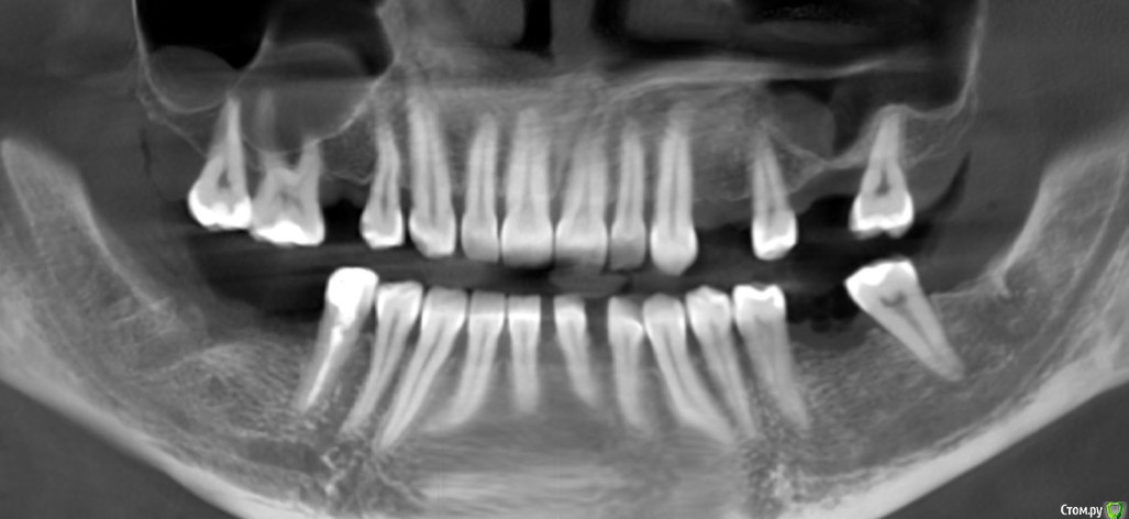
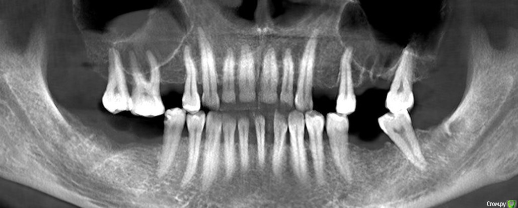
Irina_S Опубликовано 1 мая, 2017 Поделиться Опубликовано 1 мая, 2017 Уважаемые специалисты по жизненному циклу зубов и знатоки особенностей их поведения! Формулирую обращение именно так, потому что не знаю точно, какая именно стоматологическая специализация предполагает максимальную информированность по интересующему вопросу.Если ошиблась с выбором ветки форума, огромная просьба к модераторам перенести в нужное место! Моя история.В августе прошлого года был удалён нижний правый 7-й зуб. Была боль и опухание вокруг. Врач сказал, что ткани вокруг размягчены, оставлять нет смысла, будет плохо держаться. Зуб удалили, поставили дренаж. Десна затянулась за пару недель.В сентябре заболел верхний левый 6-й зуб. Была неудачная попытка лечения с диагнозом обострения периодонтита. При вскрытии каналов зуб был перфорирован и восстановлению по мнению всех врачей, у кого консультировалась, не подлежал. Удалили его в ноябре.Параллельно уже стала интересоваться имплантацией. Врач, удалявший зуб, сказал, что на это место раньше 4-х месяцев ставить ничего нельзя. Всё должно зарасти и уплотниться. Тем более, что десна там затягивалась гораздо хуже.В итоге из-за всех проводившихся манипуляций я с сентября почти всю пищу ем в измельчённом на блендере состоянии. Через блендер не проходят только те продукты, которые изначально не твёрдые и однородные. С левой стороны имеются соприкасающиеся 7-е зубы, но жевание ими больше дискомфортно, чем функционально. В остальных зубах, которые и до ухудшения жевательной способности не слишком сильно участвовали в пережёвывании, периодически появляются ощущения, которые сложно описать. Это не боль, а скорее больше похоже на что-то вроде онемения. Особенно чётко это ощущается по утрам после сна.Тем не менее, ситуация с моим питанием исключительно измельчённой едой, видимо, никаким образом не воспринимается серьёзно различными врачами, с которыми за это время общалась. Одни запросто предлагают перед имплантацией пройти курс ортодонтического лечения сроком не менее года. Другие говорят, что есть места, в которые нужно подсыпать костную ткань, и имплантацию там можно будет делать только через полгода, а это значит., что ещё плюс 3-4 месяца будет приживаться имплантат,, и только после этого появится хотя бы временная коронка.А ещё по мнению большинства ортопедов все коронки на имплантаты нужно ставить одновременно. То есть даже если где-то и можно установить имплантат раньше, то жевательная способность у восстанавливаемого зуба появится всё равно одновременно с остальными. В связи с этим у меня вопрос: как долго могут находиться зубы без жевательной нагрузки? Прикрепляю две панорамы из КТ с разницей в два месяца. Возможно, это поможет оценить какую-то динамику.Благодарю за терпение при прочтении и буду ещё больше благодарна за ответы! Ссылка на комментарий
колесников Опубликовано 1 мая, 2017 Поделиться Опубликовано 1 мая, 2017 Чем дольше будете ждать,тем меньше костной ткани будет в в областях предполагаемой имплантации,16,17 выдвинуться ещё больше,проблемы с внчс примут функциональные изменения. Необходимо имплантироваться как можно скорее ,если хотите несъёмные конструкции,либо съёмный протез на нч. Зубы 17,16 сильно выдвинулись,необходим очный осмотр. Самый сложный участок в плане имплантации ,область 26. Все решаемо. Ссылка на комментарий
Irina_S Опубликовано 1 мая, 2017 Автор Поделиться Опубликовано 1 мая, 2017 Чем дольше будете ждать,тем меньше костной ткани будет в в областях предполагаемой имплантации,16,17 выдвинуться ещё больше,проблемы с внчс примут функциональные изменения. Необходимо имплантироваться как можно скорее ,если хотите несъёмные конструкции,либо съёмный протез на нч. Зубы 17,16 сильно выдвинулись,необходим очный осмотр. Самый сложный участок в плане имплантации ,область 26. Все решаемо. Спасибо!Много написали того, что я и так знаю. Но на прямой конкретный вопрос ответа не прозвучало. Интересует длительность, продолжительность, срок, допустимое время - на всякий случай перечислила все синонимы, которые пришли в голову, чтобы суть вопроса стала понятней. Ссылка на комментарий
red_butler Опубликовано 1 мая, 2017 Поделиться Опубликовано 1 мая, 2017 Но на прямой конкретный вопрос ответа не прозвучало. Потому что его нет. Ссылка на комментарий
Irina_S Опубликовано 1 мая, 2017 Автор Поделиться Опубликовано 1 мая, 2017 Потому что его нет. Наверно, плохо виден знак вопроса, единственный в моём первом сообщении.Повторю его ещё раз и выделю жирным: как долго могут находиться зубы без жевательной нагрузки? Ссылка на комментарий
red_butler Опубликовано 1 мая, 2017 Поделиться Опубликовано 1 мая, 2017 Повторю его ещё раз и выделю жирным: как долго могут находиться зубы без жевательной нагрузки? нет стандартных сроков Ссылка на комментарий
Irina_S Опубликовано 1 мая, 2017 Автор Поделиться Опубликовано 1 мая, 2017 нет стандартных сроков Спасибо! Ссылка на комментарий
Рекомендуемые сообщения
Для публикации сообщений создайте учётную запись или авторизуйтесь
Вы должны быть пользователем, чтобы оставить комментарий
Создать аккаунт
Зарегистрируйте новый аккаунт в нашем сообществе. Это очень просто!
Регистрация нового пользователяВойти
Уже есть аккаунт? Войти в систему.
Войти