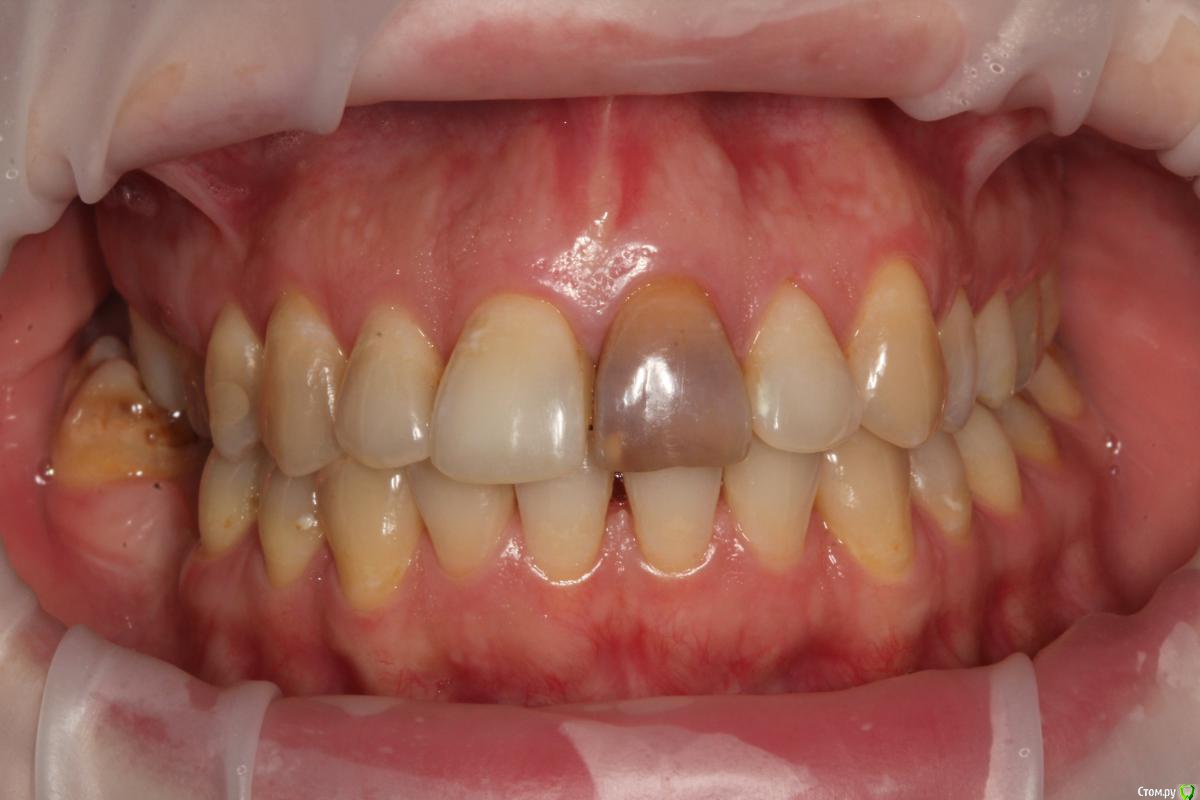
makinos Опубликовано 19 марта, 2017 Поделиться Опубликовано 19 марта, 2017 Почему нельзя ставить винир на депульпированный зуб? Если есть эмаль и терапевтические реставрации можно перекрыть, не вижу причин убирать твердые ткани на небной/язычной поверхности. Буду очень признателен, если Вы, как профессионал, объясните мне почему так делать нельзя. Согласен с Mailze. Жалко было пилить небную поверхность с трепанационным отверстием- сделал винир emax. Будем наблюдать, что получится) Ссылка на комментарий
suballex Опубликовано 20 марта, 2017 Поделиться Опубликовано 20 марта, 2017 Почему нельзя ставить винир на депульпированный зуб? Если есть эмаль и терапевтические реставрации можно перекрыть, не вижу причин убирать твердые ткани на небной/язычной поверхности. Буду очень признателен, если Вы, как профессионал, объясните мне почему так делать нельзя. В том то и дело, что на рефракторе есть возможность полностью перекрыть любой цвет культи, Анастасия Вам продемонстрировала, как закрывала металлические вкладки. Имаксом перекрыть вкладки мне не удавалось, рефракторм неоднократно.Напомните мне,как профессионал, для чего на депульпированные зубы предпочтительнее изготовить непрямую реставрацию? Ну и, опять-же как профессионал, скажите - много ли останется эмали, когда стоит задача перекрытия интенсивного прокрашивания?Если конкретно вам не удавалось перекрыть цвет Имаксом, это не показатель вовсе. Это результат ошибки врача и техника. Напомню что, при прочих равных условиях, рефрактор более прозрачен, чем Имакс. Если конкретно вам удавалось перекрыть цвет рефрактором, это означает, что конкретно у вас и вашего техника больше опыта работы с рефрактором.Makinos, трепанационные отверстия могут быть очень разные. Вы серьезно считаете, что трепанационное отверстие, после РедРашенЦемент, будет такого малого объема, что его жалко будет перекрыть коронкой? Нет, правда? Ведь одно дело - трепанационное отверстие, после первичного эндо Ильи Мера, и совсем другое - после РФ в эксклюзивном исполнении от районной поликлиники.Впрочем, не буду спорить. Илья не дал нам фото, для ознакомления с конкретной ситуацией. А значит, мы гадаем на кофейной гуще. Вот Анастасия - фото показала. Отличная работа. Достижимая только тогда, когда опыта работы с рефрактором деть некуда. Лично я, добиваюсь подобного (сделаю себе комплимент)) результата используя ДЦ и вкладки из драг.сплава. Рефрактор, в подобной ситуации, мой техник не вывезет. 4 Ссылка на комментарий
Mailze Опубликовано 20 марта, 2017 Поделиться Опубликовано 20 марта, 2017 Напомните мне,как профессионал, для чего на депульпированные зубы предпочтительнее изготовить непрямую реставрацию? Ну и, опять-же как профессионал, скажите - много ли останется эмали, когда стоит задача перекрытия интенсивного прокрашивания?Если конкретно вам не удавалось перекрыть цвет Имаксом, это не показатель вовсе. Это результат ошибки врача и техника. Напомню что, при прочих равных условиях, рефрактор более прозрачен, чем Имакс. Если конкретно вам удавалось перекрыть цвет рефрактором, это означает, что конкретно у вас и вашего техника больше опыта работы с рефрактором.Makinos, трепанационные отверстия могут быть очень разные. Вы серьезно считаете, что трепанационное отверстие, после РедРашенЦемент, будет такого малого объема, что его жалко будет перекрыть коронкой? Нет, правда? Ведь одно дело - трепанационное отверстие, после первичного эндо Ильи Мера, и совсем другое - после РФ в эксклюзивном исполнении от районной поликлиники.Впрочем, не буду спорить. Илья не дал нам фото, для ознакомления с конкретной ситуацией. А значит, мы гадаем на кофейной гуще. Вот Анастасия - фото показала. Отличная работа. Достижимая только тогда, когда опыта работы с рефрактором деть некуда. Лично я, добиваюсь подобного (сделаю себе комплимент)) результата используя ДЦ и вкладки из драг.сплава. Рефрактор, в подобной ситуации, мой техник не вывезет. Я любитель. Спасибо за развернутый и понятный ответ. Ссылка на комментарий
makinos Опубликовано 20 марта, 2017 Поделиться Опубликовано 20 марта, 2017 Makinos, трепанационные отверстия могут быть очень разные. Вы серьезно считаете, что трепанационное отверстие, после РедРашенЦемент, будет такого малого объема, что его жалко будет перекрыть коронкой? Нет, правда? Ведь одно дело - трепанационное отверстие, после первичного эндо Ильи Мера, и совсем другое - после РФ в эксклюзивном исполнении от районной поликлиники. Согласен с Вами. Все зависит от ситуации. В моем случае было маленькое отверстие после травмы. На резорциненный зуб я бы тоже сделал коронку. Ссылка на комментарий
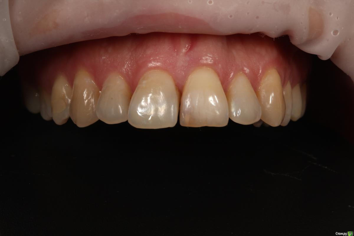
Ibulat_1986 Опубликовано 20 марта, 2017 Поделиться Опубликовано 20 марта, 2017 При адекватном состоянии периапикальных тканей можно провести эндоотбеливание по протоколу под Rg контролем и облегчить технику жизнь.В данном случае изначально планировались керамические реставрации на фронтальные резцы, но, в итоге, пациента устроил результат после отбеливание. К сожалению, на реколл пациент не явился. 2 Ссылка на комментарий
makinos Опубликовано 21 марта, 2017 Поделиться Опубликовано 21 марта, 2017 (изменено) Хороший результат после эндоотбеливания. Ibulat_1986, можно ли быть уверенным, что окрашивание не вернется потом, под адгезивной реставрацией? Паскаль Магне рекомендует оставлять доступ в случае рецидива. Как быть с коронкой в этом случае? Или планировали виниры? Изменено 21 марта, 2017 пользователем makinos Ссылка на комментарий
dentikl Опубликовано 22 марта, 2017 Поделиться Опубликовано 22 марта, 2017 При адекватном состоянии периапикальных тканей можно провести эндоотбеливание. резекции дентина не было?исключительно системой отбеливания?Что использовали и чем защищались?Зуб был прокрашен резорцином ? Ссылка на комментарий
Doc Опубликовано 22 марта, 2017 Поделиться Опубликовано 22 марта, 2017 Не забывайте это могут быть виниры 360Вот убей никак не могу понять кому и зачем понадобилось безметалловые коронки, которые делались десятилетиями и горя не знали, вдруг называть "виниры 360"? )) (Я помню, что изобрел этот термин Фрадеани, а Бабурову он очень понравился, но все же...) С тем же успехом можно виниры называть "фронтальными коронками"...В свое время, когда появились "ультраниры" я предсказал появление "нано-виниров". Думал, что пошутил, но этот бред уже через месяц висел на билбордах по всему Питеру. До чего же достало это маркетинговое жонглирование словами, попытка запудрить мозги пациентам и срубить на этом бабло... Слов нет... Ссылка на комментарий
Doc Опубликовано 22 марта, 2017 Поделиться Опубликовано 22 марта, 2017 По теме топика полностью согласен с предыдущими ораторами на тему того, что на резорциненные зубы виниры не делаются априори. А если уж делаются по какой-то причине, то нужно такие вещи с техником обсуждать на берегу и если техник берется, то дальше его проблемы как он будет в цвет попадать. Но хороший техник скорее не подпишется на такой блудняк. Была у меня пациентка, которой я на клыки резорциненные поставил в свое время два винира. До сих пор стыдно переклеивать их раз в два года. Предложил переделать, так пока не хочет. Так что прячем глаза и клеим заново уже много лет... Ссылка на комментарий
krokomot Опубликовано 22 марта, 2017 Поделиться Опубликовано 22 марта, 2017 (изменено) Вот убей никак не могу понять кому и зачем понадобилось безметалловые коронки, которые делались десятилетиями и горя не знали, вдруг называть "виниры 360"? )) (Я помню, что изобрел этот термин Фрадеани, а Бабурову он очень понравился, но все же...) С тем же успехом можно виниры называть "фронтальными коронками"...В свое время, когда появились "ультраниры" я предсказал появление "нано-виниров". Думал, что пошутил, но этот бред уже через месяц висел на билбордах по всему Питеру. До чего же достало это маркетинговое жонглирование словами, попытка запудрить мозги пациентам и срубить на этом бабло... Слов нет...Эмиль Гургенович, лично я для себя разделяю, виниры, 3\4 коронки, они же неполные коронки, они же виниры 360 и полные коронки. Некоторые вещи иногда имеют несколько названий исходя из своих особенностей и что бых как то разделять приходится выдумывать ноые названия. Учитывая современные тенденции и капитализм в ходу все новое и суперсовременное, то есть в тренде. Поэтому и возникает сумятица в терминах. Считаю это не главным самое важное чтобы собеседники понималь о чем речь. Изменено 22 марта, 2017 пользователем krokomot Ссылка на комментарий
Doc Опубликовано 22 марта, 2017 Поделиться Опубликовано 22 марта, 2017 Эмиль Гургенович, лично я для себя разделяю, виниры, 3\4 коронки, они же неполные коронки, они же виниры 360 и полные коронки. Некоторые вещи иногда имеют несколько названий исходя из своих особенностей и что бых как то разделять приходится выдумывать ноые названия. Учитывая современные тенденции и капитализм в ходу все новое и суперсовременное, то есть в тренде. Поэтому и возникает сумятица в терминах. Считаю это не главным самое важное чтобы собеседники понималь о чем речь.В том и дело, что даже не все врачи понимают о чем идет речь, а пациенты и вовсе запутываются, слыша винир 360. Для них это как квадратный круг. Капитализм капитализмом, но совесть тоже нужно иметь и не высасывать из пальца "новые" термины там, где ничего нового в них нет. 1 Ссылка на комментарий
DmitrySH Опубликовано 22 марта, 2017 Поделиться Опубликовано 22 марта, 2017 В практике использую простой термин "керамическая реставрация" , причем это может быть и винир и оверлей и все что угодно из пресса Ссылка на комментарий
molchanoff Опубликовано 23 марта, 2017 Поделиться Опубликовано 23 марта, 2017 Все же винир, это прежде всего конструкция которая фиксируется адгезивно, это и задает его название, а не то сколько поверхностей он перекрывает. Ссылка на комментарий
dentikl Опубликовано 23 марта, 2017 Поделиться Опубликовано 23 марта, 2017 Все же винир, это прежде всего конструкция которая фиксируется адгезивно, это и задает его название, а не то сколько поверхностей он перекрывает.а вкладка? Ссылка на комментарий
PaulG Опубликовано 23 марта, 2017 Поделиться Опубликовано 23 марта, 2017 В том и дело, что даже не все врачи понимают о чем идет речь, а пациенты и вовсе запутываются, слыша винир 360. Для них это как квадратный круг. Капитализм капитализмом, но совесть тоже нужно иметь и не высасывать из пальца "новые" термины там, где ничего нового в них нет. Ссылка на комментарий
Рекомендуемые сообщения
Для публикации сообщений создайте учётную запись или авторизуйтесь
Вы должны быть пользователем, чтобы оставить комментарий
Создать аккаунт
Зарегистрируйте новый аккаунт в нашем сообществе. Это очень просто!
Регистрация нового пользователяВойти
Уже есть аккаунт? Войти в систему.
Войти