Витторио Орлионе Опубликовано 30 марта, 2017 Поделиться Опубликовано 30 марта, 2017 (изменено) Обратился пациент 1988 года рождения с жалобами на постоянные ноющие боли, усивиающиеся при накусывании на зуб беспокоящие его на протяжении 2х дней. Объективно зуб 3.7 ИНТАКТНЫЙ! ни пломб, ни кариеса не обнаружено, перкуссия его болезненная, температурная проба отрицательная, при накусывании на валик реагировал именно этот зуб. Поскольку зуб 3.6 стоял со старой пломбой и навиающими краями было решено пройтись ультразвуком, поскрести по сусекам слегка заполировать пломбу и оставить метрогил. На следующий день поднялась температура.Через день пришёл на приём. Зуб 3.7 сильно реагирует даже на слабое прикосновение.Не решился депульпировать, так как не вижу объективных причин для такого развития, откуда вообще периодонтит в интактном зубе?!? Пациент отправлен домой, так сказать под наблюдение.Верхние зубы также интактны, все антагонисты в наличии.Как быть и что делать? Изменено 30 марта, 2017 пользователем Витторио Орлионе 1 1 Ссылка на комментарий
koss Опубликовано 30 марта, 2017 Поделиться Опубликовано 30 марта, 2017 а 36 вскрыть не судьба ? Ссылка на комментарий
Витторио Орлионе Опубликовано 30 марта, 2017 Автор Поделиться Опубликовано 30 марта, 2017 так не болит же Ссылка на комментарий
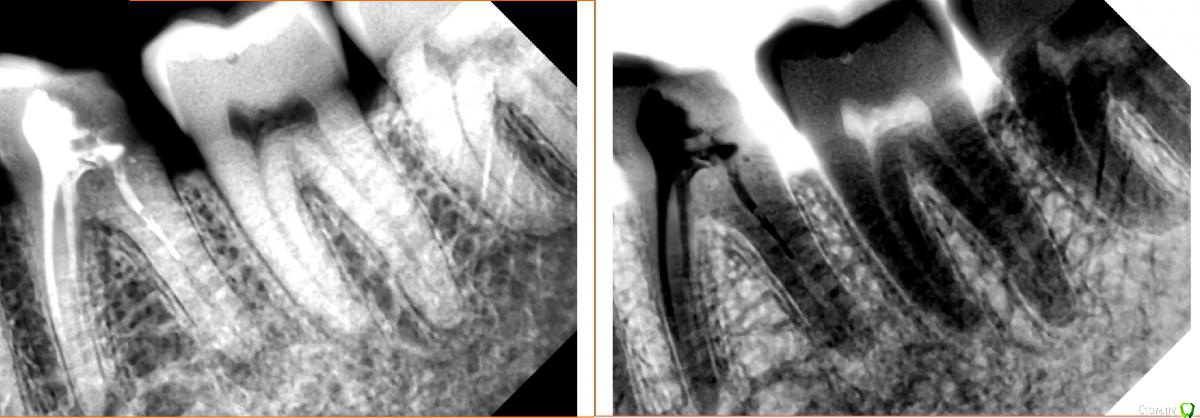
DmitrySH Опубликовано 30 марта, 2017 Поделиться Опубликовано 30 марта, 2017 Объективно зуб 3.7 ИНТАКТНЫЙ! ни пломб, ни кариеса не обнаружено, перкуссия его болезненная, температурная проба отрицательная, при накусывании на валик реагировал именно этот зуб. А если внимательно посмотреть снимок, то на корне 37 нормальная такая кариозная полость Ссылка на комментарий
Паращук Роман Опубликовано 30 марта, 2017 Поделиться Опубликовано 30 марта, 2017 вскрыть 36. Ссылка на комментарий
parallax Опубликовано 30 марта, 2017 Поделиться Опубликовано 30 марта, 2017 В интактном зубе может быть периодонтит. Надо бы что-то делать с 37, а то достукаетесь до апикального абсцесса. 1 Ссылка на комментарий
Л Ю С Я Опубликовано 30 марта, 2017 Поделиться Опубликовано 30 марта, 2017 Проверьте зуб 3.7 на витальность. Если витальный не трогайте, занимайтесь 6. Если тест отрицательный, вскрывайте 7! Полость не вижу. Трещина является причиной периодонтитав интактном зубе. А лучше сразу удаляйте. Был такой случай у меня. Даже тему где то здесь создавала Ссылка на комментарий
St. Опубликовано 30 марта, 2017 Поделиться Опубликовано 30 марта, 2017 Тоже попадался периодонтит витального из-за трещины, правда то премоляр был. Так что все возможно. Проверьте зуб 3.7 на витальность. Если витальный не трогайте, занимайтесь 6 +1 Ссылка на комментарий
DmitrySH Опубликовано 31 марта, 2017 Поделиться Опубликовано 31 марта, 2017 (изменено) Полость не вижу На границе эмали и цемента корня нет кариеса? http://s010.radikal.ru/i311/1703/b9/fc60e3737466.jpg Изменено 31 марта, 2017 пользователем DmitrySH Ссылка на комментарий
Л Ю С Я Опубликовано 1 апреля, 2017 Поделиться Опубликовано 1 апреля, 2017 На границе эмали и цемента корня нет кариеса?Думаю это артефакт. Нужен визуальны осмотр, даже если и есть, то явно не до пульпы 1 Ссылка на комментарий
Жандос Муратович Опубликовано 1 апреля, 2017 Поделиться Опубликовано 1 апреля, 2017 На границе эмали и цемента корня нет кариеса? кариес есть однозначно,депульпируйте 7,зачем мучаете пациента. Ссылка на комментарий
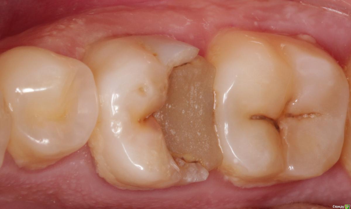
Kolchanov Опубликовано 1 апреля, 2017 Поделиться Опубликовано 1 апреля, 2017 У меня была не так давно похожая ситуация.Пациент с жалобами на боль при накусывании, ощущение выросшего зуба. 15 в контакте с антагонистом, 16 в легком контакте (самый краешек мезиального гребня), у 17 и 18 отсутствуют антагонисты. Перкуссия болезненна на 15 и 16. Холодовая проба на 15 непонятная, на 16 - норма. На Rg криминалу нет, поэтому не прилагаю. С десной ничего необычного, для того количества зубных отложений и карманов, которое у него есть. После вскрытия пульпа вид имеет вроде живой, но какой-то дохленький. http://s45.radikal.ru/i109/1704/76/89d8d5fbe06d.jpghttp://s61.radikal.ru/i174/1704/b4/89e706a30572.jpghttp://s019.radikal.ru/i616/1704/ab/e0e106f7aded.jpgКазалось бы, учитывая картинку, дело шито к-файлами. Фиг там! Через пару дней он ко мне вернулся с истинной причиной его беспокойства.http://s019.radikal.ru/i611/1704/9b/436a071faa61.jpg Ссылка на комментарий
Л Ю С Я Опубликовано 2 апреля, 2017 Поделиться Опубликовано 2 апреля, 2017 В 15 трещина..Есть снимки 1.7, 1.6 1.5? Ссылка на комментарий
Kolchanov Опубликовано 2 апреля, 2017 Поделиться Опубликовано 2 апреля, 2017 Трещина, но на дно полости зуба не идет. Спротезировать и все нормально будет. Снимки есть. Тут парадонтальный абсцесс случился. 15 ошибочно был зарезан, но дело все равно к тому шло. Ссылка на комментарий
Л Ю С Я Опубликовано 3 апреля, 2017 Поделиться Опубликовано 3 апреля, 2017 Трещина, но на дно полости зуба не идет. Спротезировать и все нормально будет. Снимки есть. Тут парадонтальный абсцесс случился. 15 ошибочно был зарезан, но дело все равно к тому шло.Не сделает коронку - хана. Недавно был зубец с похожей поперечной тещиной, дала пациенту на раздумье неделю после эндо чтобы сделать любую коронку. Хорошо , что подписи взяла. Фото есть. Через 2 месяца лопнул. Почему 15 ошибочно? Разве там не вторичный кариес? Ссылка на комментарий
Kolchanov Опубликовано 3 апреля, 2017 Поделиться Опубликовано 3 апреля, 2017 Депульпировал ошибочно. Ссылка на комментарий
Витторио Орлионе Опубликовано 8 апреля, 2017 Автор Поделиться Опубликовано 8 апреля, 2017 Продолжение: неделю назад депульпировали 3.7, боли при накусывании вскоре прошли и пациент смог наконец похомячить этой стороной, но радовался недолго, начал при жевании беспокоить 3.6. Сегодня и его начали перебирать, там была резорцин паста в каналах, весьма рыхлой консистенции, так что проблем с распломбировкой не было. Ссылка на комментарий
Kolchanov Опубликовано 8 апреля, 2017 Поделиться Опубликовано 8 апреля, 2017 Ну и что, был там кариес? Ссылка на комментарий
Витторио Орлионе Опубликовано 8 апреля, 2017 Автор Поделиться Опубликовано 8 апреля, 2017 (изменено) в фиссурке был поверхностный, и трещин тоже не обнаружено. Похоже он стал жертвой недодиагностики. Изменено 8 апреля, 2017 пользователем Витторио Орлионе Ссылка на комментарий
DmitrySH Опубликовано 8 апреля, 2017 Поделиться Опубликовано 8 апреля, 2017 Дистально не залезали прозондировать? Ссылка на комментарий
Kazankov.Egor Опубликовано 9 апреля, 2017 Поделиться Опубликовано 9 апреля, 2017 Советую Доусона почитать, первую главу. 1 Ссылка на комментарий
ger_berra Опубликовано 10 апреля, 2017 Поделиться Опубликовано 10 апреля, 2017 Советую Доусона почитать, первую главу.Очень согласна.При травматической окклюзии интактные зубы могут давать клинику апикального периодонтита.Сама когда почитала,открыла для себя новую страницу в диагностике . Ссылка на комментарий
parallax Опубликовано 11 апреля, 2017 Поделиться Опубликовано 11 апреля, 2017 Апикальные абсцессы формируются в интактных зубах. У меня пара пациков таких было. Ссылка на комментарий
Рекомендуемые сообщения
Для публикации сообщений создайте учётную запись или авторизуйтесь
Вы должны быть пользователем, чтобы оставить комментарий
Создать аккаунт
Зарегистрируйте новый аккаунт в нашем сообществе. Это очень просто!
Регистрация нового пользователяВойти
Уже есть аккаунт? Войти в систему.
Войти