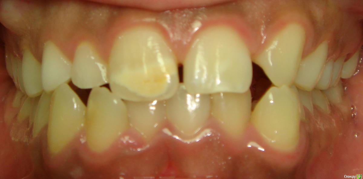
Opdihatop Опубликовано 20 февраля, 2017 Поделиться Опубликовано 20 февраля, 2017 Здравствуйте, коллеги! Вот такой вот случай третьего класса, вертикального роста, множественной первичной адентии и преинтереснейшего 13-го зуба. Девочке 14 лет. Сразу скажу, что вопреки некоторым классикам удалять клык или премоляры мы не будем, будем ставить в дугу, причем на его законное место. Может у кого-то были подобные случаи, поделитесь опытом, будьте добры. Какой план лечения и какая биомеханика тут будут самыми оптимальными? Заранее всем спасибо! Ссылка на комментарий
Brigita Опубликовано 20 февраля, 2017 Поделиться Опубликовано 20 февраля, 2017 Героически...постою, послушаю. Вообще когда то давно такое видела, ставили, причем клыки. Но это ж ад....А если аутоимплантация? Молодой организм, может сработает? Вытащить сначала, конечно Ссылка на комментарий
Brigita Опубликовано 20 февраля, 2017 Поделиться Опубликовано 20 февраля, 2017 (изменено) 11 и 12 - молочные, так? 22- адентия.Клык пойдет на место 13 ?Я сначала с телефона посмотрела, подумала, что клык на место 23 тянуть хотите... Изменено 20 февраля, 2017 пользователем Brigita Ссылка на комментарий
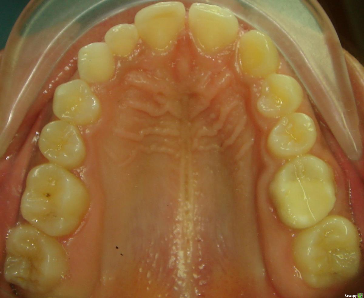
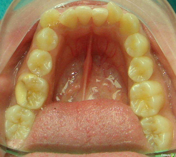
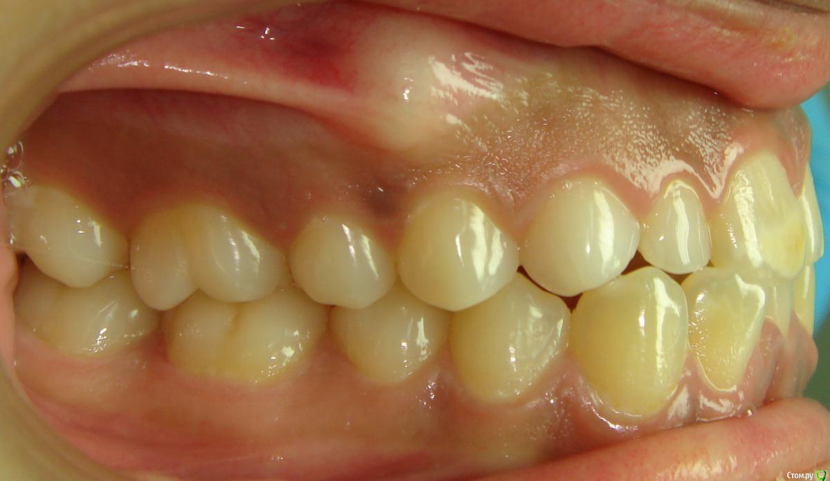
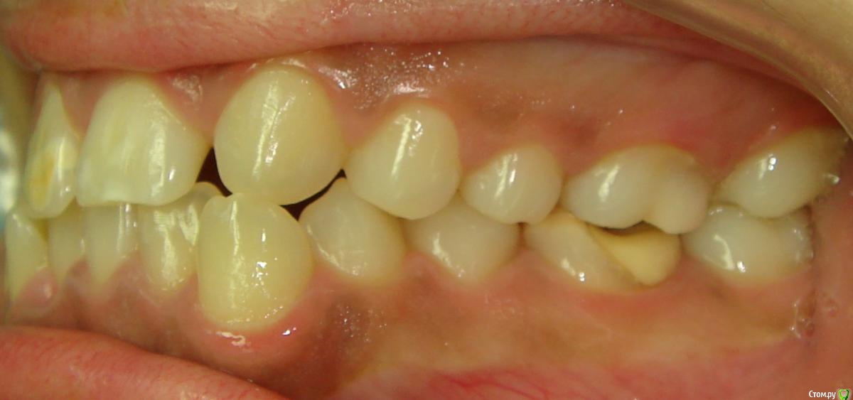
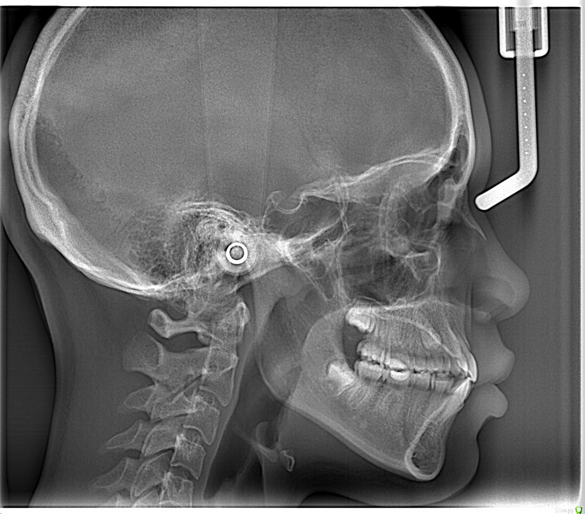
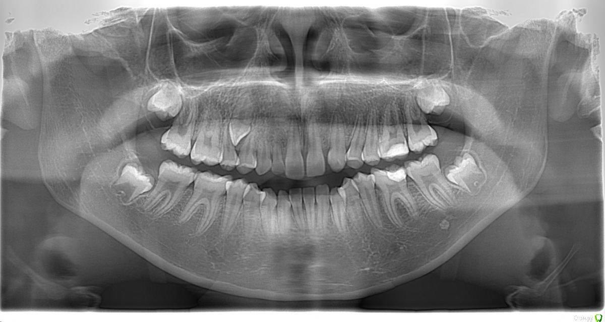
Opdihatop Опубликовано 20 февраля, 2017 Автор Поделиться Опубликовано 20 февраля, 2017 52, 53 молочные. 12, 22 - адентия. Клык пойдет на место 13. Когда-то на курсе Рафаэля Спены видел подобное, но, к сожалению не зафиксировал на фото. В общем и целом принцип помню. Но тут есть одно огромное НО... 14, 15 началась резорбция верхушек из-за 13 зуба, что видно по КТ. Ссылка на комментарий
Yana guapa Опубликовано 20 февраля, 2017 Поделиться Опубликовано 20 февраля, 2017 Сразу скажу, что вопреки некоторым классикам удалять клык или премоляры мы не будем, будем ставить в дугу, причем на его законное место. а про каких именно классиков Вы говорите? (это я для себя, для развития..) http://i12.pixs.ru/storage/1/0/6/Snimokekra_1462757_25244106.pngвот такая штучка еще в кости... Ссылка на комментарий
Yana guapa Опубликовано 20 февраля, 2017 Поделиться Опубликовано 20 февраля, 2017 Может у кого-то были подобные случаи, поделитесь опытом, будьте добры. Какой план лечения и какая биомеханика тут будут самыми оптимальными? Заранее всем спасибо!http://i12.pixs.ru/storage/1/3/8/thumbIMG11_7531323_25244138.jpg http://i12.pixs.ru/storage/1/6/8/IMG4285JPG_5630428_25244168.jpg http://i12.pixs.ru/storage/1/8/8/IMG4291JPG_6150389_25244188.jpg http://i12.pixs.ru/storage/1/9/8/IMG4295JPG_2365814_25244198.jpg это с транспозицией. Но я не планирую менять местами, итак работы по горло здесь, столько места создавать надо... Сейчас на этапе Ссылка на комментарий
Yana guapa Опубликовано 20 февраля, 2017 Поделиться Опубликовано 20 февраля, 2017 у ВАшей девочки я бы удаляла восьмерки, ставила винты в подскуловую область , часть зубов назад, а часть - пружинами вперед. создавая место. про клык - здесь конечно по КТ надо смотреть, куда его тащить и как открывать. Возможно лучше вначале открыть место (раздвинуть 5ку и 4ку) а потом клык поставить между ними. Клык станет 4кой а 4ка клыком. (имхо) 1 Ссылка на комментарий
Yana guapa Опубликовано 20 февраля, 2017 Поделиться Опубликовано 20 февраля, 2017 Патрисия Вергара подобное показывала на прошлых выходных. Интересно она разруливает такие кейсы.)) Ссылка на комментарий
Opdihatop Опубликовано 20 февраля, 2017 Автор Поделиться Опубликовано 20 февраля, 2017 (изменено) вот такая штучка еще в кости... Видел, на вид - простая остеомка, так что пугать пациента не буду, передвижению зубов не мешает. а про каких именно классиков Вы говорите? (это я для себя, для развития..) Вот простите, не вспомню, читал монографию какого-то итальянца еще на этапе обучения, так там было сказано вообще их удалять, особенно при транспозиции через ц.л. у ВАшей девочки я бы удаляла восьмерки, ставила винты в подскуловую область , часть зубов назад, а часть - пружинами вперед. создавая место. про клык - здесь конечно по КТ надо смотреть, куда его тащить и как открывать. Возможно лучше вначале открыть место (раздвинуть 5ку и 4ку) а потом клык поставить между ними. Клык станет 4кой а 4ка клыком. (имхо) Подскуловые импланты, это классно, только вот в Украине этих корейцев не продают пока (Диаметра не хватает и длины). Дистализирую пружинами при непрямом анкораже на микроимплантате между 5 и 6. Как я собирался тянуть клык вперед? На 14, 15 ставятся брекеты от нижних премоляров и ставятся они на толстую композитную подушку, которая постепенно утолщается. Таким образом зубы постепенно уходят орально, а их корням придается небный торк, освобождая путь в кости для 13. Затем при помощи компактостеотомии быстро мезиализируется 13, затем 14 и 15 плавно перемещаются назад (хотя 15 это вряд ли коснется... его я планирую перед этим дистализировать). Сам я такое не делал, но видел на курсе. Вот, выпал шанс попробовать. Зачем? Во-первых, научный интерес, во-вторых, родители категорически против ремоделирования коронок зубов... Изменено 20 февраля, 2017 пользователем Opdihatop Ссылка на комментарий
Yana guapa Опубликовано 21 февраля, 2017 Поделиться Опубликовано 21 февраля, 2017 Как я собирался тянуть клык вперед? На 14, 15 ставятся брекеты от нижних премоляров и ставятся они на толстую композитную подушку, которая постепенно утолщается. Таким образом зубы постепенно уходят орально, а их корням придается небный торк, освобождая путь в кости для 13. Затем при помощи компактостеотомии быстро мезиализируется 13, затем 14 и 15 плавно перемещаются назад (хотя 15 это вряд ли коснется... его я планирую перед этим дистализировать). Сам я такое не делал, но видел на курсе. Вот, выпал шанс попробовать. Зачем? Во-первых, научный интерес, во-вторых, родители категорически против ремоделирования коронок зубов... у Ермакова Алексея на страничке в ФБ есть случай с транспозицией - у него очень красиво получилось. http://i12.pixs.ru/storage/6/8/7/Snimokekra_6262360_25248687.png н знаю, конечно, с какой стороны у вас клык лежит.. Ссылка на комментарий
Opdihatop Опубликовано 21 февраля, 2017 Автор Поделиться Опубликовано 21 февраля, 2017 С вестибулярки тоже. А это отличная идея, помочь себе небным винтом... Ссылка на комментарий
Opdihatop Опубликовано 21 февраля, 2017 Автор Поделиться Опубликовано 21 февраля, 2017 Только жаль, не видно от чего у него пружина к 14 идет... тоже от винта наверное... Ссылка на комментарий
Yana guapa Опубликовано 2 марта, 2017 Поделиться Опубликовано 2 марта, 2017 Только жаль, не видно от чего у него пружина к 14 идет... тоже от винта наверное... от 14??? может имели ввиду 13?? и там все пружинки от 1.6 зуба (судя по фото) Ссылка на комментарий
Opdihatop Опубликовано 2 марта, 2017 Автор Поделиться Опубликовано 2 марта, 2017 Да, к 13. Я имел ввиду, как он добавочную дугу к 13 делал... Ссылка на комментарий
Рекомендуемые сообщения
Для публикации сообщений создайте учётную запись или авторизуйтесь
Вы должны быть пользователем, чтобы оставить комментарий
Создать аккаунт
Зарегистрируйте новый аккаунт в нашем сообществе. Это очень просто!
Регистрация нового пользователяВойти
Уже есть аккаунт? Войти в систему.
Войти