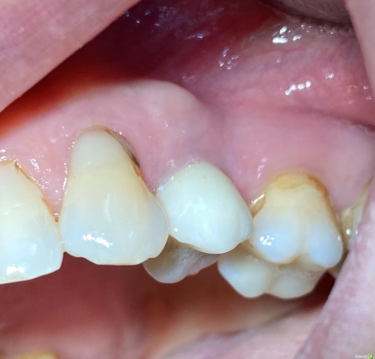
колесников Опубликовано 6 ноября, 2020 Автор Поделиться Опубликовано 6 ноября, 2020 Здравствуйте! Объявилась пропавшая пациентка. 3.5 года прошло с последнего визита. Ничего не беспокоит. Визуально на десне некая шишка выросла. Сст гипертрофировался? На кт выглядит как костный экзостоз. Совершенно непонятны причины и предпосылки для этого роста. 2 Ссылка на комментарий
Irouil Опубликовано 7 ноября, 2020 Поделиться Опубликовано 7 ноября, 2020 Не отталкиваясь от ситуации с кортикалкой на сегодняшний день - стали бы в подобном рейсе глубить сильнее? Ссылка на комментарий
колесников Опубликовано 7 ноября, 2020 Автор Поделиться Опубликовано 7 ноября, 2020 (изменено) Не отталкиваясь от ситуации с кортикалкой на сегодняшний день - стали бы в подобном рейсе глубить сильнее?Да,считаю что на Астре идеально получается ,когда фдм высотой 4мм на уровне края десны. Хотя и на 2 мм все работает. На Астре ремоделировка происходит до края фланца платформы,вне зависимости от того на какой она (платформа) глубине. Он придуман как имплант для крестальной постановки. Если с отсроченной имплантацией все очевидно,то с одномоментной сложно зачастую спрогнозировать постэкстракционную резорбцию пучковой кости. Для себя определил оптимальное положение платформы ориентируясь на фдм 4мм. Но! Тут профайл. Если добавим 2мм от нижнего края скоса до верхнего ,платформы,плюс 2мм высоты десны,получаем искомые 4мм. Изменено 7 ноября, 2020 пользователем колесников 2 Ссылка на комментарий
Irouil Опубликовано 7 ноября, 2020 Поделиться Опубликовано 7 ноября, 2020 Но! Тут профайл.Потому и спросил) Ссылка на комментарий
колесников Опубликовано 7 ноября, 2020 Автор Поделиться Опубликовано 7 ноября, 2020 Профайл лучше сильно не топить. То что в дефиците потом само нарастет,ремоделировка до платформы ,стандартный временный абатмент только 1мм высотой Ссылка на комментарий
Дмитрий М Опубликовано 8 ноября, 2020 Поделиться Опубликовано 8 ноября, 2020 т.е. для профайла можно смело формик стандартный 2мм ставить? Ссылка на комментарий
колесников Опубликовано 8 ноября, 2020 Автор Поделиться Опубликовано 8 ноября, 2020 т.е. для профайла можно смело формик стандартный 2мм ставить? можно,у него всегда есть запасные пару мм,только ориентируйте скос в сторону дефекта 1 Ссылка на комментарий
Рекомендуемые сообщения
Для публикации сообщений создайте учётную запись или авторизуйтесь
Вы должны быть пользователем, чтобы оставить комментарий
Создать аккаунт
Зарегистрируйте новый аккаунт в нашем сообществе. Это очень просто!
Регистрация нового пользователяВойти
Уже есть аккаунт? Войти в систему.
Войти