Neilrus Опубликовано 28 марта, 2017 Поделиться Опубликовано 28 марта, 2017 (изменено) Здравствуйте, коллеги. Есть пациентка, 45 лет, принимает постоянно раз в две-три недели метотриксат путем инъекции по 2,5мл по причине ревматойдного артирта.установил ей одномоментно имплантат в позицию 11 зуба с небольшой пластикой вестибулярно. торк отличный, по прошествии 3 мес через день после очередного укола метотриксата вспыл маленький свищ с белесоватым отделяемым, открыл, проверил усилие выдержал 35Нсм, установил временную коронку с подворачиваним лоскута. Все стабильно 3 недели и вот вчера очередной укол и появляется свищ уже большего размера. Возможно это от данного препарата? есть у кого-нибудь опыт с такими пациентами? ПОчитал инструкцию и обомлел (особенно про часть где совмещение с НПВС может привести к летальному исходу), ее доктор финский считает что такое возможно, но отменить или заменить его возможности нет.Она живет в финляндии раз в месяц только приезжает, рентгена нет, общаемся по вайберу, фото пока только такое, приедет ко мне 5 апреля. Изменено 28 марта, 2017 пользователем Neilrus Ссылка на комментарий
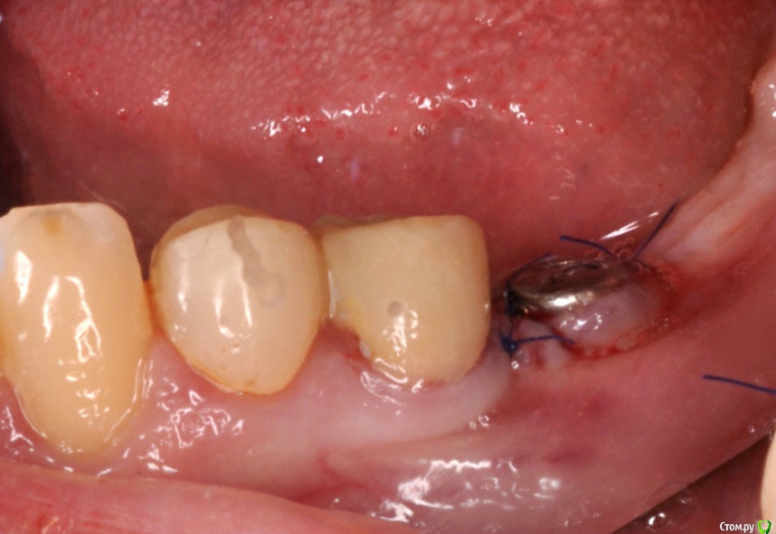
Neilrus Опубликовано 28 марта, 2017 Автор Поделиться Опубликовано 28 марта, 2017 времянка на временном титано-пластм аббатменте, не фигня какая-нибудь Ссылка на комментарий
Irouil Опубликовано 28 марта, 2017 Поделиться Опубликовано 28 марта, 2017 Рентгена вообще никакого нет? Я бы обязательно сделал. И отделяемое бы собрал, наверное, и сдал бы на посев. Конкретных данных и клинического опыта нет. Однако... Во первых, логика подсказывает, что цитостатики на регенеративные процессы (а интеграция такой процесс) влияют скорее плохо, чем никак. Далее. Вот тут http://forum.stom.ru/topic/34620-vopros-implantatciia-posle-radioterapii/в обсуждении зацепили бисфосфонаты - они воздействуют на остеокласты почти как цитостатики. Разница только в таргетинге клеток. Ну и напоследок. Беглый пробег по пабмеду дает https://www.ncbi.nlm.nih.gov/pmc/articles/PMC3517327/. Там не клинические исследования, но все же. Чуть бы побольше информации по Вашему кейсу. Ссылка на комментарий
syrovovec Опубликовано 31 марта, 2017 Поделиться Опубликовано 31 марта, 2017 Метотриксат дает много побочек, часто стоматит.... заменяют на ораву,там тоже много побочек, но иногда побочки от метотриксата уходят на ораве. И по дозировке узнайте сколько мг в 2,5 мл. Бывает 10 мг в 2 мл, а бывает 50. Если 50 то можно попробовать снизить, обсудив с лечащим врачем, если конечно у пациентки не обострение. Ссылка на комментарий
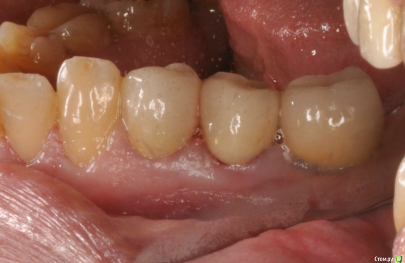
kriokov Опубликовано 1 апреля, 2017 Поделиться Опубликовано 1 апреля, 2017 Ревматоидный и метатрексат.(тоже просил помощи у коллег) Болт в обл 36, суперлайн. фото с коронкой полгода назад ортопед сделалМне кажется свищи, это имплантат коронально "голый ", и слизистая тонкая, хотя всегда возможны другие факторы. 1 Ссылка на комментарий
Рекомендуемые сообщения
Для публикации сообщений создайте учётную запись или авторизуйтесь
Вы должны быть пользователем, чтобы оставить комментарий
Создать аккаунт
Зарегистрируйте новый аккаунт в нашем сообществе. Это очень просто!
Регистрация нового пользователяВойти
Уже есть аккаунт? Войти в систему.
Войти