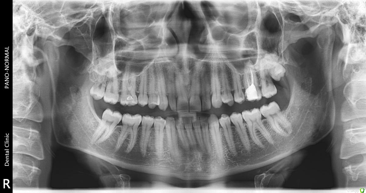
Dench Опубликовано 6 февраля, 2017 Поделиться Опубликовано 6 февраля, 2017 (изменено) Добрый день, уважаемые! Просьба помочь определиться с дальнейшей тактикой: лечить или удалять 26 зуб. На руках имеется панорамный снимок и КТ с расшифровкой. После панорамы у терапевта возникло подозрение на кисту у корня 26 зуба. Панораму делал совершенно случайно в детской стоматологической клинике. Для подтверждения диагноза сделал КТ размером 12 на 8,5, заключения следующие:2.6 зуб — депульпирован. Коронковая часть — восстановлена пломбой с нарушениемкраевого прилегания — удалено администраторомна мезиальной контактной поверхности на 2/3 толщиныдентина. Вариант строения — три корня, ДЩ и небный корни срослись между собой / четыре канала, МЩ корень имеет два канала, открывающихся одним апикальным отверстием. МБ1 канал, канал ДЩ корня и канал небного корня негомогенно, неплотно обтурированы пломбировочным материалом на 2/3 длины каналов, на остальном протяжении каналы облитерированы. МБ2 канал свободен от пломбировочного материала. Определяется расширение периапикального периодонтального пространства МЩ корня шириной до 0,8 мм, небного корня шириной до 0,9 мм.Пародонт: патологической убыли костной ткани не выявлено.На томограммах и реконструктивных снимках околоносовых пазух и полости носаустановлено следующее:В/ч синусы гиперпневматического типа. Контуры видимых стенок четкие, не прерываются. Определяется утолщение слизистой оболочки в/ч синусов: справа до 2,4 мм, слева до 2,8 мм. В толще слизистой оболочки нижней стенки левого в/ч синуса определяется зона повышенной плотности с четкими, ровными контурами, овальной формы, не связанная с костными стенками левого в/ч синуса, не нарушающая целостность кортикальной пластинки, размерами 3,1х1,8х2,7 мм (ШхВхГ).ДИАГНОСТИЧЕСКОЕ ЗАКЛЮЧЕНИЕ:Частичная вторичная адентия.Ретенция зуба 2.8.удалено администраторомзубов 1.5, 2.5, 3.5, 3.6 (?).Вторичный удалено администратором зубов 1.6, 2.6.Хронический удалено администратором зуба 2.6.Двустороннее утолщение слизистой оболочки в/ч синусов.Зона повышенной плотности в толще слизистой оболочки левого в/ч синуса (кальцинат).Терапевт настаивает на удалении. Был у хирурга. Его мнение - зуб не удалять, а лечить. Если все же решусь удалять зуб, то возникают следующие сомнения (основаны на моих догадках):- так как пазухи гиперпневматического типа, то существует вероятность перфорации пазухи с дальнейшими осложнениями и необходимостью пластики сообщения полости рта с вч пазухой?- так как зуб кариозный, то в процессе удаления он может расколоться на части и неизбежно перфорировать пазуху или что еще хуже попасть внутрь пазухи?Если все же удалять зуб, то удалять его следует в ЧЛХ или хирург при возникновении осложнений в процессе удаления сможет их устранить? Во вложении панорамный снимок (качество снимка, со слов хирурга, плохое) и несколько прицельных снимков 26 зуба и панорамный реформат из КТ.Заранее спасибо за ответ! Изменено 6 февраля, 2017 пользователем red_butler ссылки на сторонние ресурсы Ссылка на комментарий
DrNice Опубликовано 6 февраля, 2017 Поделиться Опубликовано 6 февраля, 2017 Однозначно лечить, потом покрывать коронкой, не вижу показаний к удалению. 1 Ссылка на комментарий
Доктор Добрых Дел Опубликовано 6 февраля, 2017 Поделиться Опубликовано 6 февраля, 2017 Попробуйте пролечить. Правда не факт что это 100% будет успешно. Если придётся удалять, то всякие страшные слова типа гиперпневматизации и т.п. не должны Вас пугать и повода идти в ЧЛХ нет. Аккуратное удаление и все. 1 Ссылка на комментарий
Dench Опубликовано 6 февраля, 2017 Автор Поделиться Опубликовано 6 февраля, 2017 Попробуйте пролечить. Правда не факт что это 100% будет успешно. Если придётся удалять, то всякие страшные слова типа гиперпневматизации и т.п. не должны Вас пугать и повода идти в ЧЛХ нет. Аккуратное удаление и все.Попробую полечить, но не уверен, что будет результат, так как коронковая часть зуба наполовину разрушена и не факт, что 9 лет назад когда пломбировались каналы и сам зуб, пломбировка была осуществлена не резорцином, так как лечение осуществлялось по полису ОМС в городской поликлинике. Во время пломбировки каналов не существует вероятности перфорирования в/ч пазухи? Ссылка на комментарий
DrNice Опубликовано 6 февраля, 2017 Поделиться Опубликовано 6 февраля, 2017 Попробую полечить, но не уверен, что будет результат, так как коронковая часть зуба наполовину разрушена и не факт, что 9 лет назад когда пломбировались каналы и сам зуб, пломбировка была осуществлена не резорцином, так как лечение осуществлялось по полису ОМС в городской поликлинике. Во время пломбировки каналов не существует вероятности перфорирования в/ч пазухи? Найдите толкового терапевта, который работает с микроскопом и будет вам счастье. 1 Ссылка на комментарий
Dench Опубликовано 6 февраля, 2017 Автор Поделиться Опубликовано 6 февраля, 2017 Найдите толкового терапевта, который работает с микроскопом и будет вам счастье. В Москве, к сожалению, это очень дорогостоящая процедура. А так как зуб имеет 4 канала и процент успешности не равен 100, то процедура на мой взгляд очень сомнительна. 1 Ссылка на комментарий
DrNice Опубликовано 6 февраля, 2017 Поделиться Опубликовано 6 февраля, 2017 В Москве, к сожалению, это очень дорогостоящая процедура. А так как зуб имеет 4 канала и процент успешности не равен 100, то процедура на мой взгляд очень сомнительна. Вы правы, даже при первичном лечении никто не даст 100 процентной гарантии, не говоря уже о вашей ситуации. 4 канала не проблема для толкового врача. Конечно удаление и имплантация более прогнозируемый вариант, но не факт что у вас будут условия. Так что я бы на Вашем месте, боролся бы за этот зуб. В любом случае, решение принимать Вам. 1 Ссылка на комментарий
Dench Опубликовано 6 февраля, 2017 Автор Поделиться Опубликовано 6 февраля, 2017 С имплантацией из-за близости в/ч пазухи и отсутствия необходимого размера костной ткани могут возникнуть проблемы, поэтому и возник данный вопрос. Завтра иду на прием к семейному стоматологу-терапевту лечить другие кариозные зубы, заодно и узнаю готов ли он взяться за этот зуб. Если нет, то буду искать опытного хирурга для удаления. Если на форуме есть хирург, готовый помочь с удалением, если возникнет необходимость, то огромная просьба написать личное сообщение с контактами для связи. Всех от души благодарю за ответы и советы. Ссылка на комментарий
red_butler Опубликовано 7 февраля, 2017 Поделиться Опубликовано 7 февраля, 2017 С имплантацией из-за близости в/ч пазухи и отсутствия необходимого размера костной ткани могут возникнуть проблемы, поэтому и возник данный вопрос. Разве же это проблемы... Ссылка на комментарий
Dench Опубликовано 7 февраля, 2017 Автор Поделиться Опубликовано 7 февраля, 2017 Разве же это проблемы... Нарастить кость и поставить имплант? Ссылка на комментарий
Dench Опубликовано 7 февраля, 2017 Автор Поделиться Опубликовано 7 февраля, 2017 (изменено) Был сегодня у доктора. Лечил соседнюю 5ку с пульпитом, которую задели при работе с 26 зубом. Со слов доктора 1 канал 26 зуба не проходим и перелечивание пустая трата времени и денег. Решили высверлить весь кариес. Сейчас на нем временная пломба. Доктор планирует восстановить зуб для осуществления им жевательных функций и наблюдать за ним, но при этом избегать переохлаждений и перегрева. Кстати, каналы у 26го зуба запломбированы формалином. Насколько данная тактика оправдана? Связывался со знакомым ЧЛХ. Так он вообще советовал не трогать этот зуб до момента возникновения болезненных ощущений и только потом удалять. Изменено 7 февраля, 2017 пользователем Dench Ссылка на комментарий
DrNice Опубликовано 8 февраля, 2017 Поделиться Опубликовано 8 февраля, 2017 Был сегодня у доктора. Лечил соседнюю 5ку с пульпитом, которую задели при работе с 26 зубом. Со слов доктора 1 канал 26 зуба не проходим и перелечивание пустая трата времени и денег. Решили высверлить весь кариес. Сейчас на нем временная пломба. Доктор планирует восстановить зуб для осуществления им жевательных функций и наблюдать за ним, но при этом избегать переохлаждений и перегрева. Кстати, каналы у 26го зуба запломбированы формалином. Насколько данная тактика оправдана? Связывался со знакомым ЧЛХ. Так он вообще советовал не трогать этот зуб до момента возникновения болезненных ощущений и только потом удалять.1. Ждать не вариант.2. Наблюдать за ростом воспаления? Глупая идея...3. Если его действительно не возможно пролечить ( в чем я сомневаюсь ), тогда удаление, костная пластика и имплантация. 1 Ссылка на комментарий
red_butler Опубликовано 8 февраля, 2017 Поделиться Опубликовано 8 февраля, 2017 Нарастить кость и поставить имплант? да. 1 Ссылка на комментарий
Dench Опубликовано 8 февраля, 2017 Автор Поделиться Опубликовано 8 февраля, 2017 (изменено) 1. Ждать не вариант.2. Наблюдать за ростом воспаления? Глупая идея...3. Если его действительно не возможно пролечить ( в чем я сомневаюсь ), тогда удаление, костная пластика и имплантация.Со слов доктора корни у зуба сросшиеся, поэтому один канал невозможно будет пройти в любом случае. Такое же мнение у второго доктора. В данный момент если все же удалять зуб, то прям с временной пломбой или лучше восстановить его пломбой и аккуратно удалить целиком? Пугает близость корней к пазухе (или корни вросли в пазуху?). И при удалении не хотелось бы получить перфорацию пазухи. Скорее всего, сам это понимая, все мои догадки относительно удаления носят параноидальный характер и ничего страшного в процессе удаления при аккуратном атравматическом удалении не произойдет, но почитав похожие случаи с удалением 26 зубов, где люди получали осложенение в виде перфорации пазухи, как то неспокойно. Изменено 8 февраля, 2017 пользователем Dench Ссылка на комментарий
DrNice Опубликовано 8 февраля, 2017 Поделиться Опубликовано 8 февраля, 2017 Со слов доктора корни у зуба сросшиеся, поэтому один канал невозможно будет пройти в любом случае. Такое же мнение у второго доктора. В данный момент если все же удалять зуб, то прям с временной пломбой или лучше восстановить его пломбой и аккуратно удалить целиком? Пугает близость корней к пазухе (или корни вросли в пазуху?). И при удалении не хотелось бы получить перфорацию пазухи. Скорее всего, сам это понимая, все мои догадки относительно удаления носят параноидальный характер и ничего страшного в процессе удаления при аккуратном атравматическом удалении не произойдет, но почитав похожие случаи с удалением 26 зубов, где люди получали осложенение в виде перфорации пазухи, как то неспокойно. Я не занимаюсь лечением каналов, но фраза доктора "Сросшиеся корни, потому не можем пройти" как то не понятна мне... Получить перфорацию с гайморовой можно и при атравматичном удалении, если хирург толковый, то страшного в этом ничего нету. Удалять с временной пломбой, все равно его будут сепарировать и доставать по корням. Где наши эндодонты? Хотелось бы услышать их мнение. 1 Ссылка на комментарий
DmitrySH Опубликовано 9 февраля, 2017 Поделиться Опубликовано 9 февраля, 2017 Где наши эндодонты? Хотелось бы услышать их мнение. Эндодонтисты Судя по разговору, пациент как-то больше настроен на удаление. В Москве, к сожалению, это очень дорогостоящая процедура. А так как зуб имеет 4 канала и процент успешности не равен 100, то процедура на мой взгляд очень сомнительна. Нет, не сомнительная. Обычная ежедневная работа. Шансы на успех достаточно высокие, но 100% гарантии невозможно дать в силу специфики лечения. 3 Ссылка на комментарий
DrNice Опубликовано 10 февраля, 2017 Поделиться Опубликовано 10 февраля, 2017 (изменено) Эндодонтисты Простите, не хотел задеть за живое ))) Изменено 10 февраля, 2017 пользователем DrNice Ссылка на комментарий
Dench Опубликовано 16 апреля, 2019 Автор Поделиться Опубликовано 16 апреля, 2019 (изменено) ЗУБ 16. В итоге зуб перелечил год назад под микроскопом, нашли ещё один канал. В настоящий момент периодически (кратковременно 2-3 раза в месяц) при надавливании на зуб ощущается давление. Сделал КТ. Что с зубом? Зуб на выход? Изменено 16 апреля, 2019 пользователем Dench Ссылка на комментарий
Dench Опубликовано 16 апреля, 2019 Автор Поделиться Опубликовано 16 апреля, 2019 Извиняюсь, зуб 16й, тоже с кистой после неудачного лечения пульпита. 26й восстановлен и не беспокоит. Ссылка на комментарий
Dench Опубликовано 17 апреля, 2019 Автор Поделиться Опубликовано 17 апреля, 2019 (изменено) Вчера посетил своего доктора. Киста в пазухе исчезла, но между корнями образовалась киста. Из-за чего не очень понятно, возможно из-за истончения корня после вторичного расширения каналов образовалась микротрещина в одном из корней. Посоветовал понаблюдать пол года и через пол года либо удалять, если киста будет расти, либо попробовать вскрыть каналы и найти трещину. Изменено 17 апреля, 2019 пользователем Dench Ссылка на комментарий
Рекомендуемые сообщения
Для публикации сообщений создайте учётную запись или авторизуйтесь
Вы должны быть пользователем, чтобы оставить комментарий
Создать аккаунт
Зарегистрируйте новый аккаунт в нашем сообществе. Это очень просто!
Регистрация нового пользователяВойти
Уже есть аккаунт? Войти в систему.
Войти