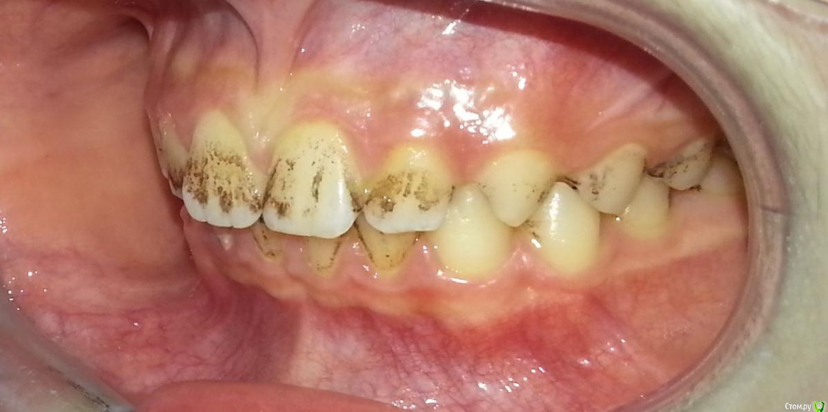
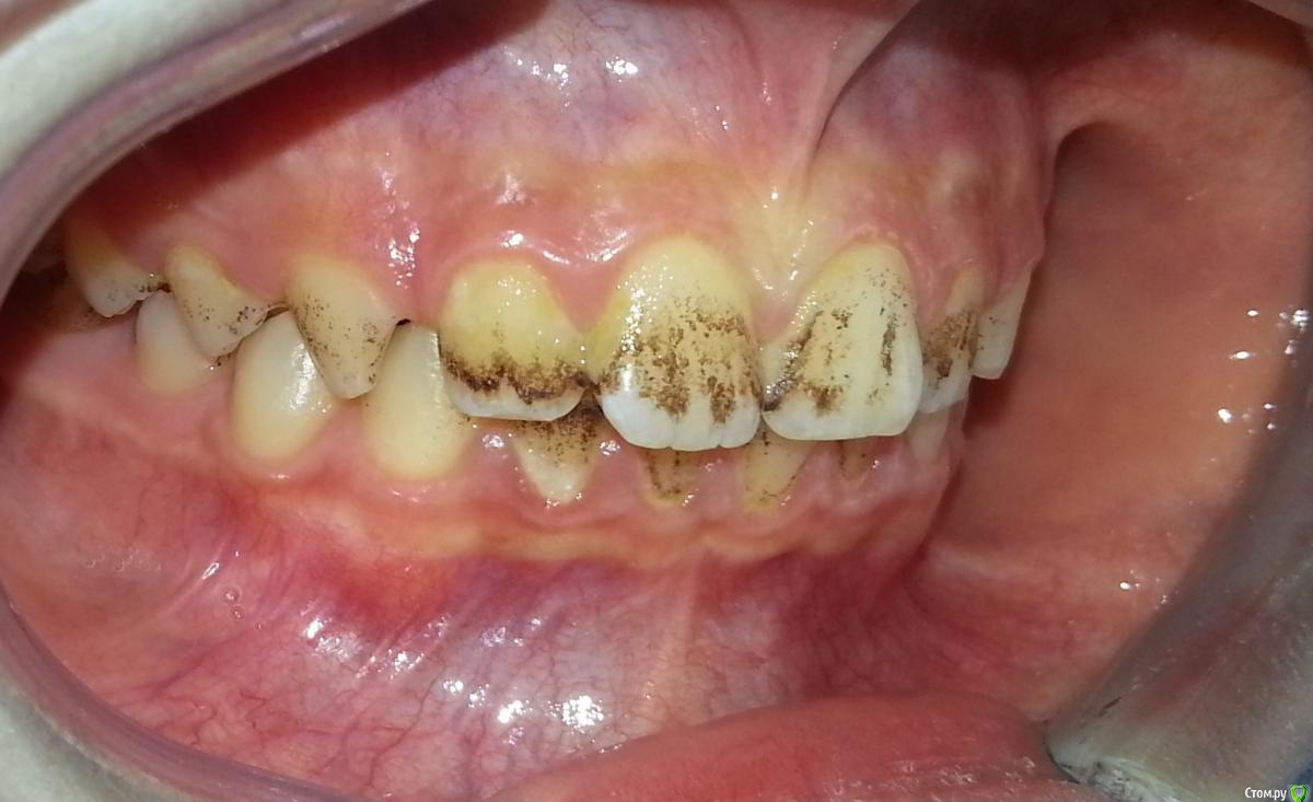
Nitrino1 Опубликовано 6 февраля, 2017 Поделиться Опубликовано 6 февраля, 2017 Здравствуйте коллеги, помогите с уточнением диагноза) Я не детский стоматолог, мамаша принесла ребенка заодно проконсультировать по поводу налета, посмотрел сфоткал) Первое что пришло на ум это налет Пристли)) Хотел уточнить) Жалоб нет, только эстетика..Убирали налет у стоматолога, через месяц все заново появилось.Буду благодарен если уточните как добиться постоянного эффекта.Ребенку 10 лет, мальчик Ссылка на комментарий
Бендер Опубликовано 7 февраля, 2017 Поделиться Опубликовано 7 февраля, 2017 В анамнезе есть что-нибудь необычное? Ссылка на комментарий
Петренкуся Опубликовано 7 февраля, 2017 Поделиться Опубликовано 7 февраля, 2017 Можно: 1- проверить кровь на избыток железа,2- может быть признаком дисбактериоза ( в любом случае придётся постоянно чистить ). Годам к 17-19 у большинства уходит, но у меня есть постоянная пациентка, ей уже 36 лет,чистим раз в полгода много - много лет. Правда, обследование не проводили, ее устраивает регулярная гигиена. Ссылка на комментарий
Nitrino1 Опубликовано 7 февраля, 2017 Автор Поделиться Опубликовано 7 февраля, 2017 @БендерПроблемы с желудком, когда пьет газировку его тошнит, это меня насторожило Ссылка на комментарий
Nitrino1 Опубликовано 7 февраля, 2017 Автор Поделиться Опубликовано 7 февраля, 2017 @ПетренкусяТо есть прям щас не возможно избавиться от налета такого? Я думаю ЖКТ обследовать подлечат пусть, и кровь по вашей рекомендации тоже отправлю на железо. Только после устранения проблем этих налет все равно будет образовываться? Ссылка на комментарий
Тань Опубликовано 7 февраля, 2017 Поделиться Опубликовано 7 февраля, 2017 Почистить содой и назначить пасту с содержанием цинка, например "Бирепайр Тотал" или "Сплат Арктикум" Ссылка на комментарий
krokomot Опубликовано 7 февраля, 2017 Поделиться Опубликовано 7 февраля, 2017 Тут реально просто грязища, если налет убирается стоматологом, то вполне домашней ежедневной и двукратной возможно предотвратить его образование. Вы лучше спросите сколько раз в неделю они чистят зубы? 2 Ссылка на комментарий
Nitrino1 Опубликовано 8 февраля, 2017 Автор Поделиться Опубликовано 8 февраля, 2017 Почистить содой и назначить пасту с содержанием цинка, например "Бирепайр Тотал" или "Сплат Арктикум"почему именно содой (она же травмирует эмаль), и почему именно с содержанием цинка? 1 Ссылка на комментарий
Тань Опубликовано 9 февраля, 2017 Поделиться Опубликовано 9 февраля, 2017 почему именно содой (она же травмирует эмаль), и почему именно с содержанием цинка?Потому, что только сода его счищает до конца, а цинк обладает антисептическим и антибактериальным действием, но не таким агрессивным как хлоргексидин. У моих пациентов никакого повреждления эмали не наблюдалось пока, наоборот, гладкая, отполированная поверхность, но у меня сода в "Аквакат" на самой маленькой силе подачи порошка и паста "Клиник Керр" с резиновыми чашечками "Керр" и завершаю "Эмаль Герметизирующий Ликвид" 5 минут по инструкции, а пасту с цинком стала назначать по совету пародонтолога. Но конечно же налет Пристли возвращается,но меньше, на 3 месяца хватает.. Попробуйте. Ссылка на комментарий
Бендер Опубликовано 10 февраля, 2017 Поделиться Опубликовано 10 февраля, 2017 Пусть щетку электрическую купит Ссылка на комментарий
Петренкуся Опубликовано 15 февраля, 2017 Поделиться Опубликовано 15 февраля, 2017 Если причина ЖКТ или кровь, то излечите соматику,не будет появляться.А если причина не в этом, то придётся надеяться на "перерастёт" (я имею в виду период полового созревания) Ссылка на комментарий
Петренкуся Опубликовано 22 марта, 2017 Поделиться Опубликовано 22 марта, 2017 Сейчас на приёме была девочка 8 лет, клиника один в один с Вашим пациентом. Родители обследовали ее с головы до ног, нашли хеликобактер, всё остальное в норме. Пролечили, сегодня повторная гигиена, налёт снимается легче. Теперь будем ждать отдаленный результат. А какой результат у Вас? Ссылка на комментарий
Dok22 Опубликовано 24 марта, 2017 Поделиться Опубликовано 24 марта, 2017 И к меня седня тоже девочка здорова но они принимают поливитаминный комплекс, решили исключить.Посмотрим. Ссылка на комментарий
Nitrino1 Опубликовано 24 марта, 2017 Автор Поделиться Опубликовано 24 марта, 2017 Сейчас на приёме была девочка 8 лет, клиника один в один с Вашим пациентом. Родители обследовали ее с головы до ног, нашли хеликобактер, всё остальное в норме. Пролечили, сегодня повторная гигиена, налёт снимается легче. Теперь будем ждать отдаленный результат. А какой результат у Вас? И к меня седня тоже девочка здорова но они принимают поливитаминный комплекс, решили исключить.Посмотрим.У меня пока не вернулись с обследования, я узнаю сообщу вам)) Ссылка на комментарий
Misteramerika2015 Опубликовано 25 марта, 2017 Поделиться Опубликовано 25 марта, 2017 Малчик 7лет....у нево диатез тоже на геках...что это не знаю Ссылка на комментарий
Dok22 Опубликовано 28 марта, 2017 Поделиться Опубликовано 28 марта, 2017 Сосочки корня языка. Ссылка на комментарий
Воркутов Опубликовано 13 мая, 2017 Поделиться Опубликовано 13 мая, 2017 Были случаи с налетом! Примерно через 4-6 месяцев пациенты возвращаются на чистку , налет образуется меньше чистится легче! Ссылка на комментарий
Петренкуся Опубликовано 1 июня, 2017 Поделиться Опубликовано 1 июня, 2017 Хеликобактер оказался ни при чем. Сегодня позвонили родители, сказали , что налёт благополучно вернулся( я просила сообщить отдалённый результат). Теперь у девочки обнаружили гиповитаминоз vit D, будут лечить, результат обещали сообщить, а пока чистим. 1 Ссылка на комментарий
Рекомендуемые сообщения
Для публикации сообщений создайте учётную запись или авторизуйтесь
Вы должны быть пользователем, чтобы оставить комментарий
Создать аккаунт
Зарегистрируйте новый аккаунт в нашем сообществе. Это очень просто!
Регистрация нового пользователяВойти
Уже есть аккаунт? Войти в систему.
Войти