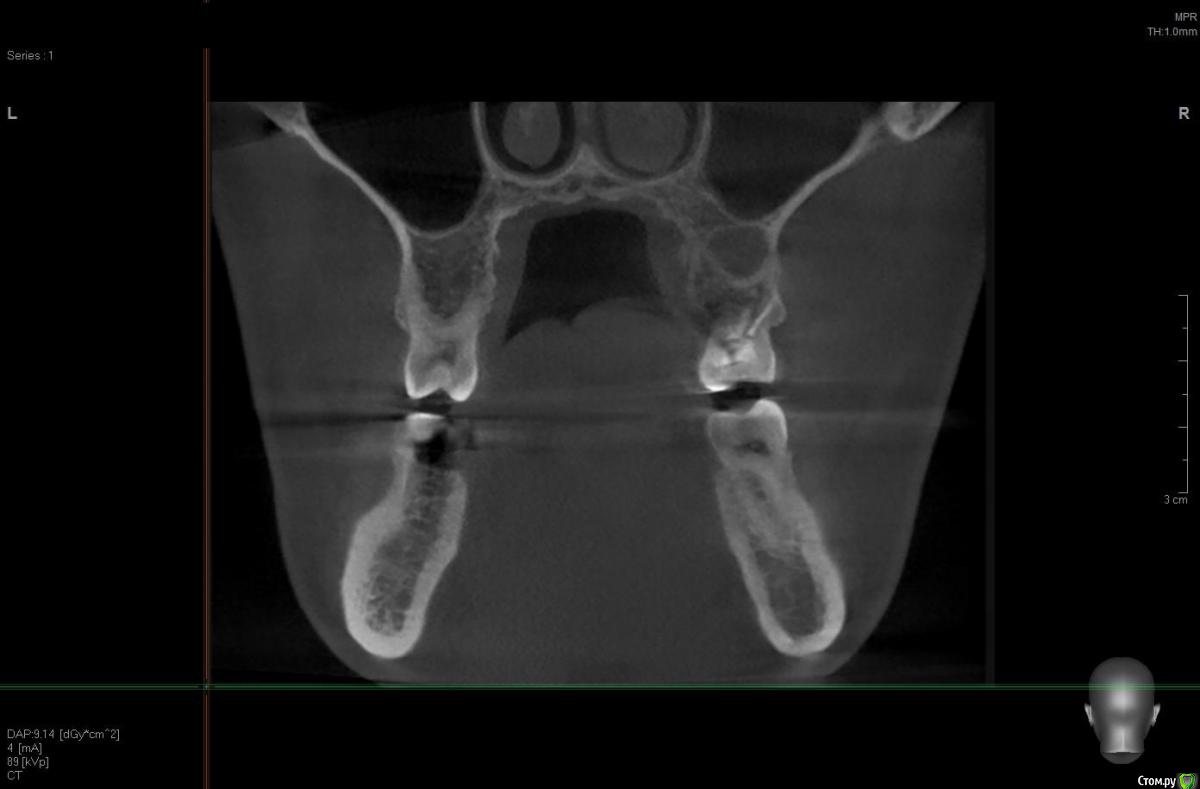
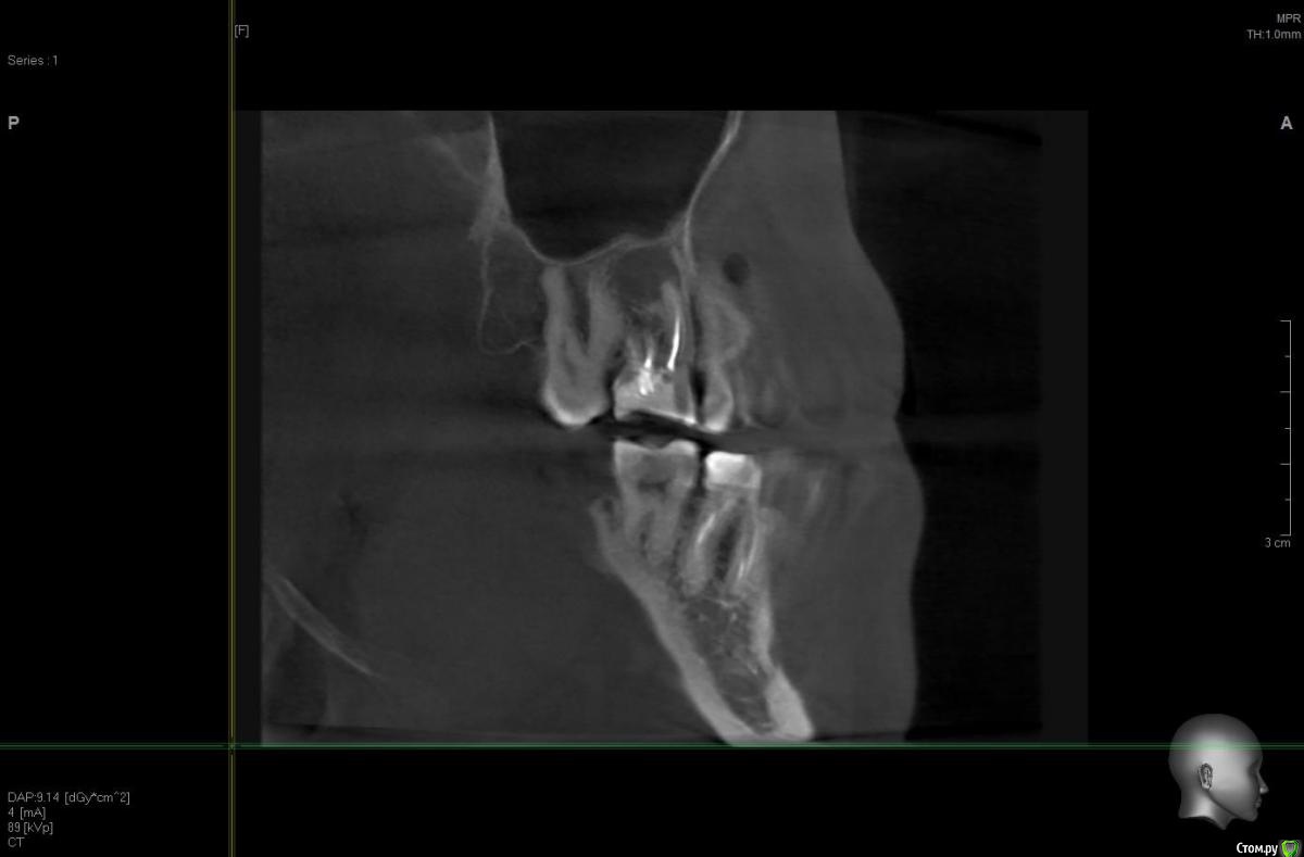
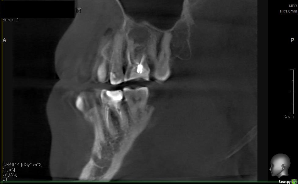
solitary Опубликовано 10 апреля, 2017 Поделиться Опубликовано 10 апреля, 2017 Доброго времени суток! Мое желание исправить прикус превратилось в ходьбу по врачам - от терапевта, до оториноларинголога и хирурга. На ОПТГ (прилагаю) ортодонту не понравилось темное пятно над верхней правой 6-кой. Т.к. хирурга у них в клинике нет, то на консультацию отправили к ортопеду-имплантологу. Предварительный диагноз - киста. Сделали КТ (скриншоты прилагаю).Диагноз подтвердили, но на всякий случай отправили к ЧЛ-хирургу. Тот с КТ от Пикассо не работает (компьютер слабый), но по моим скриншотам также считает, что это киста. Стоматолог врач-терапевт высшей категории вскрыла пломбу и увидела хорошо пролеченные каналы, плюс сделала прицельный снимок 6-ки, который кисту в зоне корня зуба не выявил (даже намека нет). Хотят отправить к оториноларингологу, так как, если верить КТ, киста у границы гайморовой пазухи и консультация ЛОР-врача будет не лишней. Хотелось бы послушать мнение опытных хирургов.-------ОПТГ http://radikal.ru/big/hq2s2k2k9uadn Ссылка на комментарий
Irouil Опубликовано 10 апреля, 2017 Поделиться Опубликовано 10 апреля, 2017 Киста есть. Лор не при чем. Вскрытие пломбы вообще не при чем. Ну а прицельные снимки (после КТ) - ни о чем. 2 Ссылка на комментарий
solitary Опубликовано 10 апреля, 2017 Автор Поделиться Опубликовано 10 апреля, 2017 Киста есть. Лор не при чем. Вскрытие пломбы вообще не при чем. Ну а прицельные снимки (после КТ) - ни о чем.Спасибо за ответ. Хирургическое удаление показано в данной ситуации, если нет клинических показаний (отечность десны, повышение температуры тела, воспаление лимфоузлов и т.д.)? Ссылка на комментарий
DmitrySH Опубликовано 10 апреля, 2017 Поделиться Опубликовано 10 апреля, 2017 Скорее всего и лечением можно обойтись. Вполне обычная история. 2 Ссылка на комментарий
колесников Опубликовано 10 апреля, 2017 Поделиться Опубликовано 10 апреля, 2017 Читаю и все больше удивляюсь. Место действия Москва?Удаляйте в плановом порядке,пока дно гайморовой пазухи не вскрыто кистой. В случаях схожих с вашим,рекомендую пациентам совместить удаление с одномоментной имплантацией,пока ещё условия позволяют. 2 Ссылка на комментарий
Irouil Опубликовано 10 апреля, 2017 Поделиться Опубликовано 10 апреля, 2017 Читаю и все больше удивляюсь. Место действия Москва?Удаляйте в плановом порядке,пока дно гайморовой пазухи не вскрыто кистой. В случаях схожих с вашим,рекомендую пациентам совместить удаление с одномоментной имплантацией,пока ещё условия позволяют.Там ортодонтия планируется. Надо сроки у ортодонта узнать примерные, можно консервацию провести и имплантировать за полгода до снятия системы. Ссылка на комментарий
колесников Опубликовано 10 апреля, 2017 Поделиться Опубликовано 10 апреля, 2017 Проконсультироваться с ортодонтом,будет ли смещаться 5ка,один из вариантов -отложить удаление.В случае обострения 6ки,действительно удаление с консервацией лунки. Ссылка на комментарий
solitary Опубликовано 11 апреля, 2017 Автор Поделиться Опубликовано 11 апреля, 2017 (изменено) Проконсультироваться с ортодонтом,будет ли смещаться 5ка,один из вариантов -отложить удаление.В случае обострения 6ки,действительно удаление с консервацией лунки.ВЧ сужена, перед установкой брекетов планировалось поставить несъемный аппарат с зацепом за 4-ки и 6-ки для расширения на зубоальвеолярном уровне. На ортопантомограмме (ОПТГ) корень правой 6-ки не вызвал у ортодонта доверия и ставить аппарат она отказалась. Без расширения ВЧ аппаратом, брекеты ставить не будут, потому что место в челюсти не хватит для всех зубов. -----------------Приблизительно так выглядит этот аппарат http://www.ortodont63.ru/upload/iblock/cfe/cfe155bbe23bf82eaa347a5307143615.jpg Изменено 11 апреля, 2017 пользователем solitary Ссылка на комментарий
solitary Опубликовано 11 апреля, 2017 Автор Поделиться Опубликовано 11 апреля, 2017 (изменено) Альтернативный способ установки аппарата нашли (цеплять за 5-ки), но меня сейчас больше волнует судьба зуба. Каналы хорошо пролечены, штифт стоит просто на века. При вскрытии пломбы никаких неприятных запахов, которые характерны для кистозного воспаления. Клинических показаний вроде нет (я про отечность десны, воспаление лимфоузлов, повышение температуры тела и т.п.) Очень бы хотелось сохранить зуб Изменено 11 апреля, 2017 пользователем solitary Ссылка на комментарий
red_butler Опубликовано 11 апреля, 2017 Поделиться Опубликовано 11 апреля, 2017 Очень бы хотелось сохранить зуб найдите эндодонтиста и лечите 2 Ссылка на комментарий
St. Опубликовано 11 апреля, 2017 Поделиться Опубликовано 11 апреля, 2017 Каналы хорошо пролечены, штифт стоит просто на века. При вскрытии пломбы никаких неприятных запахов, которые характерны для кистозного воспаления. Клинических показаний вроде нет Далеко не факт.Найдите терапевта-эндодонтиста, пробуйте перелечивать.З.Ы. только не ту доктора-терапевта о которой вы писали. Ссылка на комментарий
Irouil Опубликовано 11 апреля, 2017 Поделиться Опубликовано 11 апреля, 2017 Повторюсь - вскрытие пломбы не при чем. Киста в кости, пломба в зубе. Между кистой и пломбой - закрытый наглухо (судя по кисте у корня - не совсем наглухо) длинный корневой канал. Навряд кто-то возьмется лечить этот зуб гарантийно. Но если Вы готовы рисковать своим временем и финансами - шансы есть. Ссылка на комментарий
DmitrySH Опубликовано 11 апреля, 2017 Поделиться Опубликовано 11 апреля, 2017 (изменено) Навряд кто-то возьмется лечить этот зуб гарантийно. Может Вас удивит, но для некоторых присутствующих это ежедневная рутина. Изменено 11 апреля, 2017 пользователем DmitrySH 1 Ссылка на комментарий
Bier Опубликовано 11 апреля, 2017 Поделиться Опубликовано 11 апреля, 2017 Лечить конечно. Не вижу тут 100% показаний к удалению. Есть желание сохранить - найдите эндодонтиста с микроскопом и лечите. 2 Ссылка на комментарий
Irouil Опубликовано 12 апреля, 2017 Поделиться Опубликовано 12 апреля, 2017 Может Вас удивит, но для некоторых присутствующих это ежедневная рутина. Да нет, сама по себе повторная эндодонтия бывает часто, но наши терапевты всегда предупреждают о возможной неудаче. Но мне кажется шансы какие-то тут есть. Ссылка на комментарий
DmitrySH Опубликовано 12 апреля, 2017 Поделиться Опубликовано 12 апреля, 2017 Да нет, сама по себе повторная эндодонтия бывает часто, но наши терапевты всегда предупреждают о возможной неудаче. Но мне кажется шансы какие-то тут есть. Удаление конечно может иметь место, если в ходе лечения выявляются:1. Разрушение зуба не подлежащее лечению.2. Погрешности проведенного ранее лечения, не позволяющие адекватно обработать каналы. Если зуб "целый" и каналы правильно обработаны и запломбированы, то очень высок шанс на благоприятный исход.Размер очага воспаления не играет существенной роли. А неудача может быть и при лечении обычного пульпита, никто не застрахован. Ссылка на комментарий
Irouil Опубликовано 12 апреля, 2017 Поделиться Опубликовано 12 апреля, 2017 Удаление конечно может иметь место, если в ходе лечения выявляются:1. Разрушение зуба не подлежащее лечению.2. Погрешности проведенного ранее лечения, не позволяющие адекватно обработать каналы. Если зуб "целый" и каналы правильно обработаны и запломбированы, то очень высок шанс на благоприятный исход.Размер очага воспаления не играет существенной роли. А неудача может быть и при лечении обычного пульпита, никто не застрахован.Я риски в основном представляю в распломбировке. Но я не терапевт, так что тут за что купил. Ссылка на комментарий
ПалСаныч Опубликовано 13 апреля, 2017 Поделиться Опубликовано 13 апреля, 2017 Я присоединюсь к мнению коллег о попытке сохранения зуба путем распломбировывания каналов и воздействия через них на кисту...если врач стоматолог к которому вы придете скажет "на удаление", Вы говорите "спасибо" и идете к другому, пока не найдете того, который скажет "ок, мы его спасем")) 2 Ссылка на комментарий
solitary Опубликовано 15 мая, 2017 Автор Поделиться Опубликовано 15 мая, 2017 Зуб пролечили, прогноз хороший. Через 3 мес на прицельный снимок, через 6 мес - на КТ. Потом под коронку. Друзья, всем спасибо! 1 Ссылка на комментарий
red_butler Опубликовано 15 мая, 2017 Поделиться Опубликовано 15 мая, 2017 отлично, не забудьте поделиться - Через 3 мес на прицельный снимок Ссылка на комментарий
Рекомендуемые сообщения
Для публикации сообщений создайте учётную запись или авторизуйтесь
Вы должны быть пользователем, чтобы оставить комментарий
Создать аккаунт
Зарегистрируйте новый аккаунт в нашем сообществе. Это очень просто!
Регистрация нового пользователяВойти
Уже есть аккаунт? Войти в систему.
Войти