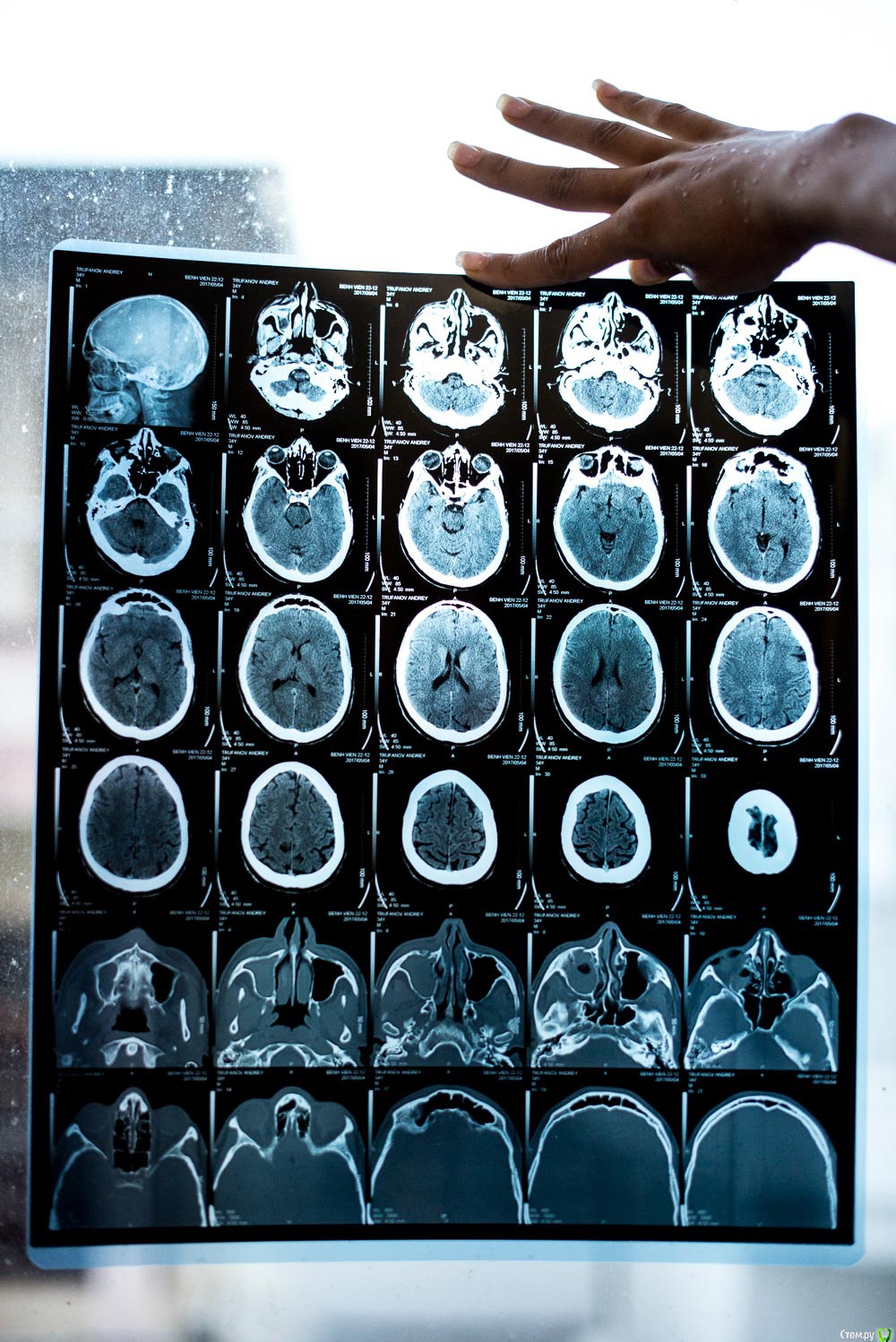
andrei_trufanov Опубликовано 4 мая, 2017 Поделиться Опубликовано 4 мая, 2017 Добрый день ! Требуется Ваш помощь, обратиться больше некуда , ситуация такая нахожусь сейчас длительное время во Вьетнаме, 1мая получил травму лица , сегодня был у лора ,сделал КТ, врач сказал что перелом лицевой кости и воспаление и что операцию делать не нужно или он не могут, не совсем понял , назначил лекарства и просил прийти через 10 дней. Подскажите на сколько серьезна ситуация нужна ли операция если да , то как срочно и правильны ли назначены лекарства ? Augmentin BD 1000mgAlpha chymotrypsin (AL-KIISIN)Methyl prednisolon 16mg(Medrol)Mequitazine 5mg(ITAMETAZIN)Acetylcystein 200mg(ACEMUC 200)Otrivin 0.1% Nosal Spray 10mlBudesonide 64mcg (BENITA) Ссылка на комментарий
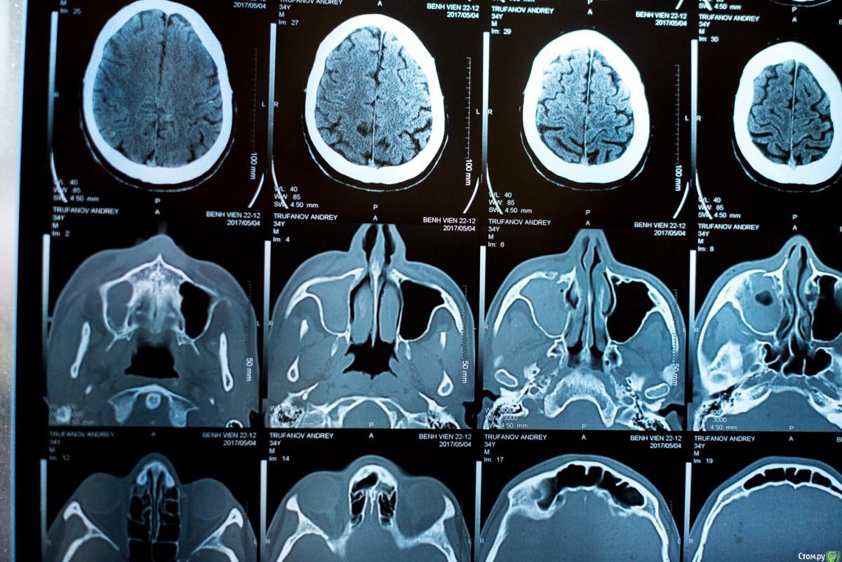
St. Опубликовано 4 мая, 2017 Поделиться Опубликовано 4 мая, 2017 Перелом есть. Воспаление в гайморовой пазухе по снимку тоже есть. Так что с диагостикой все верно. 2 Ссылка на комментарий
ПалСаныч Опубликовано 4 мая, 2017 Поделиться Опубликовано 4 мая, 2017 Лично мое мнение: перелом есть. Смещение небольшое. В пазухе кровь. Если рот открывается в полном объеме, нет двоения в глазах и под глазом пальцем не ощущается костной ступеньки, то и жить спокойно дальше. Из назначенного оставил бы аугметин и спрей в нос. 6 Ссылка на комментарий
Irouil Опубликовано 4 мая, 2017 Поделиться Опубликовано 4 мая, 2017 Рот открывается? Если да, то спим на другой стороне и все. Больше ничего делать на данный момент не требуется, воспаления нет, в пазухе кровяка, смещение выглядит минимальным. Период бережливого отношения к лицу - месяц, потом можете еще раз ломать)) Аугментин допивайте, я бы еще антигистаминные назначил - лоратадин/дезлоратадин по 1-2 в сутки или цетиризин/супрастин на ночь по таблетке, ну и спрей, да. Вообще я почти во всем тут с Павлом Александровичем согласен. Ссылка на комментарий
Рекомендуемые сообщения
Для публикации сообщений создайте учётную запись или авторизуйтесь
Вы должны быть пользователем, чтобы оставить комментарий
Создать аккаунт
Зарегистрируйте новый аккаунт в нашем сообществе. Это очень просто!
Регистрация нового пользователяВойти
Уже есть аккаунт? Войти в систему.
Войти