akburan Опубликовано 8 февраля, 2017 Поделиться Опубликовано 8 февраля, 2017 Установили имплант 3 мес. назад. Имплант прижился.Одновременно с имплантацией провели синус-лифтинг. До операций имела также место рецессия десны. Но через 3 недели после установки и подсадки костн. материала десна опустилась еще ниже в области импланта и 3.5 зуба, из-за чего мне кажется, что внедрили мало костного материала. С этой жалобой обращалась к хирургу неоднократно, на что он отвечал что все хорошо и десна со временем САМА восстановится. В данный момент уже сняли слепки для дальнейшего протезирования, но мне состояние десны категорически не нравится и я хочу что-то с этим сделать. Можно ли восстановить десну в обл. импланта? Возможно ли не извлекать при этом имплант? Поможет ли лоскутная операция в том смысле, что прирастет ли лоскут к импланту? Ссылка на комментарий
Bier Опубликовано 8 февраля, 2017 Поделиться Опубликовано 8 февраля, 2017 а что вам не нравится? Платформа имплантата не видна, по высоте десна есть. Объем? Ссылка на комментарий
Доктор Добрых Дел Опубликовано 8 февраля, 2017 Поделиться Опубликовано 8 февраля, 2017 Я бы рекомендовал Вам закрыть рецессии (оголенные корни) в области 43,44,45 зубов. 1 Ссылка на комментарий
DrNice Опубликовано 8 февраля, 2017 Поделиться Опубликовано 8 февраля, 2017 При чем тут синус и что с костью вокруг импланта? 1 Ссылка на комментарий
akburan Опубликовано 9 февраля, 2017 Автор Поделиться Опубликовано 9 февраля, 2017 При чем тут синус и что с костью вокруг импланта?Действительно синус тут ни при чем, ошиблась в терминах, в том и дело, что мало положили костного материала мне кажется Ссылка на комментарий
akburan Опубликовано 9 февраля, 2017 Автор Поделиться Опубликовано 9 февраля, 2017 а что вам не нравится? Платформа имплантата не видна, по высоте десна есть. Объем?Не нравится то как нарастили кость или лучше сказать недорастили, мне кажется недоложили костного материала, а также десна у основания соседнего зуба, там до этого она не была так опущена и зуб начал пошатываться. Я бы рекомендовал Вам закрыть рецессии (оголенные корни) в области 43,44,45 зубов.Это тоже в планах, а вот как быть с имплантом, возможно ли у его основания уже после протезирования приподнять десну тоже? Ссылка на комментарий
DrNice Опубликовано 9 февраля, 2017 Поделиться Опубликовано 9 февраля, 2017 Не нравится то как нарастили кость или лучше сказать недорастили, мне кажется недоложили костного материала, а также десна у основания соседнего зуба, там до этого она не была так опущена и зуб начал пошатываться. Это тоже в планах, а вот как быть с имплантом, возможно ли у его основания уже после протезирования приподнять десну тоже? Десну приподнять можно, но я опять повторюсь, мне не нравится кость вокруг имплантата. Ссылка на комментарий
akburan Опубликовано 9 февраля, 2017 Автор Поделиться Опубликовано 9 февраля, 2017 (изменено) Десну приподнять можно, но я опять повторюсь, мне не нравится кость вокруг имплантата. А не могли бы Вы подробно описать проблему с костью?И что с ней надо делать? Изменено 9 февраля, 2017 пользователем akburan Ссылка на комментарий
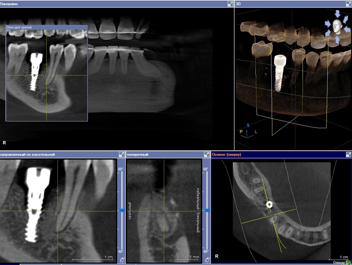
DrNice Опубликовано 9 февраля, 2017 Поделиться Опубликовано 9 февраля, 2017 А не могли бы Вы подробно описать проблему с костью?И что с ней надо делать? Меня смущает участок просветления на снимке, в области трех верхних витков импланта. Ссылка на комментарий
Oscar Опубликовано 13 марта, 2017 Поделиться Опубликовано 13 марта, 2017 Объем десны можно добавить, но основная проблема резорбция костной ткани в верхней трети импланта, кстати что за система? Израиль? Ссылка на комментарий
Рекомендуемые сообщения
Для публикации сообщений создайте учётную запись или авторизуйтесь
Вы должны быть пользователем, чтобы оставить комментарий
Создать аккаунт
Зарегистрируйте новый аккаунт в нашем сообществе. Это очень просто!
Регистрация нового пользователяВойти
Уже есть аккаунт? Войти в систему.
Войти