Maggie78rus Опубликовано 19 марта, 2017 Поделиться Опубликовано 19 марта, 2017 Обратилась в Клинику для исправления установленного мне моста, сказали, что по "ортопедическим показаниям" надо удалить стоящие у меня имплантаты и установить 4 зигомы. За год не смогли сделать протез, подходящий по прикусу, теперь к телефону не подходят, что делать- ума не приложу Обращалась за помощью к гнатолога, врач разбил выданные регистраты, чтобы не смогли проверить. Опять надо делать исследования... у кого-нибудь есть опыт установки протеза на зигомы на деформированную челюсть? Не знаю, как прикрепить фото и исследования гнатолога и кт суставов Ссылка на комментарий
Maggie78rus Опубликовано 20 марта, 2017 Автор Поделиться Опубликовано 20 марта, 2017 (изменено) https://drive.google.com/open?id=0B5M5deCMkPdRdExpV1RRdTRGZ3MВот, присоединила некоторые фотографии. Прошу извинить за демонстрируемый кошмар, поверьте, мне ещё и больно плюс я не могу держать равновесие Разыскиваю хорошего ортопеда в Санкт-Петербурге. Слышала много вариантов лечения вплоть до ортогнатологической операции и переделки конструкции заново на других имплантатах. Изменено 20 марта, 2017 пользователем Maggie78rus Ссылка на комментарий
red_butler Опубликовано 20 марта, 2017 Поделиться Опубликовано 20 марта, 2017 Вы разделом ошиблись, перенесу в ортопедию... Ссылка на комментарий
Maggie78rus Опубликовано 20 марта, 2017 Автор Поделиться Опубликовано 20 марта, 2017 Вы разделом ошиблись, перенесу в ортопедию...Спасибо, только присоветуйте что/нибудь, лучше хороших ортопеда+ортодонта + протезиста Ссылка на комментарий
Bier Опубликовано 20 марта, 2017 Поделиться Опубликовано 20 марта, 2017 ортопед это и есть "протезист" Ортодонт вам не нужен. Зубов то нет. Честно говоря данных мало. Ссылка на комментарий
red_butler Опубликовано 20 марта, 2017 Поделиться Опубликовано 20 марта, 2017 Честно говоря данных мало. Почему надо ставить зигомы не ясно.я так понял что их уже установили Ссылка на комментарий
Maggie78rus Опубликовано 20 марта, 2017 Автор Поделиться Опубликовано 20 марта, 2017 ортопед это и есть "протезист" Ортодонт вам не нужен. Зубов то нет. Честно говоря данных мало. Почему надо ставить зигомы не ясно.Мне тоже не совсем ясно, зачем мне удалили одни имплантаты и поставили на другие протез с такой же окклюзией. Все, конечно, путается в голове от этого нескончаемого кошмара и , извините, зубной боли, хотя зубов уже 2 года нет- потеряла после первого протезирования. Очень устала.Проблему с окклюзией, я получила 8 лет назад.Тогда я ничего не могла сделать, не могу сделать ничего и сейчас. Какое-то дежавю: милые стоматологи встречают меня с распростертыми объятиями, берут деньги, потом у них ничего не получается, т.к. все снимали анатомические слепки и по ним отливали мосты, а теперь протез... Никто не пользовался артикулятором и лицевой дугой. Я приходила к врачам, надеясь получить качественную стоматологическую помощь. Для установки скуловых имплантатов мне даже обещали использовать высокие шведские технологии трёхмерного моделирования... но, погрузив меня в медикаментозный сон, опять сняли оттиск и отлили протез по образу и подобию того, что я так стремилась исправить: страшного, маленького, заваленного то на один, то на другой бок.И так три раза. У меня отваливался то передний зуб, то клык...ничто не убеждало врача сделать дугу об'емнее...в конце-концов я настояла на диагностике у гнатолога, но диагностические модели разбили в окклюдаторе.В Клинике все врачи -специалисты широкого профиля да ещё и лекции читают, но мне-то они помочь не могут и не хотят: они уже получили все деньги, извините, обманом, а у меня ещё не стоит временный протез с нормальной окклюзией.Что делать? Ума не приложу! То, что зубов нет и ты не чувствуешь, как идёт нагрузка от зубов, думаю, неправда. Чувствуешь. Чувствуешь, как нёбный шов уходит в сторону...Попросила собрать консилиум врачей, чтобы помочь советами - результат один- делают оттиск, потом делают вид, что моделируют на воске, иногда получается здорово! Но потом ставят все тот же оттиск, но под другим углом Ссылка на комментарий
Maggie78rus Опубликовано 20 марта, 2017 Автор Поделиться Опубликовано 20 марта, 2017 У меня центр верхней и нижней челюстей не совпадают. Не знаю было так или нет. Потом у меня небо не плоское и деформированное от неправильной нагрузки на мосты , а теперь его протез на зигомах дожимает, больно Ссылка на комментарий
Maggie78rus Опубликовано 21 марта, 2017 Автор Поделиться Опубликовано 21 марта, 2017 Ребята, девчата! Давайте, выручайте! Сами же говорили, что на форуме есть специалисты, которым можно и нужно доверять! С меня опять просят денег за какие-то консультации! Денег космических!!!Все же Вы здесь под псевдонимами! Просто помогите, честно, пропадающих Ссылка на комментарий
Maggie78rus Опубликовано 30 марта, 2017 Автор Поделиться Опубликовано 30 марта, 2017 Состоявшая "дискуссия" лишний раз подтвердила, что Зигомам пациентам надо сказать НЕТ. Проблем они не решают, а лишь добавляют, особенно тяжело установить на них грамотную ортопедическую конструкцию: несмотря на то, что методика имплантации авторская и требует предварительной диагностики, четкого планирования и соблюдения Протокола проведения операции, недобросовестные хирурги вносят свое НОУ-ХАУ и превращают имплантат с пожизненной мировой гарантией в железяку, на которую гарантия вообще не распространяется и протез не устанавливается. Особенно хочется предостеречь всех желающих получить голливудскую улыбку от врача, который ГАРАНТИРУЕТ ее вам, просит заплатить в карман, не ведет медицинской документации... Ссылка на комментарий
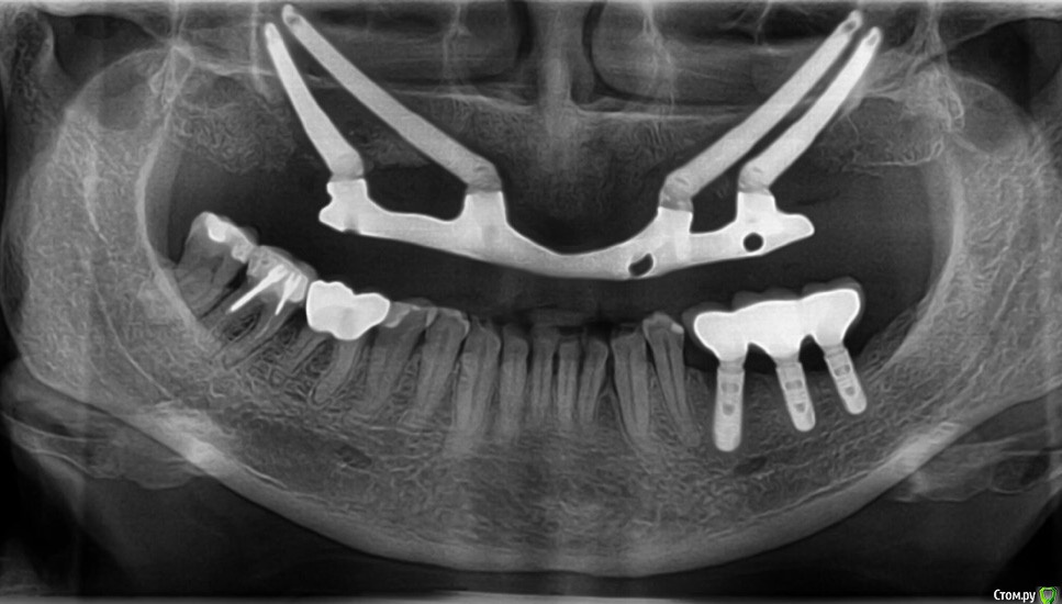
АнтонТЛТ Опубликовано 2 апреля, 2017 Поделиться Опубликовано 2 апреля, 2017 Выкладывайте оптг Ссылка на комментарий
Maggie78rus Опубликовано 2 апреля, 2017 Автор Поделиться Опубликовано 2 апреля, 2017 (изменено) Выкладывайте оптгСпасибо. Я первое фото с зеркалом не развернула Изменено 2 апреля, 2017 пользователем Maggie78rus Ссылка на комментарий
АнтонТЛТ Опубликовано 2 апреля, 2017 Поделиться Опубликовано 2 апреля, 2017 В личке Ссылка на комментарий
Bier Опубликовано 2 апреля, 2017 Поделиться Опубликовано 2 апреля, 2017 в личке Ссылка на комментарий
Maggie78rus Опубликовано 4 апреля, 2017 Автор Поделиться Опубликовано 4 апреля, 2017 (изменено) Еще один вопрос про зигомы Branemark от Nobel Biocare: смысл «всемирной пожизненной гарантии» не понятен. На сайте написано, что гарантия не распространяется на имплантат, установленный с нарушением Протокола. Как будут определять: нарушен протокол или нет?! Например, пациент установит имплантат в одном городе, а потом переедет в другой и придет в Клинику...а его не принимают Изменено 4 апреля, 2017 пользователем Maggie78rus Ссылка на комментарий
Рекомендуемые сообщения
Для публикации сообщений создайте учётную запись или авторизуйтесь
Вы должны быть пользователем, чтобы оставить комментарий
Создать аккаунт
Зарегистрируйте новый аккаунт в нашем сообществе. Это очень просто!
Регистрация нового пользователяВойти
Уже есть аккаунт? Войти в систему.
Войти