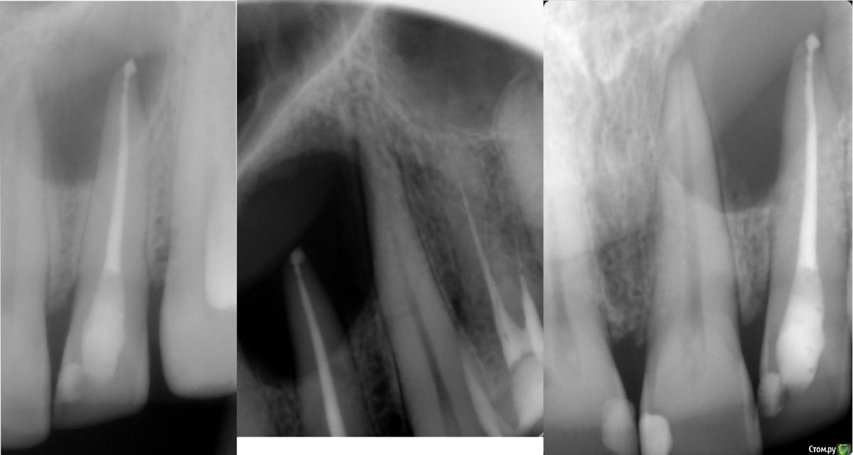
Fred Опубликовано 2 марта, 2017 Поделиться Опубликовано 2 марта, 2017 Я до сих пор толком не разбираюсь в "кистологии". Давайте и на этом форуме побеседуем. Теоретический вопрос - исчезнет ли киста в 100% случаев, если СКК стерилизировать и стерильность ее поддерживать на продолжительном отрезке времени? "Давайте обновим знания в "кистологии".Обратилась ко мне пациента по почте с кистоподобным образованием в области верхней челюсти, у передних зубов (прилагаю ее снимки в первой картинке: первый снимок - полгода назад, другие - на днях). Недавняя моя неудача с много раз презентированным на форумах случаях с кистообразным поражением заставило меня посидеть с литературой и еще раз понять, что же такое происходит во время таких поражений, и что мешает возникнуть заживлению Пациентка утверждала, что канал ей пломбировали года 3 назад, но теперь снова возникла симптоматика и опухание. Рядомстоящие витальные, но резец уже депульпировали, так как собираются кисту вырезать.Я еще раз хочу разобраться, если киста стерильна, то почему возникает симптоматика? Может симптоматику в таких случаях поддерживает то, что мы не можем идеально запломбировать канал, и несмотря на красивую рнг-картинку, мы имеем некачественную обтурацию в апексе, которая и поддерживает временно обостряющуюся клинику? Может образованию не дает возможность исчезнуть то, что это пузырь с жидкостью, хоть и стерильный, и в нем не могут возникнуть репарационные процессы, так как в нем нет кровотока? Может нужно все-таки его насильно сдувать, сплющивать, вырезать? Вчера прочитал раздел Кастеллучи про периапикальные поражения (обновил знания, давно за стоматологическими книгами не сидел), и понял, что все это лечится либо банальной эндодонтией, либо ретроградкой, если эндо не получилось. Никаких специальных хирургических методов, никаких вырезаний, никаких жертв витальности соседних зубов.Так нужен ли специальный подход к "кистам"?Побеседуем?Кто захочет тоже почитать Кастеллучи, но не имеет, просите, дам ссылку или перешлю." 3 Ссылка на комментарий
Fred Опубликовано 2 марта, 2017 Автор Поделиться Опубликовано 2 марта, 2017 Тут снимки пациентки получились на третьей картинке, той, что без комментариев. Ссылка на комментарий
Ico Опубликовано 2 марта, 2017 Поделиться Опубликовано 2 марта, 2017 Я до сих пор толком не разбираюсь в "кистологии". Давайте и на этом форуме побеседуем. Теоретический вопрос - исчезнет ли киста в 100% случаев, если СКК стерилизировать и стерильность ее поддерживать на продолжительном отрезке времени?Считаю,что исчезнет))Но не могу понять в чем подвох? Ссылка на комментарий
Ico Опубликовано 2 марта, 2017 Поделиться Опубликовано 2 марта, 2017 (изменено) http://forum.stom.ru/topic/28574-vopros-znatokam/?hl=%D0%BF%D1%81%D0%B5%D0%B2%D0%B4%D0%BE%D0%BA%D0%B8%D1%81%D1%82%D0%B0&do=findComment&comment=487016 Такие еще бывают)) Изменено 2 марта, 2017 пользователем Ico Ссылка на комментарий
Fred Опубликовано 2 марта, 2017 Автор Поделиться Опубликовано 2 марта, 2017 Не значит ли это, что неудача при эндолечении кисты только потому, что не получилось вычистить и обтурировать канал (сложности анатомии, инфицированные дентинные тубулы, блок системы каналов). Иначе говоря, вылущивание кисты - дело бессмысленное?И что такое "истинная киста"? Ссылка на комментарий
Ico Опубликовано 2 марта, 2017 Поделиться Опубликовано 2 марта, 2017 Не значит ли это, что неудача при эндолечении кисты только потому, что не получилось вычистить и обтурировать канал (сложности анатомии, инфицированные дентинные тубулы, блок системы каналов). Иначе говоря, вылущивание кисты - дело бессмысленное?И что такое "истинная киста"?Я считаю,что не получится полностью стерилизовать канал хоть как ты его мой.А вот сократитив некую "критическую массу" микробов можно получить хилинг,и чем лучше почистили тем быстрее заживление.Полный "хилед" можно оценить лет черз 5 только к.м.к))).По части вылущивания кисты,тут спорно,хотя есть показания но они размытые.Например оверфилинг и резорбция с раздолбанным апексом. Ссылка на комментарий
Ico Опубликовано 2 марта, 2017 Поделиться Опубликовано 2 марта, 2017 И что такое "истинная киста"?На это только гистологи ответят)) если на срезе увидят еYO собственную эпителиальную выстилку с островками Маляссе в холестерине))))) Ссылка на комментарий
Л Ю С Я Опубликовано 2 марта, 2017 Поделиться Опубликовано 2 марта, 2017 Тоже всегда мучил этот вопрос... Ссылка на комментарий
Л Ю С Я Опубликовано 2 марта, 2017 Поделиться Опубликовано 2 марта, 2017 Думаю не только дело в дезинфекции и обтурации апекса. Хотя это основное. Видимо в некоторых случаях киста продолжает жить своей жизнью и пока не выскоблишь оболочку не уйдёт Ссылка на комментарий
Fred Опубликовано 2 марта, 2017 Автор Поделиться Опубликовано 2 марта, 2017 Думаю не только дело в дезинфекции и обтурации апекса. Хотя это основное. Видимо в некоторых случаях киста продолжает жить своей жизнью и пока не выскоблишь оболочку не уйдётНо тогда откуда симптомы, если киста стерильная? Почему время от времени такая штука обостряется? Ссылка на комментарий
Ico Опубликовано 2 марта, 2017 Поделиться Опубликовано 2 марта, 2017 Но тогда откуда симптомы, если киста стерильная? Почему время от времени такая штука обостряется?Возможно отсутствие герметизма.Когда среда замкнутая инфекционного процесса как такового не происходит. Ссылка на комментарий
Fred Опубликовано 2 марта, 2017 Автор Поделиться Опубликовано 2 марта, 2017 Возможно отсутствие герметизма.Когда среда замкнутая инфекционного процесса как такового не происходит.Значит, все-таки проблема в эндодонтии?А как истинная киста, которая, как пишут, не имеет сообщения с каналом? Может ли быть так, что в какой-то момент киста, которая была связана с каналом, вдруг взяла и отсоединилась от него и закрылась в пузырь? Ссылка на комментарий
Ico Опубликовано 3 марта, 2017 Поделиться Опубликовано 3 марта, 2017 Значит, все-таки проблема в эндодонтии?А как истинная киста, которая, как пишут, не имеет сообщения с каналом? Может ли быть так, что в какой-то момент киста, которая была связана с каналом, вдруг взяла и отсоединилась от него и закрылась в пузырь?Мне кажется не только в эндодонтии.Бывает,что кортикалка резорбируется настолько,что процесс регенерации сильно тормозится и герметик может протечь.Поэтому частенько делают аспирации или декомпресии,но при ней параллельно попадает и другая микрофлора которая может инфицировать цемент корня и сформировать новый биофильм,соответственно потом придется апикалить)))То,что киста сама отделяется от апекса не исключаю,особенно если удалить зуб но не удалить оболочку. Ссылка на комментарий
Л Ю С Я Опубликовано 3 марта, 2017 Поделиться Опубликовано 3 марта, 2017 Резидуальная киста существует без поступления микроорганизмов. Также примерно и здесь Ссылка на комментарий
Fred Опубликовано 3 марта, 2017 Автор Поделиться Опубликовано 3 марта, 2017 Резидуальная киста существует без поступления микроорганизмов. Также примерно и здесьНо тогда такая и не должна вызывать симптомов, разве что связанных с давлением, распиранием. Откуда у такой симптомы воспаления? Ссылка на комментарий
Л Ю С Я Опубликовано 3 марта, 2017 Поделиться Опубликовано 3 марта, 2017 Но тогда такая и не должна вызывать симптомов, разве что связанных с давлением, распиранием. Откуда у такой симптомы воспаления?Но ведь случаются же случаи обострения, блин надо гисту и патфиз вспоминать Ссылка на комментарий
Fred Опубликовано 3 марта, 2017 Автор Поделиться Опубликовано 3 марта, 2017 Но ведь случаются же случаи обострения, блин надо гисту и патфиз вспоминатьОткуда обострения в стерильном образовании без связи с зубом? Неинфекционные обострения? Ссылка на комментарий
Dok22 Опубликовано 4 марта, 2017 Поделиться Опубликовано 4 марта, 2017 (изменено) Часто путают два состояния киста и периапикальный абсцесс с полостью. Так как на снимках они выглядят одинаково. Одонтогеные кисты например фолликулярные и радикулярные появляются по причине раздражения эпителия(островки Маляссе) начинается их "рост" и увеличиваются они за счет давления жидкости которую продуцирует эпителий в кисту.Течение без симптомное,обнаруживаем случайно(КТ) или в случае обострения при ее инфицировании. Лечится декомпрессией очага.Само по себе состояние киста редкое. Изменено 4 марта, 2017 пользователем Dok22 Ссылка на комментарий
Dok22 Опубликовано 4 марта, 2017 Поделиться Опубликовано 4 марта, 2017 Периапикальный абсцесс возникает по причине периодических выбросов флоры из недопломбированного канала в периапикальные ткани происходит разрушение кости и образование гранулемы. В отличии от кисты симптоматика практически всегда есть.Еще как правило есть свищевой ход который может открываться в том числе и в нос и пазухи(гайморит). Лечится предотвращением попадания флоры в очаг,если это условие выполнено полость гарантированно заживет. Ссылка на комментарий
dentikl Опубликовано 5 марта, 2017 Поделиться Опубликовано 5 марта, 2017 Побеседуем?Кто захочет тоже почитать Кастеллучи, но не имеет, просите, дам ссылку или перешлю." прошу Ссылка на комментарий
Ico Опубликовано 6 марта, 2017 Поделиться Опубликовано 6 марта, 2017 Откуда обострения в стерильном образовании без связи с зубом? Неинфекционные обострения?Ренальдс.Вы часто такое наблюдали? Ссылка на комментарий
Fred Опубликовано 11 марта, 2017 Автор Поделиться Опубликовано 11 марта, 2017 Ссылка почитать - http://gen.lib.rus.ec/book/index.php?md5=717019E790964144510FF9D23FD45354 Исо, я наблюдал несколько случаев обострения после вполне таки адекватного эндолечения. И хочу понять, было ли это обострение из-за того, что стерилизовать зуб нельзя, и где-то остался инфекционный агент, который воспаление и вызвал, или из-за чего-то другого. Может то, что я принял за обострение, было другим процессом, не связанным с инфекцией. Ссылка на комментарий
dentikl Опубликовано 12 марта, 2017 Поделиться Опубликовано 12 марта, 2017 Ссылка почитать - http://gen.lib.rus.ec/book/index.php?md5=717019E790964144510FF9D23FD45354 Исо, я наблюдал несколько случаев обострения лечение проводили Вы лично?Первичный диагноз пульпит(пт?) Ссылка на комментарий
Ico Опубликовано 12 марта, 2017 Поделиться Опубликовано 12 марта, 2017 Ссылка почитать - http://gen.lib.rus.ec/book/index.php?md5=717019E790964144510FF9D23FD45354 Исо, я наблюдал несколько случаев обострения после вполне таки адекватного эндолечения.Многие из нас наблюдали заживление вопреки лечению)) так и наоборот. Ссылка на комментарий
dentikl Опубликовано 13 марта, 2017 Поделиться Опубликовано 13 марта, 2017 Многие из нас наблюдали заживление вопреки лечению)) так и наоборот.думаю,что никто не наблюдал спонтанное заживление без лечения.если да-назовем это отправной точкой. Ссылка на комментарий
Рекомендуемые сообщения
Для публикации сообщений создайте учётную запись или авторизуйтесь
Вы должны быть пользователем, чтобы оставить комментарий
Создать аккаунт
Зарегистрируйте новый аккаунт в нашем сообществе. Это очень просто!
Регистрация нового пользователяВойти
Уже есть аккаунт? Войти в систему.
Войти