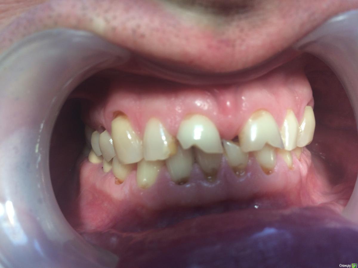
dr.Dre Опубликовано 21 февраля, 2017 Поделиться Опубликовано 21 февраля, 2017 Добрый вечер ,уважаемые коллеги пациент 30 лет,хочет естетики,что тут реально сделать.Как поднять прикус?Можно в данной ситуации ставить безметал ? Ссылка на комментарий
chervoncevdaniil Опубликовано 21 февраля, 2017 Поделиться Опубликовано 21 февраля, 2017 Ох тут не просто,что с анамнезом?Какая по вашему причина поражений на зубах? 1 Ссылка на комментарий
АнтонТЛТ Опубликовано 21 февраля, 2017 Поделиться Опубликовано 21 февраля, 2017 Ортодонтия? Ссылка на комментарий
dr.Dre Опубликовано 21 февраля, 2017 Автор Поделиться Опубликовано 21 февраля, 2017 Ох тут не просто,что с анамнезом?Какая по вашему причина поражений на зубах?на боли в суглобах пациент не жалуеться,занимаеться покраской машин(думаю причина поражения будет в этом)либо бруксизм Ссылка на комментарий
suballex Опубликовано 22 февраля, 2017 Поделиться Опубликовано 22 февраля, 2017 Ортодонтия?+1 потом каппа и тотал. Красота будет - закачаешься. Ссылка на комментарий
Dman Опубликовано 22 февраля, 2017 Поделиться Опубликовано 22 февраля, 2017 (изменено) Если без ортодонтии, то: определение цо, коррекция десневых краев, отработка окклюзии на времянках. Потом меняете на постоянные сначала фронт потом жеват, ну или наоборот. кстати без диастемы не получится Изменено 22 февраля, 2017 пользователем Dman Ссылка на комментарий
Дмитрий171 Опубликовано 22 февраля, 2017 Поделиться Опубликовано 22 февраля, 2017 Хотелось-бы посмотреть панорамный снимок , снимки суставов. Сколько мм при расслаблении получается ?( с шейным отделом у него как?) мне кажется с начало поработать с каппой потом на времянках , длинная работа. Ссылка на комментарий
Astronaft Опубликовано 23 февраля, 2017 Поделиться Опубликовано 23 февраля, 2017 Я в таких случаях сначала разговариваю с пациентом. Если мотивация высокая, если человек адекватный (т.е. адаптационные способности в норме) - то делаю композитные пломбы на верхних шестеках с двух сторон. Одномоментно завышаю на пару мм, так что бы достаточно места во фронте было. Человек ходит с окклюзией на 2 зуба с неделю. Несколько раз уже делал - пациенты реагируют нормально. Если нет головных болей, пациент не теряет сон и т.д. - можно переходить на фронт.Бюджетно можно композитом, если позволят финансы - коронки/виниры. 7-ки сами выдвинутся. 1 Ссылка на комментарий
suballex Опубликовано 23 февраля, 2017 Поделиться Опубликовано 23 февраля, 2017 Вколачивания шестых не боитесь? Я в таких случаях сначала разговариваю с пациентом. Если мотивация высокая, если человек адекватный (т.е. адаптационные способности в норме) - то делаю композитные пломбы на верхних шестеках с двух сторон. Одномоментно завышаю на пару мм, так что бы достаточно места во фронте было. Человек ходит с окклюзией на 2 зуба с неделю. Несколько раз уже делал - пациенты реагируют нормально. Если нет головных болей, пациент не теряет сон и т.д. - можно переходить на фронт.Бюджетно можно композитом, если позволят финансы - коронки/виниры. 7-ки сами выдвинутся.Вколачивания шестых не боитесь? Ссылка на комментарий
Astronaft Опубликовано 24 февраля, 2017 Поделиться Опубликовано 24 февраля, 2017 Вколачивания шестых не боитесь?Только слышал о таком, сам никогда не встречал. Есть сомнения о существенном вколачивании.Этому пациенту терять особо нечего. Если перенесет повышение ВО, то ножно восстанавливать фронт. Рецепторы связок фронтальных зубов серьезно ограничат силу которую прилагает массетер и темпоралис. К тому же нагрузка станет равномерной. Одним словом, нестрашно. Ссылка на комментарий
johniola Опубликовано 24 февраля, 2017 Поделиться Опубликовано 24 февраля, 2017 Присоединюсь к Астронавту,здесь надо прикус поднимать.Я делаю композотом на верхние зубы но только не на 2 а на 4.Никаких болей пока не встречал. Ссылка на комментарий
dr.Dre Опубликовано 24 февраля, 2017 Автор Поделиться Опубликовано 24 февраля, 2017 Присоединюсь к Астронавту,здесь надо прикус поднимать.Я делаю композотом на верхние зубы но только не на 2 а на 4.Никаких болей пока не встречал.раскажите пожалуйста методику как вы это делаете? Ссылка на комментарий
Astronaft Опубликовано 25 февраля, 2017 Поделиться Опубликовано 25 февраля, 2017 раскажите пожалуйста методикуТофлемаер на моляр ( или 2). Творите жевательную поверхность из композита как знаете. На глаз делаете композитную "накладку" на нужную толщину. Эту нужную толщину я определяю сворачивая марлю или ролы. Пациент накусывает -вы смотрите достаточно ли разобщения во фронте.Надо сделать с двух сторон, что бы был одновременный контакт с двух сторон. Т.е делалете накладки, а потом где надо подбирате, что бы первый контакт был с двух сторон.Тест недельку. Если все ок - делайте фронт. 1 Ссылка на комментарий
Astronaft Опубликовано 25 февраля, 2017 Поделиться Опубликовано 25 февраля, 2017 (изменено) Быстрый кейс (начало).Был прикус 3 класс ( обратное перекрытие), молодая девушка, стираемость, адентия. Все ухудшается.Надо было разбить порочный круг. Очень скромный бюджет.Без фото до, но по промежуточным можно понять как было. В декабре сделали верхние 6 и 7ки с обеих сторон. Исчерпали страховку. Около 2 мм композита на окклюзионой поверхности. http://miworks.weebly.com/uploads/1/6/8/7/16879370/dscn4943_orig.jpg http://miworks.weebly.com/uploads/1/6/8/7/16879370/dscn4944_orig.jpg Получилось достаточно места для фронта. Так ходила до января ( 4 недели). http://miworks.weebly.com/uploads/1/6/8/7/16879370/dscn4839_orig.jpg http://miworks.weebly.com/uploads/1/6/8/7/16879370/dscn4840_orig.jpg http://miworks.weebly.com/uploads/1/6/8/7/16879370/dscn4842_orig.jpg В январе обновилась страховка и сделали еще 4 реставрации. Скорректировал направление центральной линии, подправил 22, легкий overjet.http://miworks.weebly.com/uploads/1/6/8/7/16879370/dscn4936_orig.jpg http://miworks.weebly.com/uploads/1/6/8/7/16879370/dscn4938_orig.jpg http://miworks.weebly.com/uploads/1/6/8/7/16879370/dscn4939_orig.jpg http://miworks.weebly.com/uploads/1/6/8/7/16879370/dscn4932-copy_orig.jpg Не смотря на то, что здесь только композит, кейс принаделжит ортопедическому отделу. Сделанные 8 реставраций представляют промежуточный долгосрочный результат перед тоталом. Пациентка быстро почувствовала каково это иметь новые зубы - окружающие начали отмечать красивую улыбку. Мотивация усилилась. Спрашивайте если не понятно. Изменено 25 февраля, 2017 пользователем Astronaft 6 Ссылка на комментарий
BasDent Опубликовано 25 февраля, 2017 Поделиться Опубликовано 25 февраля, 2017 Классный кейс, огромное спасибо! Ссылка на комментарий
Astronaft Опубликовано 25 февраля, 2017 Поделиться Опубликовано 25 февраля, 2017 Классный кейс, огромное спасибо!Спасибо.Кейс показателен тем, что методика дает возможность заглянуть в результат. Некий тест драйв. Моляры сделаны без препаровки (только пескоструй). Ссылка на комментарий
BasDent Опубликовано 25 февраля, 2017 Поделиться Опубликовано 25 февраля, 2017 Как мне кажется это удобнее, надёжнее и быстрее, чем классический оттиск-воск, да и препарировать не нужно - спасибо что поделились, как-то в голову не приходило, что так можно. В подобных случаях буду пользоваться. Ссылка на комментарий
zubovolok Опубликовано 26 февраля, 2017 Поделиться Опубликовано 26 февраля, 2017 (изменено) Спасибо.Кейс показателен тем, что методика дает возможность заглянуть в результат. Некий тест драйв. Моляры сделаны без препаровки (только пескоструй).спасибо, все очень наглядно и для доктора и для пациента. Как быть если при завышении начинаются какие-то жалобы, с точки зрения мышц или сустава? И какой дальнейший план в этой работе, что будет внизу слева? Изменено 26 февраля, 2017 пользователем zubovolok Ссылка на комментарий
dentikl Опубликовано 26 февраля, 2017 Поделиться Опубликовано 26 февраля, 2017 и пусть семки перестанет грызть Ссылка на комментарий
Паращук Роман Опубликовано 26 февраля, 2017 Поделиться Опубликовано 26 февраля, 2017 Спасибо.Кейс показателен тем, что методика дает возможность заглянуть в результат. Некий тест драйв. Моляры сделаны без препаровки (только пескоструй).Если будут проблемы,какие меры и исследования будете проводить?Спасибо Ссылка на комментарий
Astronaft Опубликовано 27 февраля, 2017 Поделиться Опубликовано 27 февраля, 2017 Если будут проблемы,какие меры и исследования будете проводить?СпасибоЯ верю в преобладании духа над физическими явлениями. Это значит, на мой взгляд, что если человек (пациент) захочет принять что-то - то примет.Соответственно, с первого посещения я строю всю коммуникацию с пациентом так, что бы он принял запланированные изменения. Т.е. сначала предварительный скрининг по своим собственным критериям, которые каждый док вырабатывает сквозь практику. Т.е. если пациент неадекватен или нет раппорта хоть как с ним разговаривай - незачем себя и пациента мучать. Потом настрой пациента - информ от том как пройдет процесс, как надо дать себе время привыкнуть. Затем одно два простых посещения для развития доверия. Вроде как 3 свидания... Завысил прикус. Если человек не принимает, всегда можно убрать композит. Сказать что "нет так нет", не мой уровень экспертизы и т.д. И не браться за лечение. Здесь я не имею в виду людей с органическими изменениями, артрозами, а говорю о тех кто не хочет работать над собой, не хочет привыкать, потерпеть где-то. Если вернуться на более приземленный уровень: какие там могут быть проблемы?Проблемы есть и будут усугубляться если ничего не сделать. 1 Ссылка на комментарий
Astronaft Опубликовано 27 февраля, 2017 Поделиться Опубликовано 27 февраля, 2017 Мировой опыт показывает, что завышение ВО работает прекрасно.Сколько сделал сьемных где возвращал ВО в нормы, несколько ортопедических работ с завышение, несколько на композите. Все ок. Доводилось видели пациентов с аппаратами от храпа/апноэ? Аппарат вызывает протрузию на время сна. Так вот эти пациенты через год все имеют отрытый прикус в боковых отделах. Т.е. вы потянули челюсть вперед, создали место для потока воздуха, а мышцы и связки прикрепленные к ветви притянули головку сустава обратно. Тем самым "растянув" ветвь. Т.е. анатомия сустава вернулась в норму ( просвет, положение), а окклюзионное место осталось и мооляры не смыкаются. Ортодонты знают: мягкие ткани диктуют форму костей, а не кости диктуют мягким тканям. В итоге, для себя имею вывод: делай зубы как надо, а мягкие ткани самонастроят положение сустава через ремоделировку кости. Повторюсь, не относится к пациентам с органическими изменения, или психическими отклонениями. За такких не возьмусь. Но 9 из 10 будут именно простыми случаями. 1 Ссылка на комментарий
Astronaft Опубликовано 27 февраля, 2017 Поделиться Опубликовано 27 февраля, 2017 спасибо, все очень наглядно и для доктора и для пациента. Как быть если при завышении начинаются какие-то жалобы, с точки зрения мышц или сустава? И какой дальнейший план в этой работе, что будет внизу слева?Спасибо.Думаю частично ответил в предыдущем посте. Внизу слева? Нет зуба - должен быть имплант. Это почти аксиома, которую даже дети и жена стоматолога должны знать. Планируются импланты с мостиком, но когда это произойдет, знает только пациент. Ссылка на комментарий
Паращук Роман Опубликовано 27 февраля, 2017 Поделиться Опубликовано 27 февраля, 2017 Я верю в преобладании духа над физическими явлениями. Это значит, на мой взгляд, что если человек (пациент) захочет принять что-то - то примет.Соответственно, с первого посещения я строю всю коммуникацию с пациентом так, что бы он принял запланированные изменения. Т.е. сначала предварительный скрининг по своим собственным критериям, которые каждый док вырабатывает сквозь практику. Т.е. если пациент неадекватен или нет раппорта хоть как с ним разговаривай - незачем себя и пациента мучать. Потом настрой пациента - информ от том как пройдет процесс, как надо дать себе время привыкнуть. Затем одно два простых посещения для развития доверия. Вроде как 3 свидания... Завысил прикус. Если человек не принимает, всегда можно убрать композит. Сказать что "нет так нет", не мой уровень экспертизы и т.д. И не браться за лечение. Здесь я не имею в виду людей с органическими изменениями, артрозами, а говорю о тех кто не хочет работать над собой, не хочет привыкать, потерпеть где-то. Если вернуться на более приземленный уровень: какие там могут быть проблемы?Проблемы есть и будут усугубляться если ничего не сделать.Вы не делаете кт сустава до и после завышения? Я всегда побаиваюсь смещения диска и появления проблем. Мировой опыт показывает, что завышение ВО работает прекрасно.Сколько сделал сьемных где возвращал ВО в нормы, несколько ортопедических работ с завышение, несколько на композите. Все ок. Доводилось видели пациентов с аппаратами от храпа/апноэ? Аппарат вызывает протрузию на время сна. Так вот эти пациенты через год все имеют отрытый прикус в боковых отделах. Т.е. вы потянули челюсть вперед, создали место для потока воздуха, а мышцы и связки прикрепленные к ветви притянули головку сустава обратно. Тем самым "растянув" ветвь. Т.е. анатомия сустава вернулась в норму ( просвет, положение), а окклюзионное место осталось и мооляры не смыкаются. Ортодонты знают: мягкие ткани диктуют форму костей, а не кости диктуют мягким тканям. В итоге, для себя имею вывод: делай зубы как надо, а мягкие ткани самонастроят положение сустава через ремоделировку кости. Повторюсь, не относится к пациентам с органическими изменения, или психическими отклонениями. За такких не возьмусь. Но 9 из 10 будут именно простыми случаями.Веду всего год пару тройку пациентов на аппарате Хинца от апноэ,но описанного выше не замечал. Спасибо,за открытый опыт. Ссылка на комментарий
Pavel Опубликовано 27 февраля, 2017 Поделиться Опубликовано 27 февраля, 2017 и пусть семки перестанет грызтьСемки грызть они не перестанут. Как и курить. Это наше всё. Ссылка на комментарий
Рекомендуемые сообщения
Для публикации сообщений создайте учётную запись или авторизуйтесь
Вы должны быть пользователем, чтобы оставить комментарий
Создать аккаунт
Зарегистрируйте новый аккаунт в нашем сообществе. Это очень просто!
Регистрация нового пользователяВойти
Уже есть аккаунт? Войти в систему.
Войти