tineola Опубликовано 11 марта, 2017 Поделиться Опубликовано 11 марта, 2017 (изменено) Уважаемые врачи, здравствуйте! Мне 31 год, пол женский. Хронология:1. Ноябрь 2015 г. - септопластика и удаление кисты в левой гайморовой пазухе.2. Июль 2016 г. - со стороны этой же пазухи пролечены каналы 6-ки, через неск. дней удалена соседняя 7-ка (опустился почти до десны, беспокоил, ортодонты сошлись во мнении, что надо удалять).Через неделю появились незначительные боли в 6-ке, возникающие безотносительно нагрузки на зуб и еду. На прицельном рентгене корни 6-ки и лунка от 7го зуба были в порядке. Стоматолог уверял, что боль вызвана заживлением лунки от удаленного зуба и много других версий. Поэтому я ждала улучшений и терпела все это время.3. В последние недели боль усилилась: возникает при поворотах, наклонах головы, появились головные боли, головокружения, заложенность в носу. Сделала КТ конкретной области беспокоящего зуба, на которой видно новообразование в левой гайморовой пазухе, как бы лежащее на корнях беспокоящей 6-ки. Стоматологи предполагают, что киста от зуба мудрости (т.е. одонтогенная), возможно, рецидив первой. К посту прикрепила:1. ОПТГ (сделана до лечения 6-ки и удаления 7-ки, но после септопластики и удаления кисты).2. Фото из свежей КТ зубов с разных ракурсов, где хорошо видно новую кисту; ссылка на Яндекс-диск с архивом этого КТ (около 350 Мб) - https://yadi.sk/d/9omJkw6x3Efc6u3. Фото одной из проекций из старой КТ ОНП до септопластики, так выглядела старая киста. 4. К сожалению, результатов гистологии первой кисты у меня нет. В центре, где меня оперировали заключение не отдали, только сказали на словах, что все в результатах нормально. Попробую на руки получить...Очень интересует ваше мнение об увиденном на снимках.Правильно я понимаю: киста от зуба мудрости? удалять надо в ЧЛХ зуб с кистой вместе? Не пострадали ли от долгого ожидания решения проблемы корни 6-го зуба? Заранее большое спасибо за помощь! Изменено 11 марта, 2017 пользователем tineola Ссылка на комментарий
Bier Опубликовано 12 марта, 2017 Поделиться Опубликовано 12 марта, 2017 Это ретенционная киста, я сомневаюсь, что она связана с зубом и более того маловероятно, что боли связаны с этой кистой. Они не требуют хирургического лечения.зуб мудрости надо удалить, далее по обстоятельствам. 1 Ссылка на комментарий
tineola Опубликовано 13 марта, 2017 Автор Поделиться Опубликовано 13 марта, 2017 (изменено) Это ретенционная киста, я сомневаюсь, что она связана с зубом ...Спасибо за ответ! Сегодня удалось попасть к челюстно-лицевому хирургу.Изучили КТ, ОПТГ.Диагноз: Хронический одонтогенный верхнечелюстной синусит слева от 26 зуба. Хронический периодонтит 26 зуба. Киста верхнечелюстной пазухи слева. Ретенция и дистопия 28 зуба. (также на словах рассказал врач и на снимках показал очаги разряжения на небном корне 26го зуба). Предлагают: плановое хирургическое лечение: эндоскопическая гайморотомия слева, цистэктомия, РВК 26 зуба (как я поняла, ретроградное пломбирование с использованием МТА), удаление 28. Уважаемые врачи, прокомментируйте, пожалуйста, диагноз и план лечения. Насколько реально спасти 26й путем РВК? Огорчает еще, что большая часть пунктов хирургического лечения не проходит по ОМС Заранее спасибо! Изменено 13 марта, 2017 пользователем tineola Ссылка на комментарий
Bier Опубликовано 14 марта, 2017 Поделиться Опубликовано 14 марта, 2017 чтобы говорить о необходимости РВК - надо видеть нормальный снимок 26 зуба. Он не попадает в срез КТ на вашем скриншоте.Я бы ограничился удалением 28 зуба.С 26 - нужны доп снимки. 1 Ссылка на комментарий
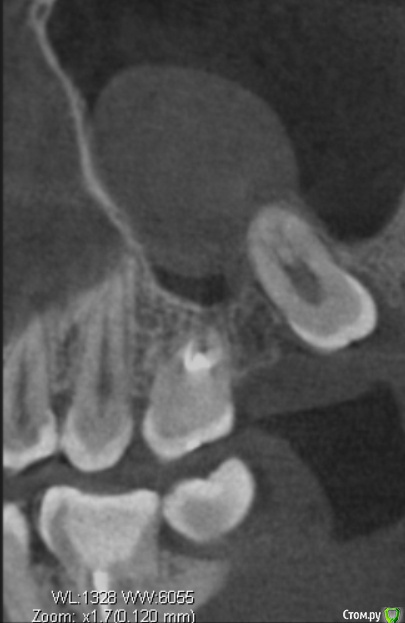
tineola Опубликовано 15 марта, 2017 Автор Поделиться Опубликовано 15 марта, 2017 (изменено) Сделала несколько скриншотов, прикрепляю к сообщению. Надеюсь, это то, что нужно.Может у кого-то из врачей будет время и возможность посмотреть КТ (ссылка в первом сообщении поста). Получила результаты гистологии первой кисты пазухи, которая год назад была удалена:Микроописание: Присланный материал представлен фрагментом полипозно-отечной слизистой оболочки, с концевым отделами слизисто-серозных желез. Эпителий слущен, гиалиоз базальных мембран, строма резко отечна, с диффузной лимфоцитарно-лейкоцитарной инфильтрацией. Патзаключение: хронический воспалительный процесс. Изменено 15 марта, 2017 пользователем tineola Ссылка на комментарий
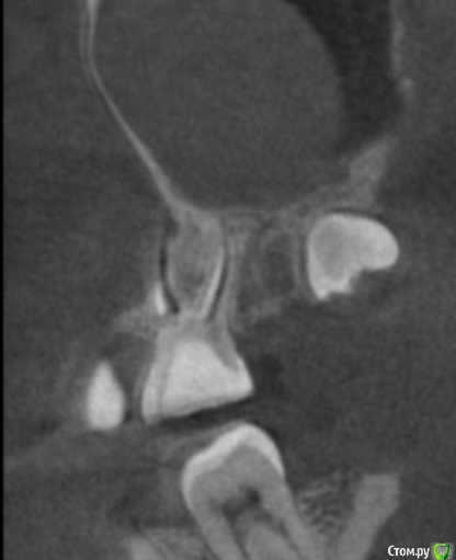
tineola Опубликовано 15 марта, 2017 Автор Поделиться Опубликовано 15 марта, 2017 Еще скриншоты. Другая проекция из КТ. Ссылка на комментарий
ПалСаныч Опубликовано 16 марта, 2017 Поделиться Опубликовано 16 марта, 2017 Выскажу свое личное мнение: киста в пазухе не от зуба. Обычная риногенная киста, которую должен лечить лор врач. РВК не спасет 26 зуб. А только угробит. Он вообще не при делах. 1 Ссылка на комментарий
tineola Опубликовано 16 марта, 2017 Автор Поделиться Опубликовано 16 марта, 2017 Выскажу свое личное мнение: киста в пазухе не от зуба. Обычная риногенная киста, которую должен лечить лор врач. РВК не спасет 26 зуб. А только угробит. Он вообще не при делах.Большое спасибо за ваше мнение. Не хотелось бы потерять зуб и делать не имеющие смысла хирургические операции. Скажите, есть ли на снимках вообще проблемы с 26м зубом, которые мне были озвучены (разряжение ткани в районе небного корня, периодонтит)? В чем тогда может быть причина болевых ощущение в 26м зубе? Ссылка на комментарий
Рекомендуемые сообщения
Для публикации сообщений создайте учётную запись или авторизуйтесь
Вы должны быть пользователем, чтобы оставить комментарий
Создать аккаунт
Зарегистрируйте новый аккаунт в нашем сообществе. Это очень просто!
Регистрация нового пользователяВойти
Уже есть аккаунт? Войти в систему.
Войти