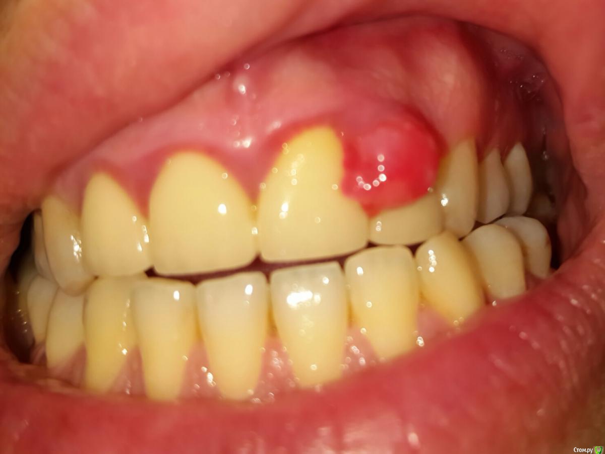
Андрей_Айвазов Опубликовано 1 мая, 2017 Поделиться Опубликовано 1 мая, 2017 Здравствуйте!Уже несколько лет у меня появляется нарост на десне. Впервые он появился лет 12 назад. Врачи решили удалить. После удаления прошло лет 4-5 как нарост начал опять появляться. В этот раз у меня меня стояла коронка на том месте, где появился нарост. Врачи сказали, что это изза неправильно всатвленной корноки и решили аювыташить его и поставить новую. Этим проблема не решилась. Последние 3 года через каждые 2-3 месяца приходится удалять нарост и с каждым разом он появляется быстрее. Как избавиться от этого недуга? Ссылка на комментарий
red_butler Опубликовано 2 мая, 2017 Поделиться Опубликовано 2 мая, 2017 Покажите Rg Ссылка на комментарий
Pan Опубликовано 4 мая, 2017 Поделиться Опубликовано 4 мая, 2017 учитывая частые рецидивы осмелюсь сделать предварительное предположение что это epulis gigantocellularis. Необходим снимок альвеолярной кости для обнаружения возможного костного поражения. Терапией выбора является хирургическое удаление. Ссылка на комментарий
___49___ Опубликовано 4 мая, 2017 Поделиться Опубликовано 4 мая, 2017 (изменено) Здравствуйте!Уже несколько лет у меня появляется нарост на десне. Впервые он появился лет 12 назад. Врачи решили удалить. После удаления прошло лет 4-5 как нарост начал опять появляться. В этот раз у меня меня стояла коронка на том месте, где появился нарост. Врачи сказали, что это изза неправильно всатвленной корноки и решили аювыташить его и поставить новую. Этим проблема не решилась. Последние 3 года через каждые 2-3 месяца приходится удалять нарост и с каждым разом он появляется быстрее. Как избавиться от этого недуга?Каковы результаты гистологического исследования ? Изменено 4 мая, 2017 пользователем ___49___ Ссылка на комментарий
Рекомендуемые сообщения
Для публикации сообщений создайте учётную запись или авторизуйтесь
Вы должны быть пользователем, чтобы оставить комментарий
Создать аккаунт
Зарегистрируйте новый аккаунт в нашем сообществе. Это очень просто!
Регистрация нового пользователяВойти
Уже есть аккаунт? Войти в систему.
Войти