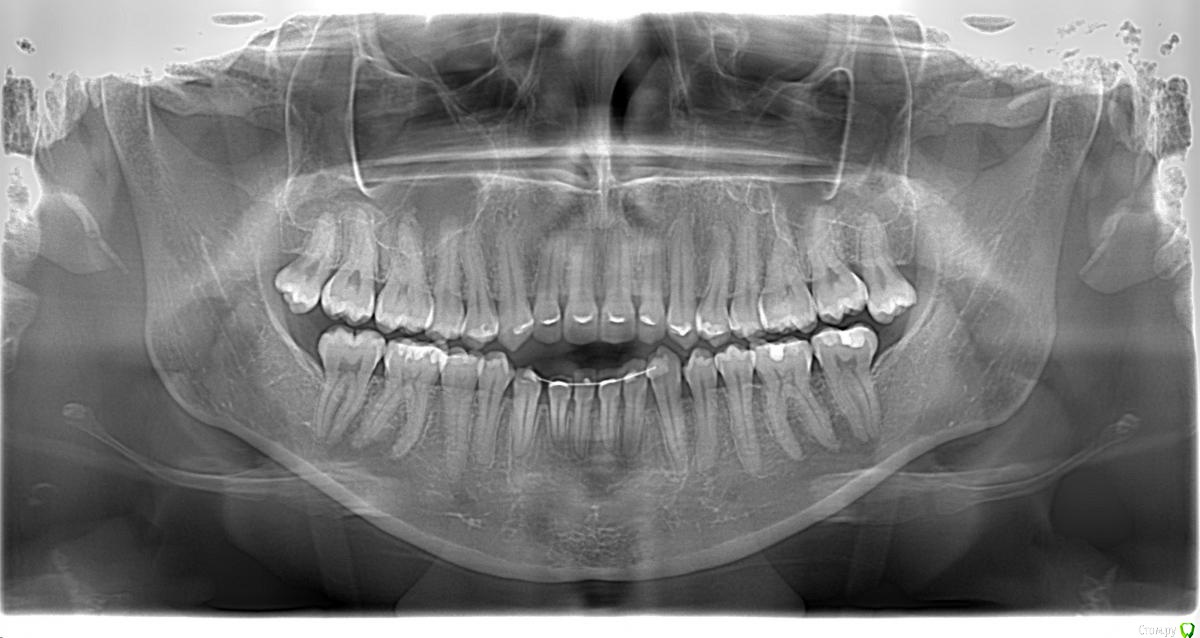
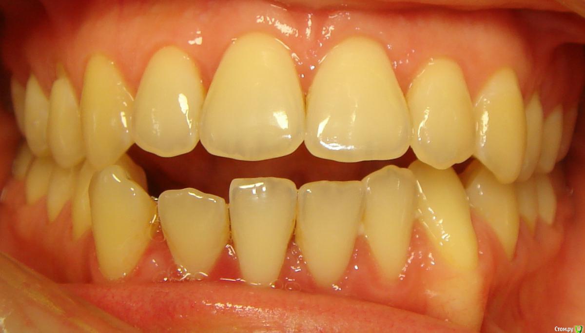
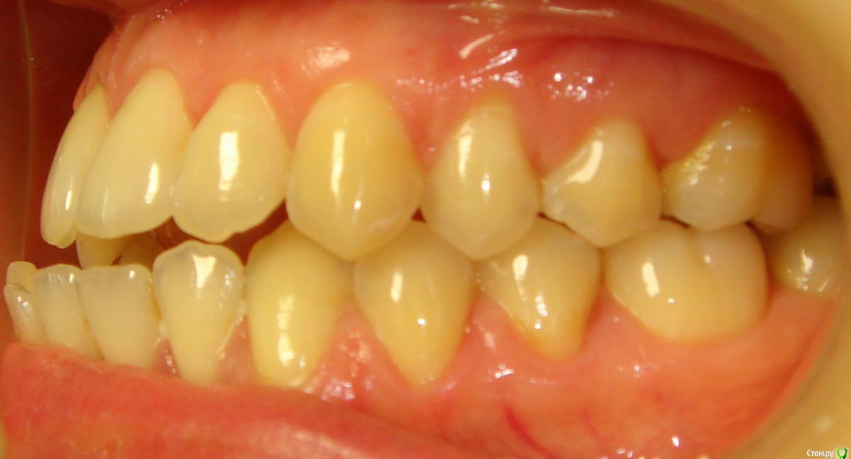
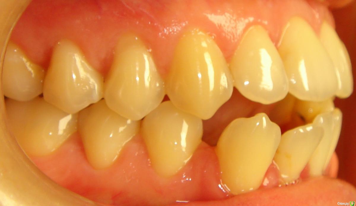
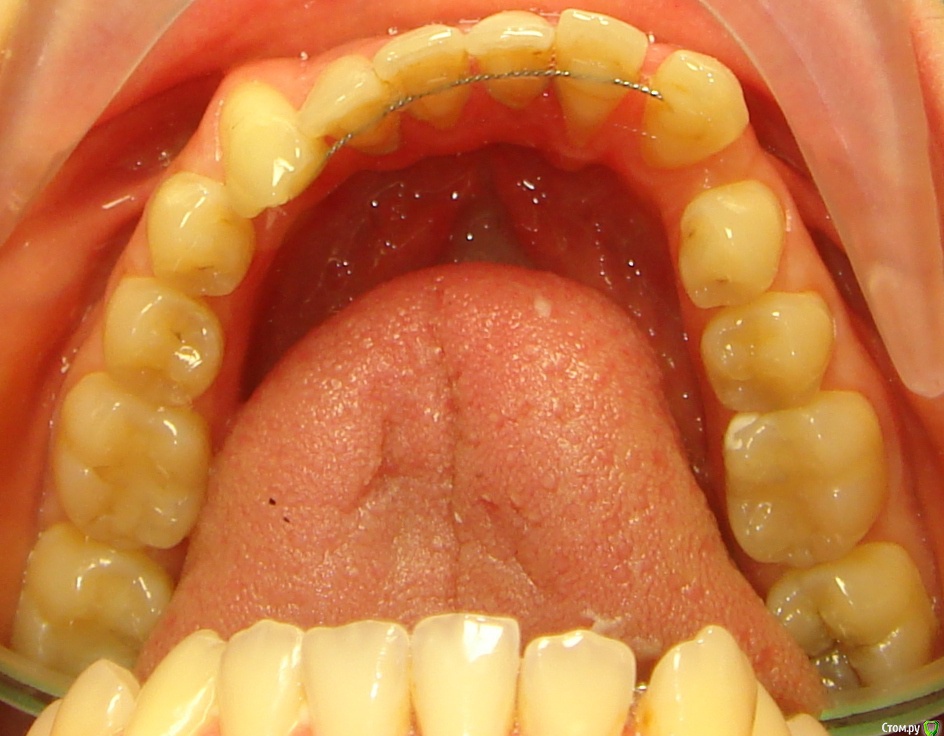
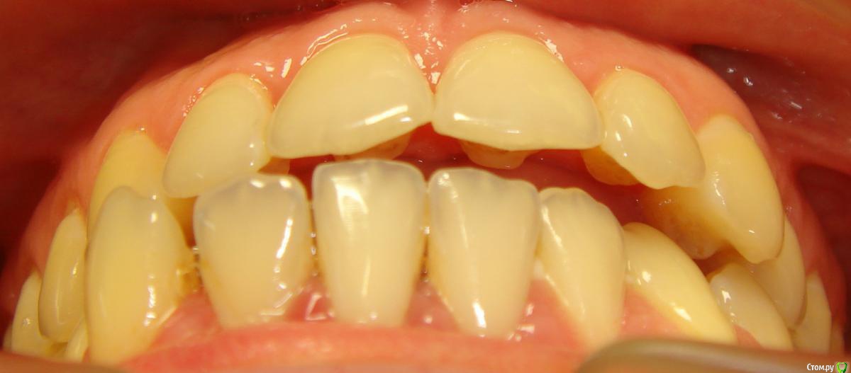
Opdihatop Опубликовано 4 марта, 2017 Поделиться Опубликовано 4 марта, 2017 И снова здравствуйте, коллеги. Вот такой вот случай к рассмотрению. Много лет назад пациентка уже проходила "камуфляжное" лечение. Со слов пациентки оно было закончено с передним открытым прикусом. Сейчас ситуация такая. Пациентка думает над ортохирургией, но меня смущает фронт н/ч. И по снимкам и по ситуации во рту корни 32, 31, 42, 43 зубов фенестрировали лингвальную кортикалку почти на всем протяжении, 33 - вестибулярную. Вопрос вот в чем: что делатьс этими зубами? Возможно ли их поставить на место? Или лучше не трогать, дольше простоят? Ссылка на комментарий
Brigita Опубликовано 4 марта, 2017 Поделиться Опубликовано 4 марта, 2017 не трогать - в смысле перед ортогнатикой только верх лечить? Ссылка на комментарий
Brigita Опубликовано 4 марта, 2017 Поделиться Опубликовано 4 марта, 2017 Девушка красивая какая Ссылка на комментарий
Opdihatop Опубликовано 4 марта, 2017 Автор Поделиться Опубликовано 4 марта, 2017 не трогать, в смысле вообще не трогать, даже хирургически. Боюсь потерять весь фронт н/ч Ссылка на комментарий
Brigita Опубликовано 4 марта, 2017 Поделиться Опубликовано 4 марта, 2017 она, кстати, везде язык прокладывает на фото. Наверно и в хирургии смысла не будет... Ссылка на комментарий
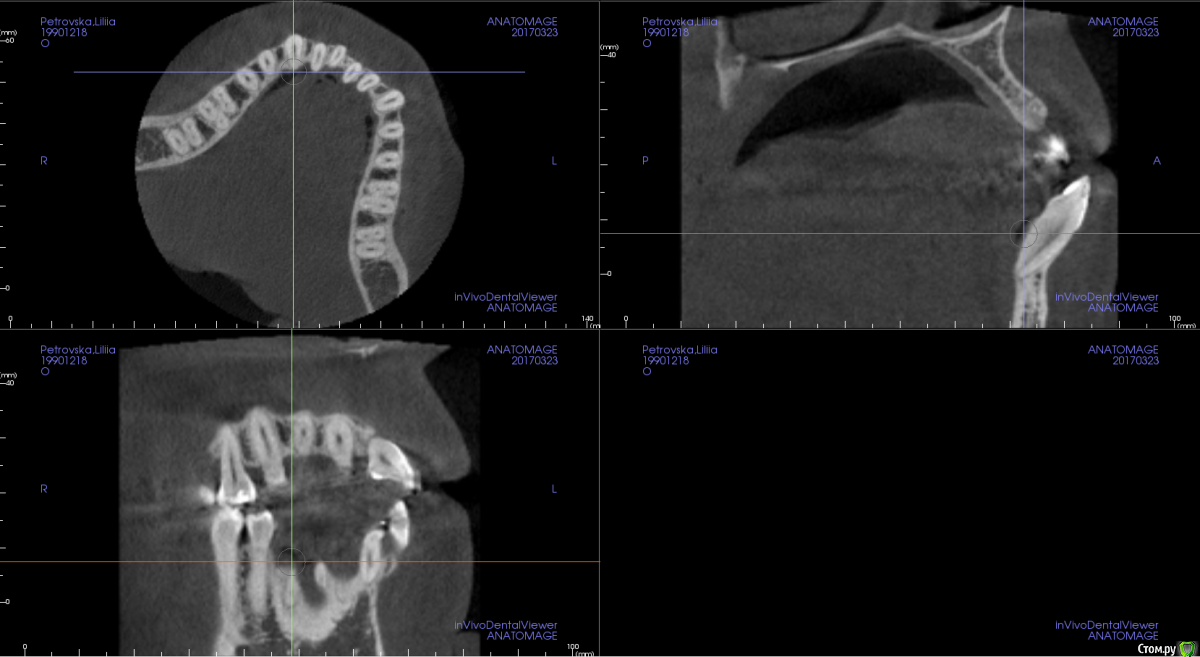
m.d.n Опубликовано 20 марта, 2017 Поделиться Опубликовано 20 марта, 2017 срезы кт покажите . на чем остановились Ссылка на комментарий
Opdihatop Опубликовано 26 марта, 2017 Автор Поделиться Опубликовано 26 марта, 2017 Прошу:313233414243 Ссылка на комментарий
Brigita Опубликовано 17 апреля, 2017 Поделиться Опубликовано 17 апреля, 2017 взялись за работу? Ссылка на комментарий
Kazankov.Egor Опубликовано 29 мая, 2017 Поделиться Опубликовано 29 мая, 2017 Как осуществлять профилактику такой фенестрации? Может кто-то помочь? Ссылка на комментарий
Opdihatop Опубликовано 29 мая, 2017 Автор Поделиться Опубликовано 29 мая, 2017 Как? Очень просто, "ДОЛЕЧИВАТЬ"! Тут фенестрация произошла из-за невылеченного инфантильного типа глотания и очень качественного (тут без сарказма) несъемного ретейнера. Исправь прошлый доктор язык, или поставь ретейнер хуже, так чтобы он его давление не выдержал и сломался, было бы все иначе. Ссылка на комментарий
Kazankov.Egor Опубликовано 29 мая, 2017 Поделиться Опубликовано 29 мая, 2017 Как? Очень просто, "ДОЛЕЧИВАТЬ"! Тут фенестрация произошла из-за невылеченного инфантильного типа глотания и очень качественного (тут без сарказма) несъемного ретейнера. Исправь прошлый доктор язык, или поставь ретейнер хуже, так чтобы он его давление не выдержал и сломался, было бы все иначе.а в процессе лечения разве такого не случается? Как Вы боретесь с инфантильным глотанием? Ссылка на комментарий
Opdihatop Опубликовано 29 мая, 2017 Автор Поделиться Опубликовано 29 мая, 2017 а в процессе лечения разве такого не случается? Прям ТАКОГО - нет. Как Вы боретесь с инфантильным глотанием? Шипы, миогиманстика. В крайнем случае - логопед. При истинной макроглоссии - хирургия. Ссылка на комментарий
Opdihatop Опубликовано 29 мая, 2017 Автор Поделиться Опубликовано 29 мая, 2017 взялись за работу? Пока нет. Они считают, что им можно все исправить элайнерами ("ИНВИЗИЛАЙНЫ ЛЕЧАТ ВСЕ"). Пока пытаются найти того ортодонта, кто тоже так считает. :-) Вот вам яркий пример того, как неправильно проводить медицинскую рекламу среди пациентов. Ссылка на комментарий
Brigita Опубликовано 29 мая, 2017 Поделиться Опубликовано 29 мая, 2017 (изменено) Шипы, миогиманстика. В крайнем случае - логопед. При истинной макроглоссии - хирургия. у взрослых пробовали? - я про шипы, мио и логопеда.Мне кажется что это бесперспетивно...Хотя Нанда показывал, как делает и даже отдаленные результаты. Говорит, до лечения 6 месяцев они носят, оставляет такие аппараты и во время и после ортодонтического леченияВот, наверное, если постоянно носить шипы, тогда может что то и получится Изменено 29 мая, 2017 пользователем Brigita Ссылка на комментарий
Opdihatop Опубликовано 29 мая, 2017 Автор Поделиться Опубликовано 29 мая, 2017 у взрослых пробовали? - я про шипы, мио и логопеда. Да, все прекрасно при правильном использовании. Тут фишка в кропотливости и сознательности. Если они все делают регулярно и четко, то через 3 месяца уже язык глотает иначе. У меня встречный вопрос: а как удержать результат лечения БЕЗ этого??? Вот, наверное, если постоянно носить шипы, тогда может что то и получится Хочу посмотреть на пациента, который пойдет на это! Ссылка на комментарий
Brigita Опубликовано 30 мая, 2017 Поделиться Опубликовано 30 мая, 2017 Ну вот он и держит результат. Только у него не шипы, а ролик в области фронтальных зубов такой на верхнюю челюсть на кольцах, похож на аппарат Тугарина Ссылка на комментарий
Рекомендуемые сообщения
Для публикации сообщений создайте учётную запись или авторизуйтесь
Вы должны быть пользователем, чтобы оставить комментарий
Создать аккаунт
Зарегистрируйте новый аккаунт в нашем сообществе. Это очень просто!
Регистрация нового пользователяВойти
Уже есть аккаунт? Войти в систему.
Войти