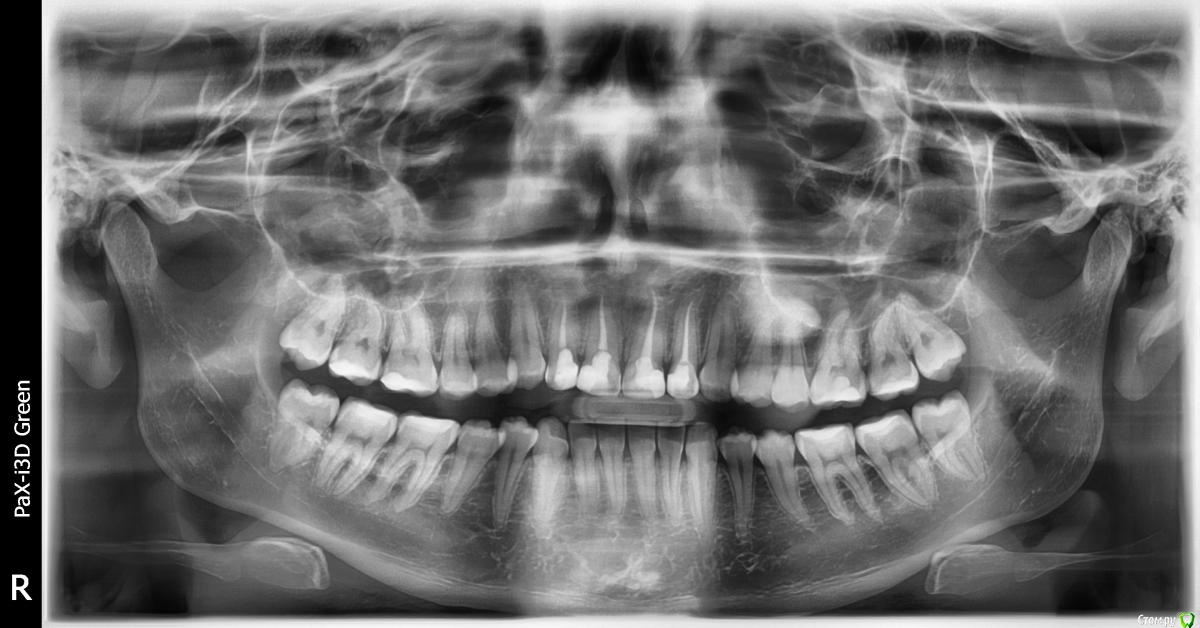
Puppy_Blue Опубликовано 27 марта, 2017 Поделиться Опубликовано 27 марта, 2017 Здравствуйте. Уважаемые врачи, помогите, пожалуйста, разобраться в том "кто прав, а кто виноват". Один врач-стоматолог говорит "есть штифты на передних зубах", другой - нет. Или может быть по этому снимку вообще невозможно увидеть их наличие или отсутствие? Ссылка на комментарий
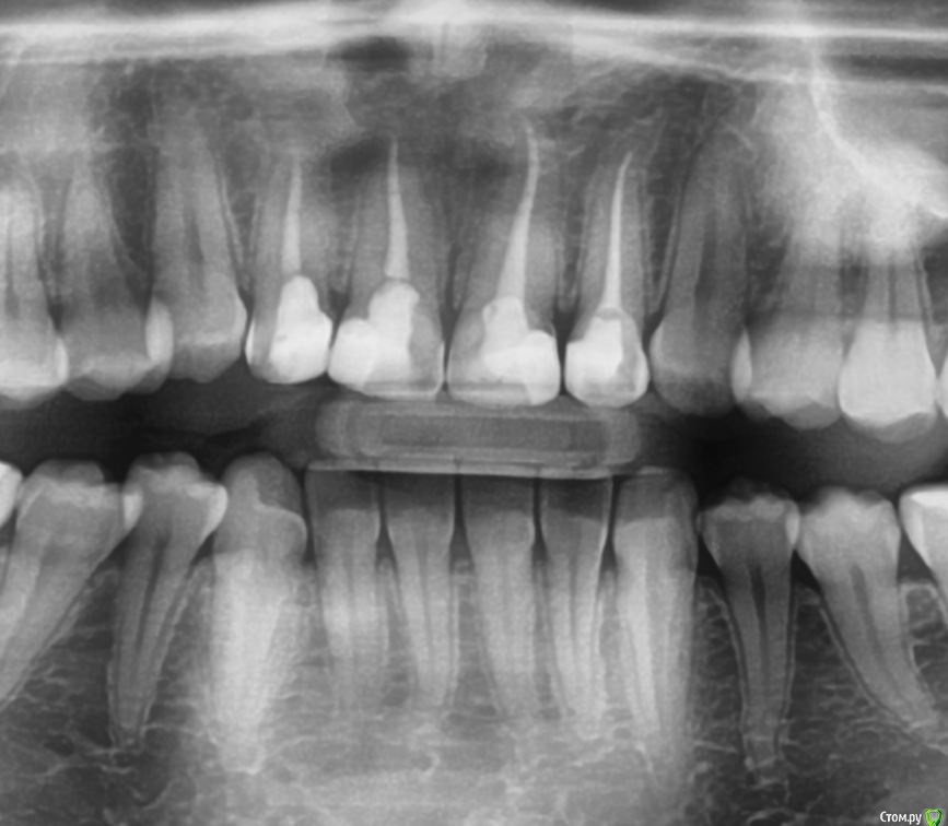
shishok Опубликовано 27 марта, 2017 Поделиться Опубликовано 27 марта, 2017 Штифтов не вижу. 4 Ссылка на комментарий
Карен Аванесов Опубликовано 27 марта, 2017 Поделиться Опубликовано 27 марта, 2017 Какие штифты? Гуттаперчевые или Стекловолоконные? И уточните приз за правильный ответ. 2 Ссылка на комментарий
Zlata-doctor Опубликовано 27 марта, 2017 Поделиться Опубликовано 27 марта, 2017 штифтов нет. А надо? 1 Ссылка на комментарий
Puppy_Blue Опубликовано 28 марта, 2017 Автор Поделиться Опубликовано 28 марта, 2017 Собралась коронки ставить. В одной клинике сказали, что просто зуб обточить и можно коронки ставить. В другой - надо штифты ставить, восстанавливать пломбировочным материалом зуб, обтачивать под культю и коронки.Исходя из того, что штифта все таки нет, можно еще такой вопрос задать: что в моем случае лучше - стандартный штифт или культевая вкладка? И в чем преимущества коронок сделанных на установке Sirona, кроме быстроты? Ссылка на комментарий
AndyAndy Опубликовано 28 марта, 2017 Поделиться Опубликовано 28 марта, 2017 Я ортопед, выскажу своё мнение. Зубы восстановлены на 70% пломбами, тут однозначно коронки и однозначно культевые вкладки. Под установкой Сирона скорее всего предполагается кад/кам изготовление. Тут есть ньюанс по прозрачности этих коронок, а именно проницаемость для культевых вкладок. Вкладки лучше делать из драгметаллического сплава (если бюджет позволяет), они желтоватого цвета и будет норм. Обсудите с вашим доктором эти вопросы 1 1 Ссылка на комментарий
Puppy_Blue Опубликовано 28 марта, 2017 Автор Поделиться Опубликовано 28 марта, 2017 Я ортопед, выскажу своё мнение. Зубы восстановлены на 70% пломбами, тут однозначно коронки и однозначно культевые вкладки. Под установкой Сирона скорее всего предполагается кад/кам изготовление. Тут есть ньюанс по прозрачности этих коронок, а именно проницаемость для культевых вкладок. Вкладки лучше делать из драгметаллического сплава (если бюджет позволяет), они желтоватого цвета и будет норм. Обсудите с вашим доктором эти вопросы Спасибо за ваше мнение. Стоматолог предлагает только штифтовые культевы вкладки Zi Sirona (в плане лечения стоит) и на них цельнокерамические коронки Sirona. Это не лучший вариант? Просто не очень Вас поняла. Хотелось бы сделать максимально красиво и долговечно. Ссылка на комментарий
StomV Опубликовано 28 марта, 2017 Поделиться Опубликовано 28 марта, 2017 На мой взгляд максимально красиво и долговечно были бы стекловолоконные штифты,и безметалловые коронки из дисиликата лития. Ссылка на комментарий
AndyAndy Опубликовано 28 марта, 2017 Поделиться Опубликовано 28 марта, 2017 Спасибо за ваше мнение. Стоматолог предлагает только штифтовые культевы вкладки Zi Sirona (в плане лечения стоит) и на них цельнокерамические коронки Sirona. Это не лучший вариант? Просто не очень Вас поняла. Хотелось бы сделать максимально красиво и долговечно.По материалам культевые вкладки можно разделить на металлические и неметаллические (циркониевые в частности). Металлические можно разделять на: из благородных металлов (золото:серебро:палладий и тд), и неблагородных (никель:кобальт:хром). Из золота имеют желтый цвет, из никеля - темно-серый. Коронки вам будут делать цельнокерамические, они имеют определенную светопроводимость (прозрачность). Серые вкладки будут фонить изнутри темным цветом. Мой выбор под цельнокерамические коронки - вкладки из драгметаллов. Из циркония культевые вкладки делать категорически не рекомендую 1 Ссылка на комментарий
Puppy_Blue Опубликовано 28 марта, 2017 Автор Поделиться Опубликовано 28 марта, 2017 (изменено) По материалам культевые вкладки можно разделить на металлические и неметаллические (циркониевые в частности). Металлические можно разделять на: из благородных металлов (золото:серебро:палладий и тд), и неблагородных (никель:кобальт:хром). Из золота имеют желтый цвет, из никеля - темно-серый. Коронки вам будут делать цельнокерамические, они имеют определенную светопроводимость (прозрачность). Серые вкладки будут фонить изнутри темным цветом.Мой выбор под цельнокерамические коронки - вкладки из драгметаллов. Из циркония культевые вкладки делать категорически не рекомендуюМожете, пожалуйста, пояснить почему не рекомендуете?(вкладки из диоксида циркония, если есть какая-то разница) Просто тогда я в полном тупике. Это наиболее приличный вариант, который мне могут предложить. В других клиниках вкладки ценой 1000-1500 р., сомневаюсь, что это драгметаллы)И еще вопрос, вкладки обязательно на все 4 зуба делать или можно обойтись крайними? Изменено 28 марта, 2017 пользователем Puppy_Blue Ссылка на комментарий
AndyAndy Опубликовано 28 марта, 2017 Поделиться Опубликовано 28 марта, 2017 (изменено) Можете, пожалуйста, пояснить почему не рекомендуете?(вкладки из диоксида циркония, если есть какая-то разница) Просто тогда я в полном тупике. Это наиболее приличный вариант, который мне могут предложить. В других клиниках вкладки ценой 1000-1500 р., сомневаюсь, что это драгметаллы)И еще вопрос, вкладки обязательно на все 4 зуба делать или можно обойтись крайними?Мое мнение относительно циркониевых вкладок - они неэластичны, могут действовать как клин на более "гибкую" естественную ткань зуба, тем самым вызывая трещины и переломы корней зубов. У того, кто их делает, другое мнение на этот счёт. Решать вам.Цены на вкладки из циркония и драгметаллы обычно практически одинаковые. За 1-1,5т это точно никель/хром Делать на все 4 зуба, они у вас сильно восстановлены композитом Изменено 28 марта, 2017 пользователем AndyAndy 1 Ссылка на комментарий
Puppy_Blue Опубликовано 28 марта, 2017 Автор Поделиться Опубликовано 28 марта, 2017 Мое мнение относительно циркониевых вкладок - они неэластичны, могут действовать как клин на более "гибкую" естественную ткань зуба, тем самым вызывая трещины и переломы корней зубов. У того, кто их делает, другое мнение на этот счёт. Решать вам.Цены на вкладки из циркония и драгметаллы обычно практически одинаковые. За 1-1,5т это точно никель/хром Делать на все 4 зуба, они у вас сильно восстановлены композитомСпасибо большое, теперь понятно. А в интернете только вкладки из циркония нахваливают. Голова кругом. В прайсе нашла расценки на вкладки из благородных металлов, а врач даже не предложил. Ссылка на комментарий
Puppy_Blue Опубликовано 29 марта, 2017 Автор Поделиться Опубликовано 29 марта, 2017 Уважаемые врачи, гложут сомнения. Может все таки не надо зуб под ноль и сделать на стекловолоконных штифтах? Нерв удален в 2005, последняя переделка была в 2010 - вроде нормально стоит) Или совсем нечего тут жалеть? Зубы один раз и на всю жизнь, да и вопрос очень дорогой. Хочется все по уму сделать. Развейте сомнения, пожалуйста. Ссылка на комментарий
Doc Опубликовано 29 марта, 2017 Поделиться Опубликовано 29 марта, 2017 Сильно зависит от конкретных рук и головы. Кто-то сделает стекловолоконные штифты и безметалловые коронки хорошо и надолго, а кто-то вкладки с коронками сделает плохо. Так что вопрос не к нам, а к тому, кто делать будет. 2 Ссылка на комментарий
Puppy_Blue Опубликовано 29 марта, 2017 Автор Поделиться Опубликовано 29 марта, 2017 Сильно зависит от конкретных рук и головы. Кто-то сделает стекловолоконные штифты и безметалловые коронки хорошо и надолго, а кто-то вкладки с коронками сделает плохо. Так что вопрос не к нам, а к тому, кто делать будет.В том то и дело, что в клинике два ортопеда. Один специализируется на вкладках, причем только на диоксиде циркония, другой - делает коронки после терапевта и штифтов. Цена вопроса примерно одинаковая. Сами они ни на каком варианте не настаивают. Я в полном замешательстве... Ссылка на комментарий
Doc Опубликовано 29 марта, 2017 Поделиться Опубликовано 29 марта, 2017 В том то и дело, что в клинике два ортопеда. Один специализируется на вкладках, причем только на диоксиде циркония, другой - делает коронки после терапевта и штифтов. Цена вопроса примерно одинаковая. Сами они ни на каком варианте не настаивают. Я в полном замешательстве...Оба варианта не айс. 1 Ссылка на комментарий
Puppy_Blue Опубликовано 29 марта, 2017 Автор Поделиться Опубликовано 29 марта, 2017 Оба варианта не айс.А что меньшее из двух зол?Идеальный вариант я так понимаю, как предлагали выше: вкладка из благородного сплава + цельнокерамические коронки? Если так, то какой сплав для вкладок лучше и коронки (диоскид циркония или дисиликат лития)? Хоть знать к чему стремиться и чего искать) Ссылка на комментарий
Doc Опубликовано 29 марта, 2017 Поделиться Опубликовано 29 марта, 2017 А что меньшее из двух зол?Идеальный вариант я так понимаю, как предлагали выше: вкладка из благородного сплава + цельнокерамические коронки? Если так, то какой сплав для вкладок лучше и коронки (диоскид циркония или дисиликат лития)? Хоть знать к чему стремиться и чего искать)Идеальный по эстетике - стекловолокно и на нем безметалловая керамика. Но это работа требует довольно высокого уровня, как врача, так и техника, судя по вышесказанному этого уровня в этой клинике нет. Второй вариант - золотоплатиновый сплав вкладки и коронка из диоксида циркония. Никакой литий там не пойдет, т.к. он прозрачный и менее прочный. Диоксид не прозрачный и полностью закроет собой вкладку, чтобы она сквозь него не светила. 1 Ссылка на комментарий
Puppy_Blue Опубликовано 29 марта, 2017 Автор Поделиться Опубликовано 29 марта, 2017 Идеальный по эстетике - стекловолокно и на нем безметалловая керамика. Но это работа требует довольно высокого уровня, как врача, так и техника, судя по вышесказанному этого уровня в этой клинике нет. Второй вариант - золотоплатиновый сплав вкладки и коронка из диоксида циркония. Никакой литий там не пойдет, т.к. он прозрачный и менее прочный. Диоксид не прозрачный и полностью закроет собой вкладку, чтобы она сквозь него не светила. Там я как поняла техника и нет, все на какой-то установке доктор делает - на второй день все готово. Это хороший вариант? И в этом случае что лучше: цирконий или литий? Про второй вариант все понятно. Ссылка на комментарий
Doc Опубликовано 29 марта, 2017 Поделиться Опубликовано 29 марта, 2017 Там я как поняла техника и нет, все на какой-то установке доктор делает - на второй день все готово. Это хороший вариант? И в этом случае что лучше: цирконий или литий? Про второй вариант все понятно.Не путайте соленое с жареным. На установке только коронку можно сделать, да и то не все стадии. Про литий уже написал. 1 Ссылка на комментарий
Puppy_Blue Опубликовано 29 марта, 2017 Автор Поделиться Опубликовано 29 марта, 2017 Идеальный по эстетике - стекловолокно и на нем безметалловая керамика. Я на счет лития здесь уточнила. Значит в любом случае только цирконий? Ссылка на комментарий
Doc Опубликовано 29 марта, 2017 Поделиться Опубликовано 29 марта, 2017 Я на счет лития здесь уточнила. Значит в любом случае только цирконий?Литий прозрачный и хрупкий, цирконий непрозрачный и твердый. Что еще сказать-то? 1 Ссылка на комментарий
Puppy_Blue Опубликовано 29 марта, 2017 Автор Поделиться Опубликовано 29 марта, 2017 Литий прозрачный и хрупкий, цирконий непрозрачный и твердый. Что еще сказать-то?Все, огромное спасибо за исчерпывающие ответы! Понадеюсь на профессионализм врачей и остановлюсь на СВШ и диоксиде циркония - не зря же самая дорогая клиника и доктор к которому фиг запишешься. Спасибо еще раз, очень помогли. Доброй ночи. Ссылка на комментарий
Рекомендуемые сообщения
Для публикации сообщений создайте учётную запись или авторизуйтесь
Вы должны быть пользователем, чтобы оставить комментарий
Создать аккаунт
Зарегистрируйте новый аккаунт в нашем сообществе. Это очень просто!
Регистрация нового пользователяВойти
Уже есть аккаунт? Войти в систему.
Войти