Doc.o Опубликовано 9 марта, 2017 Поделиться Опубликовано 9 марта, 2017 Добрый день. Начинающий ортопед,беспокоит вопрос о недовольстве пациента по поводу промывного пространства. Считает,что зазор слишком большой в области премоляра. Мост из мк уже зафиксирован. Фото, к сожалению, нет... Вопрос. Возможно ли провести коррекцию в кресле? Плавиковая кислота, силан, композит? Хотя бы немного "удовлетворить" его пожелание, конечно, слишком сильно не добавляя материала близко к десне, для соблюдения гигиены.. Может кто сталкивался с похожим... Очень переживаю. Спасибо. Ссылка на комментарий
krokomot Опубликовано 9 марта, 2017 Поделиться Опубликовано 9 марта, 2017 В чем выражается это ваше слишком большое промывное пространство, без фото очень сложно вам чем-либо помочь, почему это решил пациет?, а для вас оно как большое или нормальное? Ссылка на комментарий
dok1 Опубликовано 9 марта, 2017 Поделиться Опубликовано 9 марта, 2017 Если получится-почему нет. Но всё одно - колхоз. Можно иногда уменьшить ширину жевательной поверхности. И это мнимо уменьшит ощущение нависания. Но всё одно - колхоз. Ссылка на комментарий
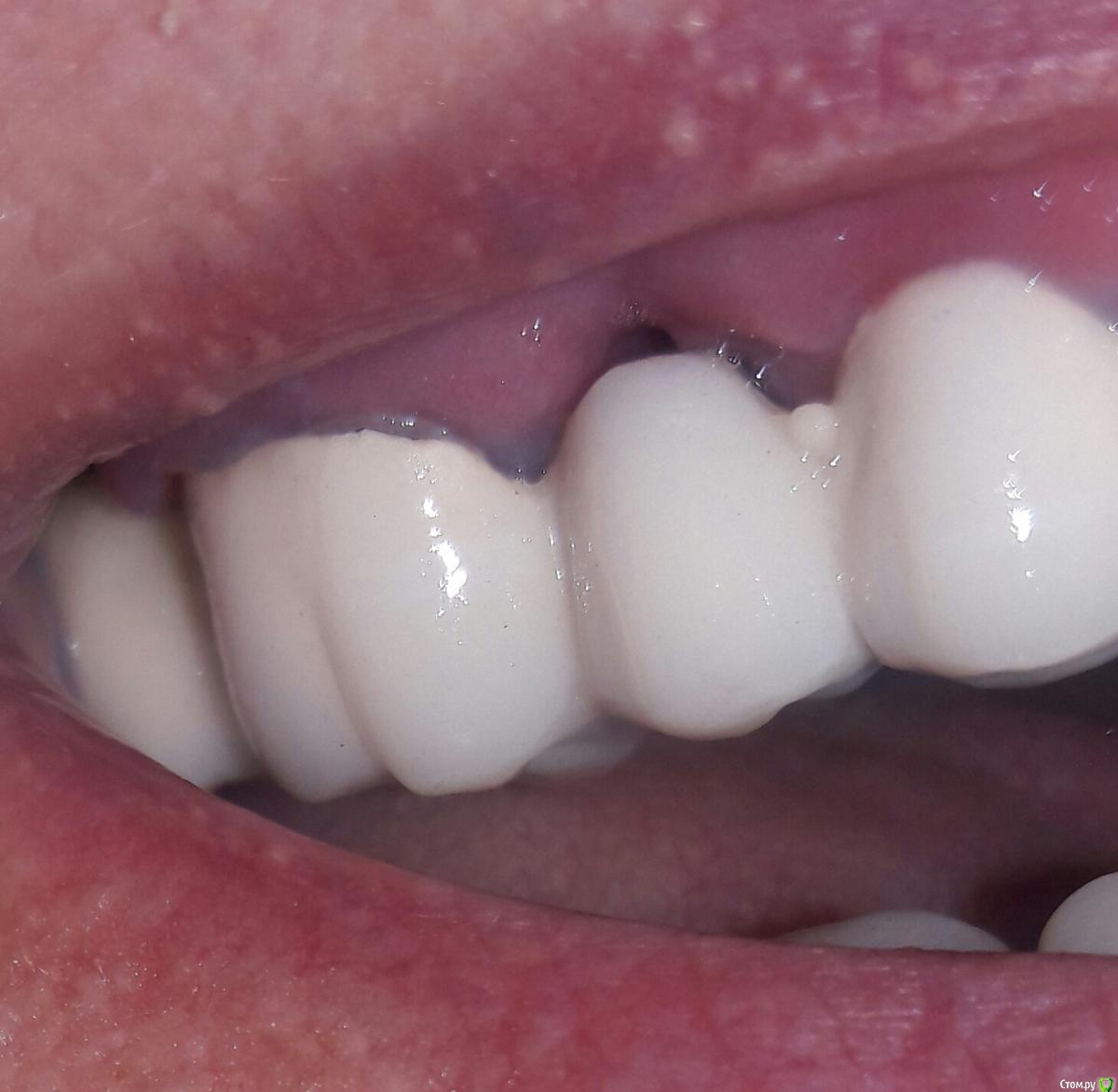
Doc.o Опубликовано 9 марта, 2017 Автор Поделиться Опубликовано 9 марта, 2017 В чем выражается это ваше слишком большое промывное пространство, без фото очень сложно вам чем-либо помочь, почему это решил пациет?, а для вас оно как большое или нормальное?Вот, как на фото, промывной тип. Второе фото не мое, нашла в интернете, приблизительно так, но меньше, конечно, зазор. Адаптация только начинается к протезу, имеется гингивит, есть ли смысл ждать, что десна немного в норму придет или рискнуть, попробовать композит?..Может есть фото, как вживую выглядит правильный промывной тип. Теперь мучаюсь, видимо, моя ошибка была все же,надо было попросить касательный тип сделать.. :/ Ссылка на комментарий
krokomot Опубликовано 9 марта, 2017 Поделиться Опубликовано 9 марта, 2017 Я бы снял и переделал. 1 Ссылка на комментарий
joker_61rus Опубликовано 9 марта, 2017 Поделиться Опубликовано 9 марта, 2017 (изменено) Очень большая промывная, я бы переделал, с компазитом получится колхоз, тут еще налипухи только не хватает. Попробуйте снять аккуратно, техник допечет промывную. Скорей всего делали сразу после удаления? Думаю слизистая еще уйдет даже.а лучше переделать полностью, прилегания на 16 нет. Изменено 9 марта, 2017 пользователем joker_61rus Ссылка на комментарий
DmitrySH Опубликовано 9 марта, 2017 Поделиться Опубликовано 9 марта, 2017 Адаптация только начинается к протезу, имеется гингивит, есть ли смысл ждать, что десна немного в норму придет или рискнуть, попробовать композит?..Может есть фото, как вживую выглядит правильный промывной тип. Теперь мучаюсь, видимо, моя ошибка была все же,надо было попросить касательный тип сделать.. :/ Сложно обсуждать без фото. Или оставить как есть, если с врачебной точки зрения все корректно сделано. Или переделать, если там действительно косяк вышел. Но уж никак не лепить композит Ссылка на комментарий
Doc.o Опубликовано 9 марта, 2017 Автор Поделиться Опубликовано 9 марта, 2017 Фото не мое, просто похожее поискала, но у него не совсем так, смысл передать хотела) поняла, буду думать тогда. Всем спасибо. Ссылка на комментарий
Карен Аванесов Опубликовано 9 марта, 2017 Поделиться Опубликовано 9 марта, 2017 Такую ситуацию можно не снимая мост устранить десневым трансплантатом. или пока подождать. Ссылка на комментарий
Stomart Опубликовано 10 марта, 2017 Поделиться Опубликовано 10 марта, 2017 Попадал в такие ситуации, композит отлетал через месяц. Снимал, переделывал. Ссылка на комментарий
DrNice Опубликовано 10 марта, 2017 Поделиться Опубликовано 10 марта, 2017 Сформируйте овоид и будет вам и пациенту счастье. Ссылка на комментарий
Rumata Опубликовано 10 марта, 2017 Поделиться Опубликовано 10 марта, 2017 (изменено) Лепить композит явно не стоит. Во-первых, плавиковая может попасть на слизистую. Во-вторых, отмоделировать промежуток плотно к десне, а потом отполировать врядли получится. А если не отполировать и не сделать плотную посадку - будет еще больше ретенции для остатков пищи и гингивит не пройдет. Думаю, придется переделывать. Изменено 10 марта, 2017 пользователем Rumata Ссылка на комментарий
Kiev_Dentist Опубликовано 10 марта, 2017 Поделиться Опубликовано 10 марта, 2017 Переделайте, пациент это оценит Ссылка на комментарий
Паращук Роман Опубликовано 10 марта, 2017 Поделиться Опубликовано 10 марта, 2017 Это не промывное,это-свисток. Нужно переделывать,тем более на 6ке явно не айс. Сформируйте овоид и будет вам и пациенту счастье. +1 Ссылка на комментарий
suballex Опубликовано 11 марта, 2017 Поделиться Опубликовано 11 марта, 2017 Адаптация только начинается к протезу, имеется гингивит, есть ли смысл ждать, что десна немного в норму придет или рискнуть, попробовать композит?..Может есть фото, как вживую выглядит правильный промывной тип. Теперь мучаюсь, видимо, моя ошибка была все же,надо было попросить касательный тип сделать.. :/Эээ.. А как Вы с гингивитом делаете постоянные протезы? Смелое решение. Не очень умное, но смелое. Если у Вас промывное, как на фото - переделывайте. Композит - не выход. Сделаете пациенту сейф для бяки разной. Еще и не долговечный. В общем, это не решение проблемы, а растягивание удовольствия.Снять, сделать временный.Решить вопросы с десной.Сформировать овоид.Сделать нормальный протез. Ссылка на комментарий
molchanoff Опубликовано 11 марта, 2017 Поделиться Опубликовано 11 марта, 2017 аир флоу пару раз продуть с перерывом в 4-5 дней Ссылка на комментарий
Рекомендуемые сообщения
Для публикации сообщений создайте учётную запись или авторизуйтесь
Вы должны быть пользователем, чтобы оставить комментарий
Создать аккаунт
Зарегистрируйте новый аккаунт в нашем сообществе. Это очень просто!
Регистрация нового пользователяВойти
Уже есть аккаунт? Войти в систему.
Войти