, 2017 Скажите пожалуйста, ортодонт отказался или пациентка не захотела? И, если у ортодонта остался снимок ТРГ, не сочтите за нахальство, покажите его. А то прямо жалко. Ортодонтия здесь была бы, конечно, долгой и нудной, но зато потом проблем бы меньше было. А потом спокойненько винирчиками украсить. 1 Ссылка на комментарий
Mailze Опубликовано 18 мая, 2017 Поделиться Опубликовано 18 мая, 2017 у клиники свой техник и он ,к сожалению, не занимается прессованной керамикой,нет оборудования. А вакс ап пока в процессе изготовления Обратится к технику не из клиники (или он директор? ) . Рефрактор или пресскерамика, однозначно, лучший выбор метода лечения, в данном случае. Ссылка на комментарий
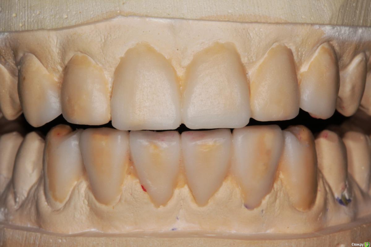
Витторио Орлионе Опубликовано 22 мая, 2017 Автор Поделиться Опубликовано 22 мая, 2017 Восковая моделировка пришла: Ссылка на комментарий
Dman Опубликовано 22 мая, 2017 Поделиться Опубликовано 22 мая, 2017 все достаточно симпатично, верх винирами, низ коронки полные или 3/4 Ссылка на комментарий
AndyAndy Опубликовано 22 мая, 2017 Поделиться Опубликовано 22 мая, 2017 +1 к предыдущему сообщению. Низ коронками е-макс, так как винирами не закроете треугольники между зубами. Границу препарирования и так придётся опускать в проксимальных участках под десну Ссылка на комментарий
Витторио Орлионе Опубликовано 24 мая, 2017 Автор Поделиться Опубликовано 24 мая, 2017 Скажите пожалуйста, ортодонт отказался или пациентка не захотела? И, если у ортодонта остался снимок ТРГ, не сочтите за нахальство, покажите его. А то прямо жалко. Ортодонтия здесь была бы, конечно, долгой и нудной, но зато потом проблем бы меньше было. А потом спокойненько винирчиками украсить.не проводилось трг, а себя поймал на мысли, что брекеты всё таки помогли бы выровнять зубки и сделать щели равноразмерными и, пожалуй, как следствие, обточить менее инвазивно. Но хочется же быстреееее пациенту.. Ссылка на комментарий
valen Опубликовано 28 мая, 2017 Поделиться Опубликовано 28 мая, 2017 Спасибо за ответ. Действительно, работать идеально в плане сроков и подготовки получается очень редко. Когда вижу редкие кейсы, где шла ортодонтическая подготовка, проникаюсь уважением к таким пациентам. Ссылка на комментарий
Brigita Опубликовано 28 мая, 2017 Поделиться Опубликовано 28 мая, 2017 Ортодонтическая подготовка не способствует в данном случае запросам ортопедического лечения. Тремы не закроет, ну максимум можно ротировать нижние резцы. Если ортопеда нужно под виниры это, что вряд ли. Ссылка на комментарий
Рекомендуемые сообщения
Для публикации сообщений создайте учётную запись или авторизуйтесь
Вы должны быть пользователем, чтобы оставить комментарий
Создать аккаунт
Зарегистрируйте новый аккаунт в нашем сообществе. Это очень просто!
Регистрация нового пользователяВойти
Уже есть аккаунт? Войти в систему.
Войти