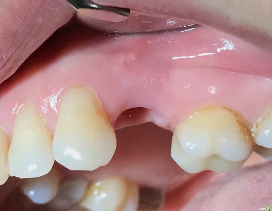
колесников Опубликовано 25 февраля, 2017 Поделиться Опубликовано 25 февраля, 2017 Здравствуйте коллеги! Представляю вашему вниманию этот клинический случай.В ноябре 2016 обратилась пациентка с жалобами на выпадение ортопедической конструкции в обл 24. Объективно: корни 24 не состоятельны. ,на десневом крае в проекции 24 свищевой ход с гнойным отделяемым.На КТ резорбция вестибулярной компактной пластинки и деструкция костной ткани в области щёчного корня.Приняв во внимание крайне негативное отношение пациентки к каким бы то ни было хирургическим вмешательствам и высоким эстетическим требованиям,было решено пойти на немедленную имплантацию .Снимки в день вмешательства,через 7,14 дней и 3мес.Имплант Astra tech profile 4.5х11мм. Сст с бугра вестибулярно. Вместо графта губки Коллапола (не вспомню причину,либо не было в наличии,либо отказ пациента). 15 Ссылка на комментарий
pit Опубликовано 26 февраля, 2017 Поделиться Опубликовано 26 февраля, 2017 Все замечательно, но имплант надо было апиканее установить. Ссылка на комментарий
dentikl Опубликовано 26 февраля, 2017 Поделиться Опубликовано 26 февраля, 2017 щечная кортикалка восстановиться? Ссылка на комментарий
Oscar Опубликовано 26 февраля, 2017 Поделиться Опубликовано 26 февраля, 2017 Отлично! Какой торк получили? Ссылка на комментарий
Oscar Опубликовано 26 февраля, 2017 Поделиться Опубликовано 26 февраля, 2017 щечная кортикалка восстановиться?не восстановится, но т.к. там трансплантат- прогноз стабилен! Ссылка на комментарий
колесников Опубликовано 26 февраля, 2017 Автор Поделиться Опубликовано 26 февраля, 2017 Да,можно было ещё на 1мм притопить,и конечно графт вестибулярно оставить,но это стало понятно только сейчас. При постановке имплант был заглублен на 3 мм, посчитал что этого достаточно, но резорбция случилась больше планируемой. Первоначально планировалась нагрузка через 5 сут ,но ортопед позднее отказался от этой идеи. Думал заменить фдм на зебру,но пациентка пропала на 3 мес... Как получилось,так получилось. Торк был 35н/см,как обычно на астре. Ссылка на комментарий
ПалСаныч Опубликовано 26 февраля, 2017 Поделиться Опубликовано 26 февраля, 2017 Смело! Молодец! люблю кейсы, которые получаются вопреки тому, чему учили) Ссылка на комментарий
колесников Опубликовано 26 февраля, 2017 Автор Поделиться Опубликовано 26 февраля, 2017 Спасибо! Ссылка на комментарий
Карен Аванесов Опубликовано 27 февраля, 2017 Поделиться Опубликовано 27 февраля, 2017 Гноем уже никого не испугаешь)) Чем обрабатывали рану перед внедрением имплантата? Ссылка на комментарий
Карен Аванесов Опубликовано 27 февраля, 2017 Поделиться Опубликовано 27 февраля, 2017 И хорошо что наконец таки в ваших текстах появились картинки. Ссылка на комментарий
колесников Опубликовано 27 февраля, 2017 Автор Поделиться Опубликовано 27 февраля, 2017 Как обычно,хлоргексидином промываю. Ну это нас не испугаешь,а у большинства коллег Робустова в голове. И именно по-этому теперь иногда делаю фотопротокол. Менталитет у нас такой,на слово не верят. Ссылка на комментарий
Карен Аванесов Опубликовано 5 марта, 2017 Поделиться Опубликовано 5 марта, 2017 Зря так про Робустову пренебрежительно. Ссылка на комментарий
колесников Опубликовано 5 марта, 2017 Автор Поделиться Опубликовано 5 марта, 2017 Это имя нарицательное,для тех кто пренебрегает постдипломным образованием Ссылка на комментарий
Карен Аванесов Опубликовано 5 марта, 2017 Поделиться Опубликовано 5 марта, 2017 Можно конечно начать философствовать... но если кратко будьте человечнее. Ссылка на комментарий
колесников Опубликовано 5 марта, 2017 Автор Поделиться Опубликовано 5 марта, 2017 Под "человечностью" Вы видимо имели ввиду терпимость,снисходительность? Нет,извините,я считаю недопустимым когда врач останавливается в своём профессиональном развитии 2 Ссылка на комментарий
doca Опубликовано 6 марта, 2017 Поделиться Опубликовано 6 марта, 2017 Под "человечностью" Вы видимо имели ввиду терпимость,снисходительность? Нет,извините,я считаю недопустимым когда врач останавливается в своём профессиональном развитиипод человечностью в данном контексте понимается Уважение. Ссылка на комментарий
колесников Опубликовано 6 марта, 2017 Автор Поделиться Опубликовано 6 марта, 2017 Как можно уважать доктора который говорит пациенту: я скусил коронку у зуба,а корни удалить не могу,идите куда-нибудь, или на вопрос пациента : доктор посоветуйте как себе,может мне имплант поставить? , отвечает:-вы что это же голова,тут мозг рядом,а вы туда болты хотите крутить?,я вам лучше бюгелек сделаю. Или уважаемый профессор на кафедре терстом,всем пациентам с заб. слизистой рекомендующий полоскать ротоканом(консультация платная). Или доктор в члх ,который для закрытия ороантрального сообщения удаляет 2 интактных зуба и скусывает альвеолу или "для лучшего доступа" к лежащей 8ке удаляет интактный 7ой. Может они хорошие семьянины,кормят бездомных котиков и переводят старушек через дорогу,за это я их конечно уважаю. Но с какой стати их уважать как представителей професии ,если они сами на себя махнули рукой? Хочешь добиться уважения коллег-уважай себя для начала,расти профессионально,не останавливайся в своём развитии. 6 1 Ссылка на комментарий
Irouil Опубликовано 6 марта, 2017 Поделиться Опубликовано 6 марта, 2017 (изменено) Лютый какой оффтоп))) Концептуально согласен - развиваться нужно. Но если не развиваешься, хотя бы не оговаривай новые методы, которыми не владеешь и не распространяй мракобесие. В конце концов человек может до второго пришествия штамповки ставить, если есть заинтересованные пациенты, главное чтобы при этом им не внушалось, что более новые методы - "вае тоже самое, просто дороже" Регулярно сталкиваешся с пациентами, которым "знакомый стоматолог" или "свой стоматолог" посоветовал винты не ставить, так как "это еще рано, раз можно мост поставить" или "мне нельзя потому что у меня резус отрицательный". Изменено 6 марта, 2017 пользователем Irouil Ссылка на комментарий
егорджан Опубликовано 6 марта, 2017 Поделиться Опубликовано 6 марта, 2017 Регулярно сталкиваешся с пациентами, которым "знакомый стоматолог" или "свой стоматолог" посоветовал винты не ставить, так как "это еще рано, раз можно мост поставить" или "мне нельзя потому что у меня резус отрицательный". Реально прям, жизненно!) Ссылка на комментарий
Maxfac Опубликовано 7 марта, 2017 Поделиться Опубликовано 7 марта, 2017 "Следи за собой, будь осторожен" © 5 Ссылка на комментарий
Карен Аванесов Опубликовано 7 марта, 2017 Поделиться Опубликовано 7 марта, 2017 Цой жив! 1 Ссылка на комментарий
Карен Аванесов Опубликовано 7 марта, 2017 Поделиться Опубликовано 7 марта, 2017 Колесников, высказались прям как гитлер, про возраст не забывайте, профессия стоматолога очень жестока к врачу, все там будем, а в мире должен быть круговорот иначе.... 1 Ссылка на комментарий
колесников Опубликовано 7 марта, 2017 Автор Поделиться Опубликовано 7 марта, 2017 Как профессор Преображенский,безкомпромисов Ссылка на комментарий
колесников Опубликовано 12 июня, 2017 Автор Поделиться Опубликовано 12 июня, 2017 Контрольное кт спустя 3 мес. Откуда-то наросло 2мм у шейки. Ссылка на комментарий
Doctor Vlad Опубликовано 13 июня, 2017 Поделиться Опубликовано 13 июня, 2017 Откуда-то наросло 2мм у шейки. да видимо графт был, причем не коллапон коллагеновый а костная стружка, даже по первым снимкам после операции там чтото рыхлое торчит. Ссылка на комментарий
Рекомендуемые сообщения
Для публикации сообщений создайте учётную запись или авторизуйтесь
Вы должны быть пользователем, чтобы оставить комментарий
Создать аккаунт
Зарегистрируйте новый аккаунт в нашем сообществе. Это очень просто!
Регистрация нового пользователяВойти
Уже есть аккаунт? Войти в систему.
Войти