ijaija Опубликовано 30 апреля, 2017 Поделиться Опубликовано 30 апреля, 2017 Нужна помощь стоматолога, подскажите по рентген. снимку!Месяц назад в плановом режиме обратился к терапевту, чтобы привести в порядок зубы.Она пролечила несколько зубов кариеса и я пошёл домой. Через 5 дней начались сильные боли справа сверху, причём сложно понять где именно.Я пришёл к врачу и попросил сделать снимок, она без снимка простучав, выяснила что именно в 5 зубе проблема, который она лечила, якобы там пульпит. Решительно стала его сверлить, поставила лекарство, потом через 3 дня почистила каналы и поставила пломбу.После пломбировки пошёл на панораму (фото-приложение 1) Стало видно зуб мудрости который сдвигает соседние зубы и давит на них.Боли продолжились, стали ещё интенсивнее и стали отдавать в висок, скулу и затылок. Было решено удалять мудрости.Через 3 дня удалил мудрости, причём ретинированный, всё прошло успешно, через 3 дня опухлость прошла, боль от удаления прошла, но вернулась та боль, что была в начале и сильно отдаёт в висок и чихаю. Утром не беспокоит, болит после 15-16 и до 1 ночи. причём особенно после еды, когда хорошенько прополощу - отступает. Температура иногда повышалась до 37.0 не более.Пью обезболивающие но они плохо помогают. Ходил сегодня к дежурному врачу в поликлинику, сказал что после удаления всё заживает нормально. Помогите пожалуйста, может по моим рассказам или по снимкам хоть что-то станет понятно..Заранее благодарю! Ссылка на комментарий
shishok Опубликовано 30 апреля, 2017 Поделиться Опубликовано 30 апреля, 2017 Я бы 46 проверила. 1 Ссылка на комментарий
red_butler Опубликовано 1 мая, 2017 Поделиться Опубликовано 1 мая, 2017 как нос дышит все это время? Ссылка на комментарий
Kazankov.Egor Опубликовано 1 мая, 2017 Поделиться Опубликовано 1 мая, 2017 Под носом не болит при нажатии? Ссылка на комментарий
Fake personage Опубликовано 1 мая, 2017 Поделиться Опубликовано 1 мая, 2017 Стоит обратить внимание на предпоследний зуб справа внизу Ссылка на комментарий
ijaija Опубликовано 2 мая, 2017 Автор Поделиться Опубликовано 2 мая, 2017 (изменено) нос заложен, дышит неважно, и заложена именно правая ноздря, но у меня так частенько, может просто простыл, погода неважная в Питере..При надавливании под носом не болит.. Изменено 2 мая, 2017 пользователем ijaija Ссылка на комментарий
ijaija Опубликовано 2 мая, 2017 Автор Поделиться Опубликовано 2 мая, 2017 Спасибо Вам за внимание! Скажите, а могут ли такие боли вообще не связаны с зубами? Может мне надо к неврологу? я то боюсь бюджета не хватит каждый зуб лечить по 7 тысяч, уже все деньги потратил, проще сразу все импланты зафигачить в ипотеку)))) или может снимок гайморовых пазух сделать? это надо к лору? Вообще не знаю куда же мне идти((( Ссылка на комментарий
red_butler Опубликовано 2 мая, 2017 Поделиться Опубликовано 2 мая, 2017 Идите к ЛОРу, и лечите зуб о котором писали коллеги. Ссылка на комментарий
ijaija Опубликовано 2 мая, 2017 Автор Поделиться Опубликовано 2 мая, 2017 Ну у меня же болит наверху? и нижний 46 не болит.. Ссылка на комментарий
Pan Опубликовано 2 мая, 2017 Поделиться Опубликовано 2 мая, 2017 а четвёртый лечили тоже недавно? Нужны ещё дополнительные снимки. По этим не определить проблемы. И да, нижний шестой правый нужно протестировать. Ссылка на комментарий
shishok Опубликовано 2 мая, 2017 Поделиться Опубликовано 2 мая, 2017 Ну у меня же болит наверху? и нижний 46 не болит.. При пульпитах часто возникают боли,иррадиирующие(отдающие) в противоположную челюсть. 1 Ссылка на комментарий
ijaija Опубликовано 4 мая, 2017 Автор Поделиться Опубликовано 4 мая, 2017 Спасибо огромное! Был у невролога назначила уколы, сказала воспалён троничный нерв! Уже 2 дня проколол, боли стали не долгие, а резкие и сильные и непродолжительные как приступы! С пульсацией такой в зубе, а в каком не понятно.. Пойду завтра к стоматологу, может подскажете хорошего в Санкт-Петербурге? Я замучался, мне хочется чтобы мне уже наконец помогли... Мои стоматологи ничего найти не могут...( Ссылка на комментарий
red_butler Опубликовано 5 мая, 2017 Поделиться Опубликовано 5 мая, 2017 http://forum.stom.ru/topic/4752-posovetujte-terapevta-v-gorode-n/ Ссылка на комментарий
ijaija Опубликовано 5 мая, 2017 Автор Поделиться Опубликовано 5 мая, 2017 (изменено) Был у стоматолога сегодня, оказалось что это 5 зуб внизу справа болит, выяснили при поливе холодной водичкой, сегодня заложили лекарство, странно что не 6, как многие здесь говорили.. Изменено 5 мая, 2017 пользователем ijaija Ссылка на комментарий
St. Опубликовано 5 мая, 2017 Поделиться Опубликовано 5 мая, 2017 странно что не 6, как многие здесь говорили.. На обоих - 5 и 6 объемные пломбы, так что определить можно только в кресле у стоматолога.Хорошо что разобрались! Ссылка на комментарий
ijaija Опубликовано 6 мая, 2017 Автор Поделиться Опубликовано 6 мая, 2017 Всю ночь не спал, мучался от боли, приступообразная, особенно сильно начинает болеть когда ложусь, сидя и стоя болит меньше, обезболивающее не берёт. Утром пошёл к дежурному врачу, на постукивание и водичку не реагировал, она сказала ещё день-два потерпеть, а если дальше не будет проходить - будет расковыривать пломбу и менять лекарство. Вот принял Кетанов, боль жутчайшая! В челюсть уходит! Только полоскание прохладной водичкой отпускает немного но ненадолго.. Скажите, так и должно быть? Ссылка на комментарий
ijaija Опубликовано 6 мая, 2017 Автор Поделиться Опубликовано 6 мая, 2017 Неужели нерв убивается так болезненно? или он был настолько воспалён? Долго обычно идут такие боли? целую неделю я не выдержу... Ссылка на комментарий
shishok Опубликовано 6 мая, 2017 Поделиться Опубликовано 6 мая, 2017 А может быть,к сожалению, все-таки другой зуб болит. 1 Ссылка на комментарий
red_butler Опубликовано 7 мая, 2017 Поделиться Опубликовано 7 мая, 2017 А может быть,к сожалению, все-таки другой зуб болит.или не зуб... особенно сильно начинает болеть когда ложусь, сидя и стоя болит меньше Ссылка на комментарий
inSight Опубликовано 7 мая, 2017 Поделиться Опубликовано 7 мая, 2017 "Был у невролога назначила уколы, сказала воспалён троничный нерв! Уже 2 дня проколол, боли стали не долгие, а резкие и сильные и непродолжительные как приступы! С пульсацией такой в зубе, а в каком не понятно.. " Очень интересный случай , для невролога . Здоровья ! =) Ссылка на комментарий
ijaija Опубликовано 12 мая, 2017 Автор Поделиться Опубликовано 12 мая, 2017 Дело было в шестом зубе снизу! Не выдержал, поехал к платному стоматологу и сказал чтобы проверил 6! на снимке было видно что пломба проходит будто сквозь пульпу, когда врач рассверлил, сказал что пульпа наполовину погибла и воспалена, наложил лекарство. Сейчас пятый залечили наложили пломбу, но она не выпуклая как с противоположной стороны, а немного углубленная по форме, это ничего страшного? Или у каждого врача своя пломба?) Ссылка на комментарий
shishok Опубликовано 13 мая, 2017 Поделиться Опубликовано 13 мая, 2017 На пятом пломба временная?Если постоянная,то посмотреть бы фото как минимум. Ссылка на комментарий
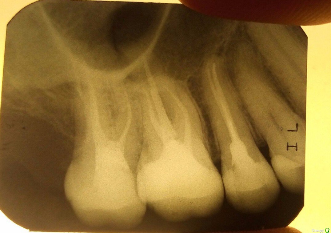
ijaija Опубликовано 15 мая, 2017 Автор Поделиться Опубликовано 15 мая, 2017 Вот фото, прикрепил. Ссылка на комментарий
red_butler Опубликовано 15 мая, 2017 Поделиться Опубликовано 15 мая, 2017 Сейчас пятый залечили наложили пломбу, но она не выпуклая как с противоположной стороны, а немного углубленная по форме, это ничего страшного? на фото все нормально с пломбой Или у каждого врача своя пломба?) у каждого пациента свой прикус 1 Ссылка на комментарий
Рекомендуемые сообщения
Для публикации сообщений создайте учётную запись или авторизуйтесь
Вы должны быть пользователем, чтобы оставить комментарий
Создать аккаунт
Зарегистрируйте новый аккаунт в нашем сообществе. Это очень просто!
Регистрация нового пользователяВойти
Уже есть аккаунт? Войти в систему.
Войти