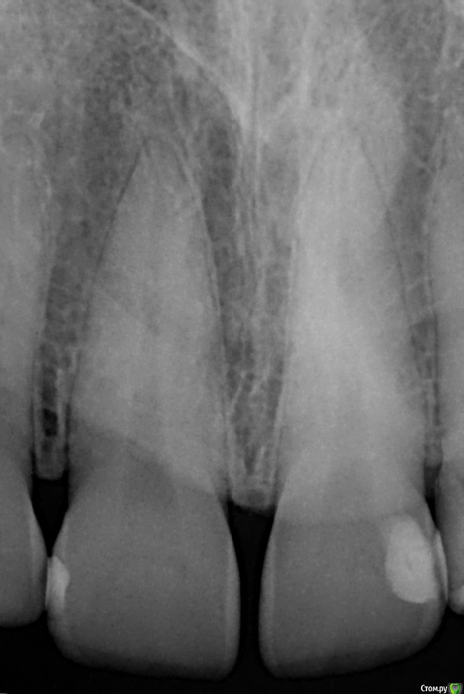
begemotik Опубликовано 15 апреля, 2017 Поделиться Опубликовано 15 апреля, 2017 (изменено) Здравствуйте. Я женщина, 36 лет. Два месяца назад закончила очередное лечение зубов. Насчет верхней правой единицы (зуб 11), где стоит маленькая пломбочка, стоматолог сказала что эта пломба стоит хорошо и заменять ее не нужно.Этот зуб ничем меня не беспокоил, кроме того что 2-3 года назад я однажды сильно погрызла шариковую ручку (обычно я не пишу от руки, так что эта привычка у меня не на постоянной основе), после этого зуб (а точнее сама челюсть в месте зуба) ныл довольно сильно около недели, потом эти ощущения полностью прошли.Сейчас меня беспокоит какое-то странное ощущение в зубе, наподобие очень-очень легкого мимолетного ноющего ощущения или даже чувства просто что ощущаю зуб (другие зубы не ощущаются). При этом откусывать твердые предметы, холодное, пить горячее не больно и никаких ощущений нет. А вот если слегка провести по зубу подушечкой пальца- какой-то странный дискомфорт. При более сильном нажатии он проходит.Подскажите, что это может быть, нужно ли снимать пломбу? Боюсь сделать хуже, центральный зуб, пломба в зоне видимости. Надеюсь, прикрепленный рентген видно Изменено 15 апреля, 2017 пользователем begemotik Ссылка на комментарий
begemotik Опубликовано 17 апреля, 2017 Автор Поделиться Опубликовано 17 апреля, 2017 Подскажите, пожалуйста, что можно сказать по снимку? Ссылка на комментарий
red_butler Опубликовано 17 апреля, 2017 Поделиться Опубликовано 17 апреля, 2017 Подскажите, пожалуйста, что можно сказать по снимку? на снимке с 1.1 зубом все нормально 1 Ссылка на комментарий
Рекомендуемые сообщения
Для публикации сообщений создайте учётную запись или авторизуйтесь
Вы должны быть пользователем, чтобы оставить комментарий
Создать аккаунт
Зарегистрируйте новый аккаунт в нашем сообществе. Это очень просто!
Регистрация нового пользователяВойти
Уже есть аккаунт? Войти в систему.
Войти