Irina_S Опубликовано 25 апреля, 2017 Поделиться Опубликовано 25 апреля, 2017 Уважаемые специалисты! В августе и ноябре прошлого года я удалила два зуба и возникла крайняя необходимость в имплантации для восстановления жевания.Консультировалась с несколькими стоматологами-хирургами, чтобы понять, сколько оптимально надо ставить имплантов и что для этого нужно. Мнения разошлись по поводу обеих челюстей. Про нижнюю кто-то говорит, что кости достаточно и можно сразу ставить, а кто-то - что везде нужно сначала наращивать кость, а это по времени до полугода, и только потом ставить импланты. По верхней челюсти сложнее. Почти все отказываются что-либо там делать,. Отправляют лечить пазухи, а это тоже довольно длительный процесс, и нет уверенности, что будет всё идеально. Но некоторых (они в явном меньшинстве) состояние пазух ничуть не смущает. Говорят - начнём хоть завтра. Рискую ли я чем-то при этом? Могут плохо прижиться импланты? Или они просто опытнее и знают, как нужно проводить имплантацию с такими пазухами?Заранее благодарна за все ответы! Ссылка на комментарий
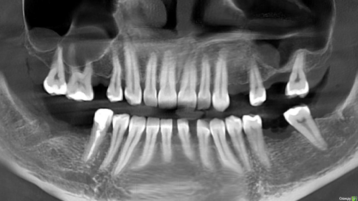
Irina_S Опубликовано 25 апреля, 2017 Автор Поделиться Опубликовано 25 апреля, 2017 Что-то вообще тишина здесь. Ответьте кто-нибудь из врачей, пожалуйста!Может, для ответа недостаточно панорамного снимка? У меня есть КТ, могу выложить. Ссылка на комментарий
red_butler Опубликовано 26 апреля, 2017 Поделиться Опубликовано 26 апреля, 2017 Это 2D реконструкция, а не панорамный снимок. По тому что Вы выложили , понятно что на нижней челюсти проблем с высотой нет, а в синусах мукоцеле. Для ответов на вопросы нужно смотреть всю Кт и Вас лично. Ссылка на комментарий
Irina_S Опубликовано 26 апреля, 2017 Автор Поделиться Опубликовано 26 апреля, 2017 Вот самое последнее исследование КТ: https://cloud.mail.ru/public/LazG/gzMf8zvd6Бегу читать про "мукоцеле". Такого термина ещё не слышала. Надеюсь, не очень страшно... Ссылка на комментарий
red_butler Опубликовано 26 апреля, 2017 Поделиться Опубликовано 26 апреля, 2017 Исправляюсь, в синусе похоже на ретенционные кисты. Ссылка на комментарий
Fibez Опубликовано 26 апреля, 2017 Поделиться Опубликовано 26 апреля, 2017 Грамотный хирург способен выполнить вмешательство и с такой картиной в пазухе. Абсолютных противопоказаний нет. Ссылка на комментарий
Irina_S Опубликовано 26 апреля, 2017 Автор Поделиться Опубликовано 26 апреля, 2017 Грамотный хирург способен выполнить вмешательство и с такой картиной в пазухе. Абсолютных противопоказаний нет.Спасибо за такой оптимистичный ответ! Получается, что мне всё-таки изредка попадались грамотные хирурги, которые не отправляли однозначно на лечение к ЛОРу. Остаётся только найти связку "грамотный хирург - опытный ортопед" в одной клинике, чтобы получить во рту качественный результат.Не могли бы Вы прокомментировать ситуацию с нижней челюстью? Ссылка на комментарий
Irina_S Опубликовано 26 апреля, 2017 Автор Поделиться Опубликовано 26 апреля, 2017 Исправляюсь, в синусе похоже на ретенционные кисты.Спасибо за уточнение! Я вообще была удивлена, что в пазухах что-то обнаружилось. У меня никогда не было никаких болевых ощущений, никаких выделений, не было постоянной заложенности носа. Может ли чем-то угрожать осуществление имплантации с синус-лифтингом при наличии таких кистг? Ссылка на комментарий
Irina_S Опубликовано 27 апреля, 2017 Автор Поделиться Опубликовано 27 апреля, 2017 Уважаемые ответившие специалисты!Я очень жду ваших ответов по моим уточняющим вопросам. Это ОЧЕНЬ важно для меня!Вы достаточно обрисовали картину, но для полного понимания так нужны дополнительные штрихи.Надеюсь, что задержка с ответами связана с вашей занятостью, а не с нежеланием в полной мере проинформировать пациентку, для которой ваше мнение крайне важно.Пожалуйста, ответьте! Ссылка на комментарий
Bier Опубликовано 27 апреля, 2017 Поделиться Опубликовано 27 апреля, 2017 ретенционные кисты не требуют лечения и не мешают проведению имплантации.По нижней челюсти высота кости есть, ширину без полного КТ не увидеть. Но качать его не у всех есть желание. Ссылка на комментарий
Рекомендуемые сообщения
Для публикации сообщений создайте учётную запись или авторизуйтесь
Вы должны быть пользователем, чтобы оставить комментарий
Создать аккаунт
Зарегистрируйте новый аккаунт в нашем сообществе. Это очень просто!
Регистрация нового пользователяВойти
Уже есть аккаунт? Войти в систему.
Войти