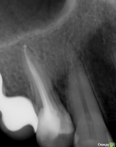
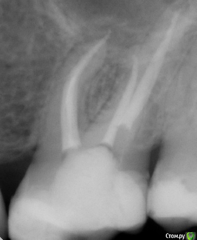
tatsiana.ma Опубликовано 12 мая, 2017 Поделиться Опубликовано 12 мая, 2017 (изменено) Добрый день!Имеются зубы 14 - 26 - (27, 28 удалены более полугода назад, это единственный депульпированный зуб на той стороне) Лечены около полутора года назад с разницей в пару месяцев: 14 - пульпит, в 26 - перидонтит. Сразу после лечения 14 зуб отзывался резкой болью при жевательной нагрузке и при прикосновении к нему, но врач настаивал, что это лишь постпломбировочные боли, но боль не проходила и не уменьшалась в течении нескольких месяцев, после чего врач просто занизил пломбу и фактически вывел зуб из прикуса. После таких манипуляций боль уменьшилась.По факту, оба этих зуба, если надавить пальцем на внешнюю стенку, тихонько и противно ноют, по минуты 3-4-5, потом вроде и спокойно. На прицельных снимках виден вывод пломбировочного материала за апекс. После пломбировки появилась небольшая припухлость щеки и справа и слева, в проекции верхушек корней этих зубов. Смущает, что из всех депульпированных зубов я чувствую только эти два 14 и 26, остальные зубы стоят себе спокойно. Также эти два зуба лечены с применением силера adseal, в других AHplus. Возможно ли, что такие ноющие боли и отечность как реакция раздражения на выведенный за апекс материал и/или проявление аллергической реакции? Имеет ли смысл перепломбировать эти зубы с применением AHplus? p/s/ Сдавала кровь на общий igE - в норме, аллергию непосредственно на пломбировочные материалы у нас не делают. Изменено 12 мая, 2017 пользователем tatsiana.ma Ссылка на комментарий
dok1 Опубликовано 12 мая, 2017 Поделиться Опубликовано 12 мая, 2017 Желательно сделать томограмму и поискать непройденные каналы Ссылка на комментарий
tatsiana.ma Опубликовано 12 мая, 2017 Автор Поделиться Опубликовано 12 мая, 2017 Желательно сделать томограмму и поискать непройденные каналы КТ перед лечением делала, все каналы найдены:в 14 два канала - первичное эндо,в 26 четыре канала - рэндо, периодонтит (был пропущен 4-й), на контрольном кт гранулёма ушла.Но вот эти странные ощущения и ноющие боли при нажатии... с момента лечения и на протяжении полутора лет сохраняются. С февраля по май этого года выполнено рэндо других четырёх зубов - все ок, никаких посторонних ощущений (делал другой врач). Ссылка на комментарий
dok1 Опубликовано 12 мая, 2017 Поделиться Опубликовано 12 мая, 2017 Как вариант недоотмыты каналы. Или латеральные ответвления работают. Ссылка на комментарий
tatsiana.ma Опубликовано 12 мая, 2017 Автор Поделиться Опубликовано 12 мая, 2017 Как вариант недоотмыты каналы. Или латеральные ответвления работают.Во-о-от! Мне поэтому и хочется эти два зуба переделать у врача, у которого проблем с реэндо не возникает)))Так как гадать почему эти два зуба отличаются от остальных уже нет сил. Другой силер, другие руки, вывод материалов за апекс... Реально же убрать в моем случае материал из-за апекса и отмыть старый силер? запаковать заново и не мучаться. Ссылка на комментарий
dok1 Опубликовано 12 мая, 2017 Поделиться Опубликовано 12 мая, 2017 Из-за апекса - вопрос. А со стенок старый снять - более чем реально. Ссылка на комментарий
tatsiana.ma Опубликовано 12 мая, 2017 Автор Поделиться Опубликовано 12 мая, 2017 Из-за апекса - вопрос. А со стенок старый снять - более чем реально.Ого, мне казалось, что немного выступающий гуттаперчевый штифт не проблема подцепить и вытянуть. С силером за апексом сложнее, конечно. Буду надеяться на золотые руки врача)) dok1, спасибо за консультацию. Ссылка на комментарий
dok1 Опубликовано 12 мая, 2017 Поделиться Опубликовано 12 мая, 2017 Ну гуттаперчу-то можно, если чуть-чуть Ссылка на комментарий
tatsiana.ma Опубликовано 13 мая, 2017 Автор Поделиться Опубликовано 13 мая, 2017 (изменено) Еще один вопрос: стекловолоконный штифт из каналов нормально достается? в шестерке в небном корне установлен, на 1/2 длины канала . Прочитала в нете, что свш - это ппц как хреново выпиливаются из канала, особенно когда установлен глубоко. Изменено 13 мая, 2017 пользователем tatsiana.ma Ссылка на комментарий
Рекомендуемые сообщения
Для публикации сообщений создайте учётную запись или авторизуйтесь
Вы должны быть пользователем, чтобы оставить комментарий
Создать аккаунт
Зарегистрируйте новый аккаунт в нашем сообществе. Это очень просто!
Регистрация нового пользователяВойти
Уже есть аккаунт? Войти в систему.
Войти