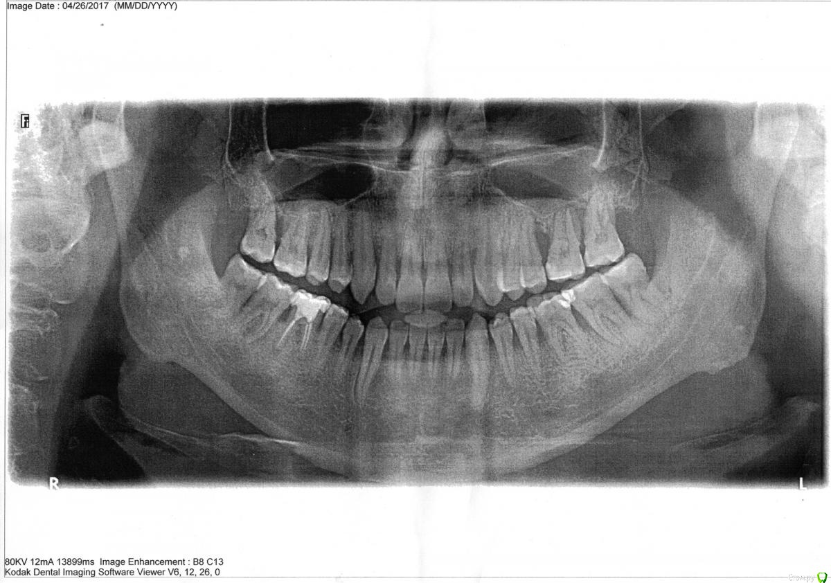
нескучный пациент Опубликовано 2 мая, 2017 Поделиться Опубликовано 2 мая, 2017 Здравствуйте, периодически мучают флюсы на деснах, недавно обстоятельства усугубились - обратился к стоматологу в поликлинику она рекомендовала найти хорошего пародонтолога.Что сейчас происходит: подвижность нескольких зубов (на панорамном снимке с правой стороны три верхних зуба), кровотечения. Опухлость между 33 и 34 зубом, есть язвочка и постоянно выделяется гной между этими зубами, также на десне (под десной) внизу 33 зуба есть белая твердая выпуклость.Пока ищу пародонтолога, делаю аппликации метрогил-дента и полоскаю рот раствором соды и соли, процедуры делаю четвертый день.Может быть сходить к стоматологу терапевту? Как найти хорошего пародонтолога? Можно ли восстановить костную ткань между зубами? Какие процедуры могут помочь? Плазмолифтинг для десен это плацебо? Ссылка на комментарий
нескучный пациент Опубликовано 4 мая, 2017 Автор Поделиться Опубликовано 4 мая, 2017 Записался к пародонтологу! Надеюсь врач ответит на мои вопросы. Ссылка на комментарий
St. Опубликовано 4 мая, 2017 Поделиться Опубликовано 4 мая, 2017 Записался к пародонтологу! Надеюсь врач ответит на мои вопросы. Это самый правильный вариант!Очный осмотр всегда лучше удаленной консультации Плазмолифтинг для десен это плацебо? Не совсем, но кость не восстановит. Какие процедуры могут помочь? Гигиена у стоматолога и дома, кюретаж, возможно медикаментозное лечение. Хорошо пользоваться ирригатором. 3 Ссылка на комментарий
нескучный пациент Опубликовано 12 мая, 2017 Автор Поделиться Опубликовано 12 мая, 2017 (изменено) St. Спасибо за ответы!Был у врача, было назначено сделать анализы на уровень инсулина, купить щетку курапро, сделать КЛКТ 3D. У меня будет пародонтологическая карта, чтобы видеть результат лечения. Цель лечения - вылечить десны и прирастить их к зубам.За 1,5 недели использования ирригатора и зубной щетки + метрогил дента утром и на ночь, привели десна в хорошее состояние, все флюсы и язвочки прошли. Камни пока не снимали и кюретаж не делали. Изменено 12 мая, 2017 пользователем нескучный пациент Ссылка на комментарий
Рекомендуемые сообщения
Для публикации сообщений создайте учётную запись или авторизуйтесь
Вы должны быть пользователем, чтобы оставить комментарий
Создать аккаунт
Зарегистрируйте новый аккаунт в нашем сообществе. Это очень просто!
Регистрация нового пользователяВойти
Уже есть аккаунт? Войти в систему.
Войти