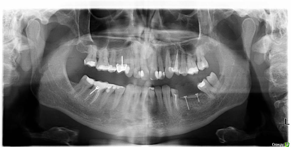
Nazim_NV86 Опубликовано 3 апреля, 2017 Поделиться Опубликовано 3 апреля, 2017 Доброе время суток коллеги. Вот такой вот вертикальный дефект. Была неудачная попытка костной пластики. Собираюсь делать ламинами, но хотел бы почитать ваши рекомендации, а возможно и ссылки на похожие операции. Ссылка на комментарий
kamranchick Опубликовано 4 апреля, 2017 Поделиться Опубликовано 4 апреля, 2017 Воссоздавать надо серьезный обьем, нужен жесткий каркас сетка либо ламины, я за ламины, и высоту и ширину воостоздадите и рисков поменьше, нежели восстанавливать сеткой, принимающее ложе не особо то хорошее в плане питания, апроксимальные точки есть, так что пластика должна сработать довольно-так хорошо. если не не удасться воссоздать с первой попытки большой обьем, потом все компенсируете сст с бугра, по типу шашлыков Ссылка на комментарий
Nazim_NV86 Опубликовано 4 апреля, 2017 Автор Поделиться Опубликовано 4 апреля, 2017 Но каким образом их фиксировать? Самый просто вариант это взять блок потолще и прикрутить.... Ссылка на комментарий
Irouil Опубликовано 4 апреля, 2017 Поделиться Опубликовано 4 апреля, 2017 Но каким образом их фиксировать? Самый просто вариант это взять блок потолще и прикрутить....Тогда с подвздошки Ссылка на комментарий
kamranchick Опубликовано 4 апреля, 2017 Поделиться Опубликовано 4 апреля, 2017 (изменено) вы можете заугментировать резцовый канал, он у вас довольно таки широкий, получить там кость, и в будущем заанугулировать имлантат при желании, вот так можно зафиксировать блок, держится очень крепко, проблема чтобы смогли ушить и сделать мобилизационэ))) Изменено 4 апреля, 2017 пользователем kamranchick Ссылка на комментарий
Andre_ Опубликовано 4 апреля, 2017 Поделиться Опубликовано 4 апреля, 2017 Коллеги, как раз пользуясь случаем, про "вертикаль" : делал 3д пластику, 4й сегмент. Вестибулярно аллоблок, окклюзионно - ламинат (ауто с косой много взять не вышло - было удаление лютой ретенции). 5е сутки расходятся швы, толстые щёки пациентки и не сильная мобилизация дали знать. Помыл хлориком пару суток и решил завтра вынимать. Как считаете, есть смысл оставить, например, вестибулярный аллоблок, отмыв инфицированный графт? или лучше выносить всё?Какой вариант для повторной операции лучше выбирать на н/челюсти в боковом отделе? Ссылка на комментарий
kamranchick Опубликовано 4 апреля, 2017 Поделиться Опубликовано 4 апреля, 2017 Коллеги, как раз пользуясь случаем, про "вертикаль" : делал 3д пластику, 4й сегмент. Вестибулярно аллоблок, окклюзионно - ламинат (ауто с косой много взять не вышло - было удаление лютой ретенции). 5е сутки расходятся швы, толстые щёки пациентки и не сильная мобилизация дали знать. Помыл хлориком пару суток и решил завтра вынимать. Как считаете, есть смысл оставить, например, вестибулярный аллоблок, отмыв инфицированный графт? или лучше выносить всё?Какой вариант для повторной операции лучше выбирать на н/челюсти в боковом отделе?Когда идет инфицирование надо смотреть откуда оно идет, скорее всего погибнет все к едрени фени, тем более алло, я бы убрал бы. через 2 месяца повторно сетка. Ссылка на комментарий
kamranchick Опубликовано 4 апреля, 2017 Поделиться Опубликовано 4 апреля, 2017 Доброе время суток коллеги. Вот такой вот вертикальный дефект. Была неудачная попытка костной пластики. Собираюсь делать ламинами, но хотел бы почитать ваши рекомендации, а возможно и ссылки на похожие операции. Ссылка на комментарий
Andre_ Опубликовано 5 апреля, 2017 Поделиться Опубликовано 5 апреля, 2017 Когда идет инфицирование надо смотреть откуда оно идет, скорее всего погибнет все к едрени фени, тем более алло, я бы убрал бы. через 2 месяца повторно сетка.спасибо, посмотрел ещё раз контроль КТ, думаю всё выгрести. Ссылка на комментарий
Рекомендуемые сообщения
Для публикации сообщений создайте учётную запись или авторизуйтесь
Вы должны быть пользователем, чтобы оставить комментарий
Создать аккаунт
Зарегистрируйте новый аккаунт в нашем сообществе. Это очень просто!
Регистрация нового пользователяВойти
Уже есть аккаунт? Войти в систему.
Войти